Current issue Volume 31 (1); March 2026
- Review Article Mar 4, 2026 Interventional radiologist’s guide to the latest trends in pulmonary arteriovenous malformation management Sang Yub Lee Korean J Interv Radiol 2026;31(1):1-12.
- Review Article Mar 6, 2026 Strategic integration of radioembolization and chemoembolization for the management of hepatocellular carcinoma in Korea In Joon Lee Korean J Interv Radiol 2026;31(1):13-23.
- Review Article Mar 23, 2026 Clinical challenges and transjugular intrahepatic portosystemic shunt strategies for pyrrolizidine alkaloid-induced hepatic sinusoidal obstruction syndrome: an Asian perspective Tan-Yang Zhou, Hong-Liang Wang, Zhi-Cheng Jin, et al. Korean J Interv Radiol 2026;31(1):24-35.
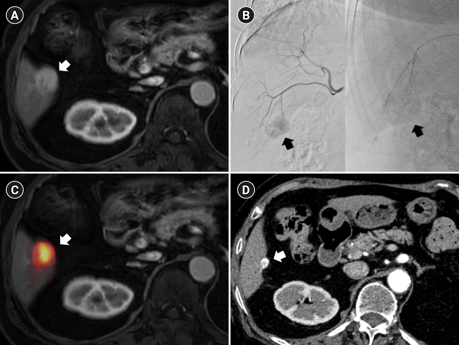
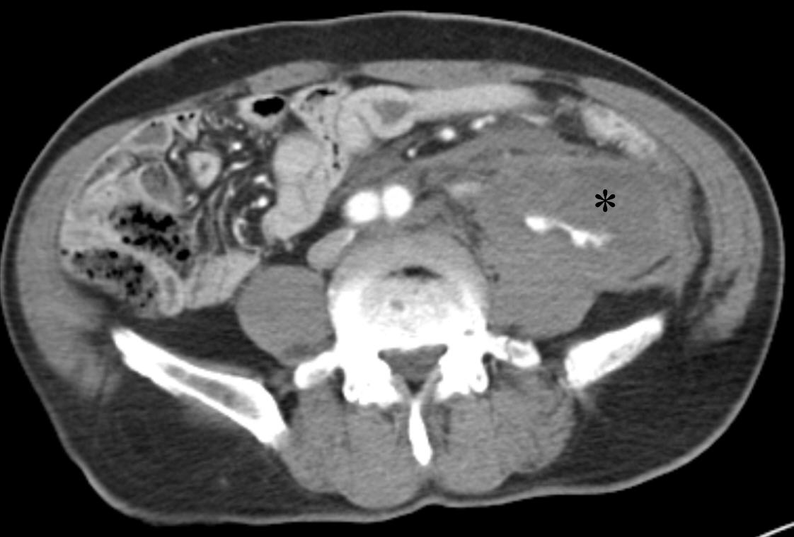
- Original Article Mar 30, 2026 Impact of embolic agents on outcomes of renal angiomyolipoma embolization: a dual-center retrospective cohort study Kun Yung Kim, Minuk Kim, Chang Jin Yoon, et al. Korean J Interv Radiol 2026;31(1):36-42.
- How I Do It Mar 5, 2026 Catheter-directed sclerotherapy for ovarian endometriomas Byung Soo Im, Ji Hoon Shin Korean J Interv Radiol 2026;31(1):43-45.








