중심단어
Arteriovenous malformation, alcohol, percutaneous embolization
진단명
Left renal AVM (왼쪽 신장 동정맥기형)
영상소견
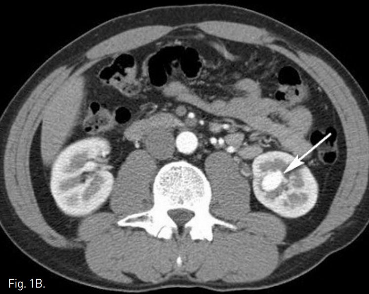
초음파에서 왼쪽 신장 하부에 1.3cm 크기의 낭성병변이 있으며, 내부에 mixed doppler signal이 관찰됨(Fig. 1A). 복부 CT에서도 동일한 위치에 혈관과 동일한 조영증강 양상을 보이는 1.7×1.3cm 크기의 혈관성 종괴가 있음(Fig. 1B).
Fig. 1
Renal doppler US and abdominal CT show a vascular mass suggesting nidus of AVM in lower pole of left kidney(arrow)
시술방법 및 재료
초음파 유도하에 우측 총대퇴동맥을 천자하여 5F sheath를 삽입하고 Cobra catheter(Cook, Bloomington, IN)를 이용하여 시행한 왼쪽 신장동맥 혈관조영술에서 다수의 유입동맥과 하나의 유출정맥 (draining vein)을 가지는 동정맥기형이 관찰되었다 (Fig. 2A). 혈류가 빠르고, 유입동맥이 매우 많아서 동맥을 통한 치료는 불가능할 것으로 판단되었다.
초음파 유도하에 우측 총대퇴정맥을 천자하여 6F sheath를 삽입하고, renal guiding catheter(Cordis Corporation, Miami, Florida), Davis catheter (Cook, Bloomington, IN), 2.0F Progreat microcatheter(Terumo Medical Corporation, Tokyo)와 0.014 inch Transcend guidewire(Boston Scientific, Fremont, CA)를 이용하여 draining vein을 통한 nidus로의 접근을 시도하였으나 실패하였다.
이어 환자를 복와위로 돌려눕히고, 초음파 유도하에 21G Chiba needle로 nidus를 직접 천자 후 혈관조영술을 시행하여 동정맥기 형의 nidus와 유출정맥을 확인하였다(Fig. 2B). Chiba needle을 통하여 3mm × 2cm Tornado coil(Cook, Bloomington, IN)을 nidus에 넣자 유출정맥의 기시부가 매우 좁아서 유출정맥의 입구에 걸려 혈류가 느려졌다. 이후 Gelfoam을 소량 주입하여 혈류가 거의 없어짐을 확인한 뒤, Chiba needle을 nidus의 가장 깊은 위치에서부터 후진시키며, 99% 알코올을 소량씩 주입하여 색전을 시행하였다(Fig. 2C). 색전술 후 시행한 왼쪽 신장동맥 혈관조영술에서 동정맥기형은 더 이상 관찰되지 않는다(Fig. 2D).
Fig. 2
A. Left renal angiogram shows arteriovenous malformation in lower pole consist of multiple small afferent arterioles (short arrows), one large draining vein (arrowhead), and nidus (long arrow).
B. Angiogram after direct puncture the nidus of AVM shows the nidus and single draining vein.
C. A radiograph obtained during alcohol injection shows a coil occluding venous outflow tract and reflux of the contract media into afferent arterioles.
D. Post-embolization angiogram shows complete embolization of the renal AVM.
고찰
동정맥기형은 출혈, 통증, 심부전 등을 일으킬 수 있는 질환으로서 동정맥문합 형태에 따라 arterio-venous fistulae(Type I), arteriole-venous fistulae(Type II), arteriolo-venulous fistulae with non-dilated fistula (Type IIIa) 및 arteriolo-venulous fistulae with dilated fistula(Type IIIb)로 나눌수 있다. Type I과 II의 경우는 transarterial, transvenous and direct puncture로 치료할 수 있고, Type Ⅲa는 transarterial, Type IIIb는 transarterial and direct puncture로 치료할 수 있다.
본 증례의 경우는 Type II로서 이론적으로 세가지 경로 모두 가능한 형태였으나, 유입동맥이 매우 작고 그 수가 많아 transarterial approach가 불가능하였고 transvenous approach시에도 유출정맥 기시부가 매우 작아 nidus내로의 진입에 실패하여, 결국은 direct puncture하여 치료하였다.
결론적으로 동정맥기형의 형태와 유입동맥, nidus, 유출정맥의 관계를 정확히 인지하고 적절한 경로를 통하여 시술한다면 안전하고 효과적으로 치료할 수 있을 것이다.
참고문헌
1. Do YS, Park KB, Cho SK. How do we treat arteriovenousmal formations (tips and tricks)? Tech Vasc Interv Radiol 2007; 10:291-298.
2. Castaneda F, Goodwin SC, Swischuk JL, et al. Treatment of pelvic arteriovenous malformations with ethylene vinyl alcohol copolymer (Onyx). J Vasc Interv Radiol 2002;13:513-516.
3. Cura M, Elmerhi F, Suri R, Bugnone A, Dalsaso T. Vascular malformations and arteriovenous fistulas of the kidney. Acta Radiol 2010; 51:144-149.
4. Ginat DT, Saad WE, Turba UC. Transcatheter renal artery embolization: clinical applications and techniques. Tech Vasc Interv Radiol 2009; 12224-239.
5. Chi T, Eisner B, Stoller ML. Renal arteriovenous mal formation. J Urol 2009; 182:1174-1175.
6. Seitz M, Waggershauser T, Khoder W. Congenital intrarenal arteriovenous malformation presenting with gross hematuria after endoscopic intervention: a case report. J Med Case Reports 2008; 2:326.
Citations
Citations to this article as recorded by
