중심단어
Renal cell carcinoma, radiofrequency ablation, embolization
임상소견
3일전부터 지속된 오심, 구토 등의 복부 불편을 주소로 시행한 복부 CT에서 우측 신장에 악성으로 생각되는 약 3.2cm 종괴가 발견됨. 초음파 유도하 조직생검에 의해 renal cell carcinoma (clear cell type)로 진단되었음. 과거력상 4년 전 진단된 고혈압과 백내장 수술 이외 특이 병력은 없으나, 환자가 수술을 거부하여, 비수술적 치료를 위해 입원함.
진단명
Renal cell carcinoma, clear cell type
영상소견
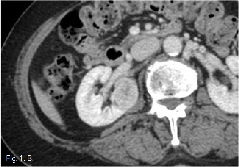
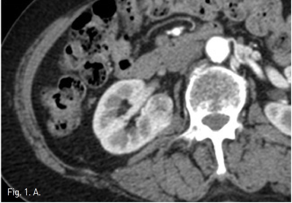
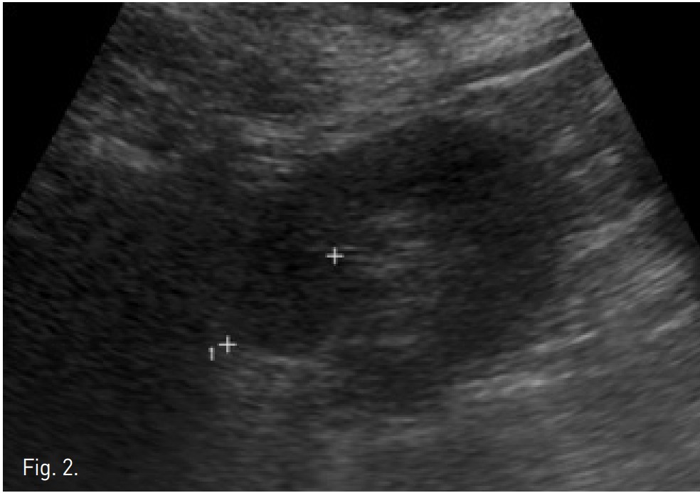
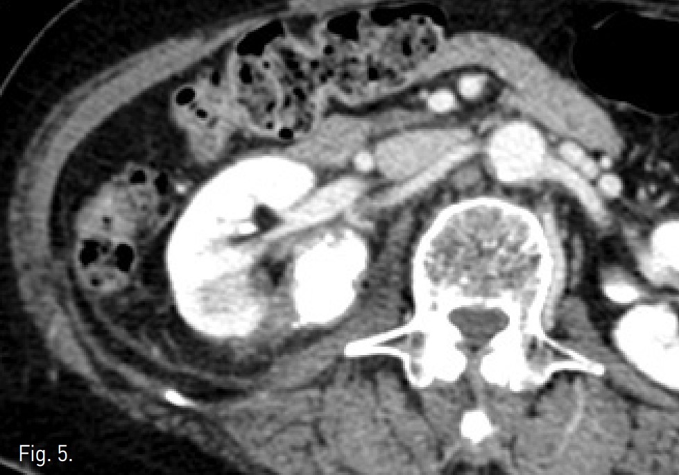
CT상 우측 신장 cortex 에 약 3.2cm 크기의 돌출하는 양상의 경계가 좋은 고형 종괴가 있음. 종괴는 신우에 인접해 있었으나 신주위 조직이나 신정맥으로의 침습 소견은 보이지 않았음 (Fig. 1A). 환자가 비수술적 치료를 원하여 고주파열치료를 위해 planning US를 시행하였으나 종양의 에코음영이 신실질과 유사하여 뚜렷이 구별되지 않고 (Fig. 2), 신우에 인접하고 있어 합병증의 위험성이 있고, 고주파 열치료만으로는 충분한 치료가 되지 않을 수 있어서, 동맥 색전술과 고주파열치료의 병합 치료를 하였음. 동맥 색전술과 고주파 열치료를 시행하고 9개월 이후 촬영한 CT에서 우측 신종양은 lipiodol이 compact하게 uptake되었으며 주변에 RF ablation zone이 관찰되고 viable portion이 없는 상태임(Fig. 5).
시술방법 및 재료
5 Fr pigtail catheter를 right femoral artery를 통하여 suprarenal aorta에 삽입하고 혈관조영술을 시행하였음. 복부 CT에 대응되는 right middle segmental renal artery에서 supply 되는 약 2cm 크기의 과혈관성 종괴가 관찰됨(Fig. 3A). 5 Fr Yashiro catheter를 middle segmental renal artery에 삽입하고, 시행한 혈관조영술에서 종괴를 확인하고, 3 Fr microcatheter를 0.018 inch guide wire를 이용하여 co-axial technique으로 middle segmental artery의 branch를 superselection 한 후 시행한 혈관조영술에서 2개의 abnormal feeding artery를 확인하였음. Ethanol 5mL와 lipiodol 2mL를 혼합한 용액의 2/3를 이용하여 2개의 small vessel를 embolization하였음. 혈관조영술에서 right middle segmental artery의 종괴에 lipiodol
uptake가 보이고, emolization된 상태임 (Fig. 3B). 우측 신종양은 색전술 후 초음파에서 뚜렷이 증가된 에코음영의 종괴로 보였으며 (Fig. 4), Radionics 3cm Cool-tip electrode를 이용하여 고주파열치료를 12분간 시행하였음.
