중심단어
Bronchial artery, Embolization, Hemoptysis
증례
Bronchial artery, Embolization, Hemoptysis
임상소견
기관지확장증의 병력이 있는 환자로 내원 당일 종이컵 1컵 가량의 객혈이 있어 내원하였다.
진단명
Hemoptysis via bronchial and non-bronchial systemic collaterals
영상소견
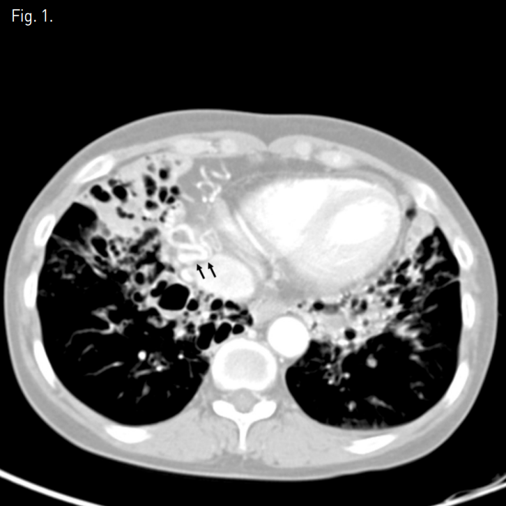
흉부 CT에서 양측 하엽과 우중엽에 기관지 확장증이 있으며 굵어져 있는 기관지동맥 및 우측 아래횡격막동맥이 관찰된다(Fig. 1). 대동맥조영술에서도 기관지동맥 및 우측 아래횡격막동맥이 굵어져있다(Fig. 2).
Fig. 1
Chest CT shows bronchiectasis in right middle lobe and both lower lobes and tortuous engorged inferior phrenic artery (arrows).
Fig. 2
Aortogram shows engorged right bronchial artery (arrowheads) and right inferior phrenic artery (arrows).
시술방법 및 재료
대동맥 조영술 후 5F Cobra catheter로 굵어져 있는 기관지동맥 및 우측 아래횡격막동맥(Fig. 3)의 입구에 위치시켰다. 3 Fr microcathter(Microferret®; COOK, Bloomington, MU, USA)로 각각의 동맥을 선택하여 PVA 입자(355-500um)와 embolization coils(MicroNester®; COOK, Bloomington, USA)을 이용하여 색전술을 시행하였다.
Fig. 3
Right inferior phrenic arteriogram shows hypervascular lesion in right lower lobe supplied by tortuous engorged inferior phrenic artery.
고찰
다량의 객혈을 주소로 내원한 환자들은 결핵이나 기관지확장증에 의한 경우가 많다. 출혈을 일으키는 동맥은 대부분 기관지동맥이나 때로 nonbronchial systemic collateral이 섭식동맥인 경우가 있다. 이는 주로 기관지확장증이나, 낭성섬유증, 결핵 등에서 흉막의 유착이 있는 경우 흉막을 통한 systemic-pulmonary anastomoses가 원인이 된다. 기관지동맥 색전술 시행시 비정상적으로 굵어져 있는 기관지동맥을 발견하지 못하는 경우 aberrant bronchial artery나 nonbronchial systemic collateral을 의심해보아야 한다.
Nonbronchial systemic collateral을 발견하지 못하는 경우 기관지동맥색전술 후에도 지속적인 객혈이 있거나 재발이 발생할 가능성이 높다. 따라서 bronchial artery이외의 collateral artery를 사전에 예측하는 것이 환자의 예후에도 중요하다. 그러므로 기관지동맥색전술을 시행하기 전 CT와 대동맥조영술 등을 통해 non-systemic collateral의 유무를 확인한 후 색전술을 시행함으로써 성공적으로 시술을 시행할 수 있다.
CT에서 흉막이 3mm이상으로 두꺼워져 있거나 extrapleural fat에 사행성 혈관이 있는 경우 nonbronchial systemic collateral를 의심하고 bronchial artery 외에 collateral artery를 찾아서 색전술을 시행하여야 한다. 주로 발견되는 non-systemic collateral으로는 늑간동맥, 쇄골하동맥, 혹은 액와동맥의 가지, 내유동맥, 아래횡격막동맥 등이다.
본 증례와 같이 병변이 하엽에 있는 경우에는 아래횡격막동맥이 객혈의 원인이 되는 경우가 있어 이의 확인이 필요하다. 아래횡격막동맥는 대개 12번째 흉추와 2번째 요추 사이에서 대동맥에서 직접 기시하거나 복강동맥 입구에서 기시한다. 그 외에 신동맥이나 간동맥에서 기시할 수도 있다.
참고문헌
1. Yoon W, Kim YH, Kim JK, Kim YC, Park JG, Kang HK. Massive Hemoptysis: Prediction of Nonbronchial Systemic Arterial Supply with Chest CT. Radiology 2003; 227:232-238.
2. Keller FS, Rosch J, Loflin TG, Nath PH, McElvein RB. Nonbronchial systemic collateral arteries: significance in percu taneous embolotherapy for hemoptysis. Radiology 1987; 164:687-692.
Citations
Citations to this article as recorded by
