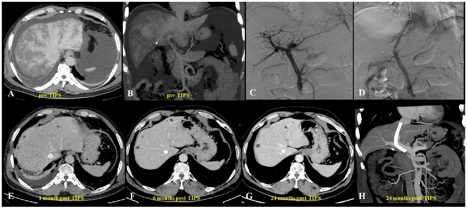
Pyrrolizidine alkaloid–induced hepatic sinusoidal obstruction syndrome (PA-HSOS) is highly prevalent in Asia, primarily due to the widespread use of traditional herbal medicines containing hepatotoxic pyrrolizidine alkaloids. This condition poses significant clinical challenges, including diagnostic difficulties and limited therapeutic options, frequently leading to severe liver damage and portal hypertension. Transjugular intrahepatic portosystemic shunt (TIPS) treatment has emerged as a key intervention for managing complications associated with PA-HSOS, such as refractory ascites and variceal bleeding, by reducing portal pressure and supporting liver function recovery. However, TIPS has not been widely accepted as a salvage therapy for severe PA-HSOS unresponsive to anticoagulation therapy, mainly due to concerns about post-TIPS complications, particularly hepatic encephalopathy. Consequently, careful patient selection and risk stratification are critical. This review synthesizes the current evidence on PA-HSOS in Asia, evaluates the clinical utility of TIPS, and discusses strategies to optimize outcomes while minimizing adverse effects. Specifically, we review the epidemiology, pathophysiology, and diagnostic advancement of PA-HSOS, with a particular focus on the evolving role of TIPS in its management.