고찰
신종양의 고주파열치료 (RF ablation) 적응증에 대해 아직까지 정확히 정해져 있지 않으나 신기능이 많이 감소되어 있거나 동반된 심각한 질병으로 수술이 위험한 경우 또는 Von Hippel-Lindau disease와 같이 신종양이 추가적으로 발생할 수 있는 요인이 있는 경우에 주로 시행되는 것이 바람직하다. 교정되지 않는 응고병증 (coagulopathy), 패혈증과 같은 급성 질환의 경우는 금기시된다. 치료적 목적으로 고주파 열치료를 시행하기 위해서는 신종양이 Gerota’s fascia를 넘어가지 않아야 하며, 신정맥이나 림프절로의 침습이 없어야 한다. 고주파 열치료의 크기 제한은 없으나 종양의 크기가 5cm보다 작을 때 완전소작(complete ablation)될 가능성이 높다. 소작된 종양은 조영 증강하지 않은 CT 혹은 MRI에서 종종 증가된 내부음영이나 신호강도(signal intensity)를 보인다. 하지만 10 Housfield unit(HU) or 15% 이상의 조영증강을 보일 경우 살아남아 있는(residual viable) 종양의 일부분으로 생각할 수 있다. 고주파열치료의 합병증으로 혈뇨가 있을 수 있으나 흔하지 않고 대부분 저절로 소실된다. 소작된 종양과 인접 장(bowel) 사이에 놓인 지방이 5mm 이하일 경우에는 열손상 (thermal injury)이 발생할 수 있는 데 이를 피하기 위해 멸균수를 그 사이에 주입하여 장을 이동시킨 후 시행한다. 또한 종양이 부신과 인접한 경우 혈관활성 카테콜아민 (vasoactive catecholamine)이 갑작스레 방출(release)될 수 있어 a-adrenergic 차단 약물을 준비해야만 한다. 간 또는 비장의 열손상이나 신주위 출혈이 흔하게 발생할 수 있는 데 임상적으로 중요하지는 않은 것으로 생각된다. 그 외 needle tract를 따라 tumor seeding이 있을 수 있으며 중심성 종양(central tumor) 를 치료할 경우에는 드물게 신우신배 손상(pelvicaliceal damage)0] 발생할 수 있다.
신종양의 크기가 작은 경우 고주파열치료의 성공을은 약 79-97% 정도이며 심각한 합병증은 약 1%에서 발생한다고 보고되고 있다. 그에 비해 4cm 이상 큰 신종양의 경우에는 효과적 치료를 위해서는 여러 번의 시술이 필요하다. 한 연구에 의하면 stage 1에 있어서는 약 3%의 재발을(평균 추적검사기간: 24.3개월)을 보이고 있어, 수술이 어려운 stage 1의 신종양에 있어 고주파 열치료는 안전하며 효과적인 치료방법으로 여겨진다.
조직온도는 고주파 열치료의 성공율에 영향을 주는데 renal pedicle 주변의 큰 혈관과 인접한 종양은 많은 양의 혈류로 인해 고주파 열치료시 조직온도가 잘 상승하지 않는 열손실(heat sink effect)이 발생하는데, 동물연구에 의하면 신동맥 차단을 하면 열손실을 줄일 수 있다고 한다. 대부분 과혈관성 인 신종양의 경우 선택적 신동맥 색전술를 통한 종양내 혈류 감소는 응고 괴사를 유도하는 데 유용하며 , 고주파 열치료와 병합 시 치료성적을 높일 수 있다.
참고문헌
1. Zagoria RJ. Imaging-guided radiofrequency ablation of renal masses. RadioGraphics 2004; 24:S59-S7I
2. Arim a K, Yamakado K, Kinbara H, et al. Percutaneous radiofrequency ablation with transarterial embolization is useful for treatment of stage 1 renal cell carcinoma with surgical risk: ResuIts at 2-year mean follow up. Int J Urol 2007; 14585-590
Fig. 1. A
Fig. 1. Kidney MDCT performed for a bulging contoured mass(biopsy proven RCC) in the interpolar portion of right kidney, which showed heterogeneously stong enhancement in the corticomedullary phase and (A) early washout in the nephrographic phase (B).
Fig. 1. B
Fig. 1. Kidney MDCT performed for a bulging contoured mass(biopsy proven RCC) in the interpolar portion of right kidney, which showed heterogeneously stong enhancement in the corticomedullary phase and (A) early washout in the nephrographic phase (B).
Fig. 2.
Fig. 2. On planning US, RCC in right kidney showed isoechogenicity, which made it difficult to distinguish the mass from renal parenchyma.
Fig. 3. A
Fig. 3. Renal angiography by supers election for middle segmental artery showed 2cm sized hypervascular RCC (A). After embolization by injection of mixture with ethanol 5mL and lipiodol 2mL, RCC was not detected on post-angiography (B).
Fig. 3. B
Fig. 3. Renal angiography by supers election for middle segmental artery showed 2cm sized hypervascular RCC (A). After embolization by injection of mixture with ethanol 5mL and lipiodol 2mL, RCC was not detected on post-angiography (B).
Fig. 4.
Fig. 4. On post-embolization US, RCC showed increased echogenicity and was RF ablated by using Radionics 3cm Cool-tip dectrode.
Fig. 5.
Fig 5. Nine months later, follow-up CT demonstrated compact lipiodol up taken nonviable RCC with surrounding RF ablative margin.
Citations
Citations to this article as recorded by
