중심단어
Subclavian vein, thoracic outlet syndrome, balloon angioplasty
임상소견
Left arm의 swelling과 pain이 심해져서 내원
진단명
Venous thoracic outlet syndrome
영상소견
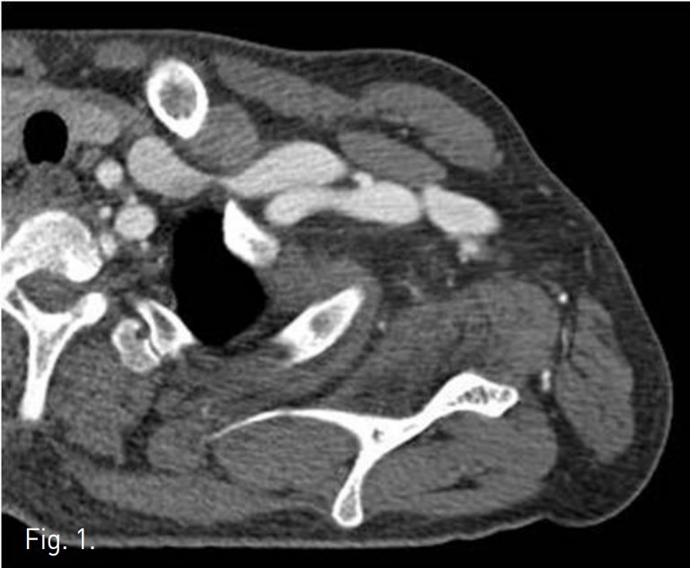
CT에서 left subclavian vein이 subclavius muscle과 anterior scalene muscle 사이에서 좁아져 있는 것이 관찰된다(Fig. 1). 팔을 내리고 시행한 venogram에서 subclavian vein이 막혀 있고 wire가 통과하지 않았으나(Fig. 2A), 팔을 머리 위로 올리고 시행한 venogram에서 subclavian vein의 distal portion이 관찰되고 catheter가 통과되었다(Fig. 2B).
시술방법 및 재료
Right common femoral vein을 통해 left subclavian vein에 5F Cobra catheter (Cook, Bloomington, U.S.A)를 위치시킨 후, 시행한 venogram에서 subclavian vein의 total occlusion이 관찰되었다. 팔을 올리고 시행한 venogram에서 막힌 subclavian vein이 stenotic lesion으로 관찰되고 distal portion이 조영되었다. Guide wire로 stenotic lesion을 통과한 후 12mm-6cm balloon catheter (Ultra-thin, Boston scientific, USA)를 이용하여 stenotic lesion에 balloon angioplasty를 시행하였으나, 팔을 내리면 다시 stenosis가 심해져서 추가로 수 차례 balloon angioplasty를 시행하였다. 시술 후 팔을 내리고 시행한 follow up venogram에서 stenotic lesion이 호전되었다(Fig. 3).
고찰
Thoracic outlet syndrome은 흉곽 상부에서 dynamically induced compression에 의해 신경과 동맥, 그리고 정맥이 압박을 받으며 나타나는 증상들을 말한다. 원인에 따라 neurologic, venous, arterial thoracic outlet syndrome으로 분류하며, brachial plexus, subclavian vein, 그리고 subclavian artery가 연관되어 있다. 증상을 일으키는 위치에 따라 interscalene triangle과 costoclavicular space, retropectoralis minor space로 나뉜다. Interscalene triangle은 anterior, middle, 그리고 posterior scalene muscle과 first rib 사이의 공간으로 가장 medial 에 위치하고 있으며, costoclavicular space는 clavicle, subclavius muscle, first rib, middle scalene muscle에 의해 경계 지워지며 중간 부위에 위치한다.
Retropectoralis minor space는 lateral에 위치하며, pectoralis minor muscle, subscapularis muscle, anterior chest wall에 의해 경계 지워진다. 본 사례는 costoclavicular space에 생긴 venous thoracic outlet syndrome으로 보통의 thoracic outlet syndrome0] 팔을 올렸을 때 증상이 유도되는데 반해 이 환자의 경우는 supine position에서는 막혀있던 subclavian vein이 arm elevation시 stenotic lesion으로 관찰된 드문 경우이다.
Venous thoracic outlet syndrome은 치료로 thrombus가 있는 경우 thrombolysis를 시행한 뒤 first-rib resection 등의 원인을 제거하는 surgical decompression을 시행할 수 있으나, 본 사례는 balloon angioplasty만으로 증상이 호전되었다.
참고문헌
1. Demondion X, Herbinet P, Van Sint Jan S, Boutry N, Chantelot C, Cotten A. Imaging assessment of thoracic outlet syndrome. RadioGraphics 2006; 26:1735-1750
2. Schneider DB, Niels MD, DiMuzio PJ, Gordon RL, Wilson MW, LaBerge JM, et al. Combination treatment of venous thoracic outlet syndrome: Open surgical decompression and intraoperative angioplasty, J Vase Surg, 2004; 40:599-603.
Fig. 1.
Fig. 1. It shows extrinsic compression of left subclavian vein by subclavius muscle anteriorly and anterior scalene muscle posteriorly.
Fig. 2. A
Fig. 2. A. Initial subclavian venogram with the arms held to the sides(curved arrows) shows total occlusion of subclavian van.
Fig. 2. B
B. Subsequent subclavian venogram with the arms raised shows focal opacification of occluded subclavian vein(straight arrow) and the catheter was passed through the lesion.
Fig. 3.
Fig. 3. After angioplasty, subclavian venogram with the arms held to the sides shows improved occlusion of subclavian vein.
Citations
Citations to this article as recorded by
