중심단어
pseudoaneurysm, splenic artery, embolization, subtotal gastrectomy
임상소견
위아전절제술 후 26일에 생긴 좌위동맥 잔류부의 거짓동맥류.
조기위암 으로 위아전절제술을 시행한 환자가 수술후 26일째 대량의 토혈을 주소로 응급실에 내원함. 환자는 위아전절제술 시행 후 11일만에 합병증 없이 퇴원하였으며, 이후 별다른 문제 없이 지내던 중 내원 당일 점심 식사후 갑자기 토혈이 발생하여 내원하였음. 내원 당시 혈압은 98/72mmHg이었고 심박수는 115회 였으며 혈중 헤모글로빈은 11.7mg/dL이었음. 복부 CT에서 잔류 위의 봉합부가 일부 열려 있으며 그 주변으로 혈종과 액체저류 소견이 있음.
진단명
위아전절제술 후 잔류위의 열개(dehiscence)
영상소견
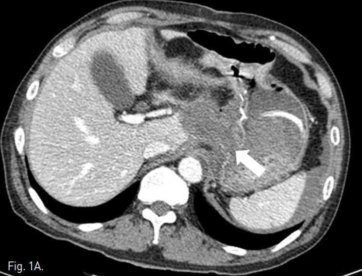
조영증강 복부 CT에서 잔류위의 점막부 조영증강이 일부 끊어져 있는 소견이 보였고, 그 주변으로 혈종과 액체저류 소견이 보여 잔류위 봉합부의 열개(dehiscence)가 있는 것으로 생각된다(Fig. 1a). 액체저류는 주변으로 파급되어 췌장을 둘러싸고 퍼지는 양상이며 비장동맥 주위까지 침윤되어 있었다. 비장동맥의 근위부가 약간 불규칙하게 보였으나 급성 출혈이나 가성동맥류 소견은 뚜렷하지 않았다(Fig. 1b).
Fig. 1
A. Contrast-enhanced CT scan shows focal dehiscence in the residual stomach wall (arrow) with surrounding fluid collection.
B. Proximal splenic artery shows focal luminal irregulari ty (arrow). But there was no evidence of arterial bleding.
시술방법 및 재료
복강동맥조영술에서 비장동맥 근위부에 좌위동맥 잔류부(left gastric artery stump)가 보였으며, 그 끝에서 발생한 가성동맥류가 있다(Fig. 2). 비장동맥에 stent-graft 삽입을 위하여 우측 총대퇴동맥을 통해 8F 65cm long sheath(Teleflex, 회사, USA)를 삽입하였다. Sheath의 tip을 비장동맥 근위부까지 진입시키고 Amplatz stiff guidewire(Cook, USA)를 비장동맥 원위부까지 통과시켰다. 이후 10mm × 4cm stent-graft(S&G, Korea)의 진입을 시도하였으나 stent-graft 시스템이 비장동맥 근위부의 급격한 커브를 통과하지 못하였다(Fig. 3). 총간동맥 조영술에서 잔류위를 공급하는 부위동맥(accessory gastric artery)이나 다른 측부순환로는 보이지 않아 비장동맥 색전술을 시행할 경우 위 경색(gastric infarction)이 우려되는 상황이었으나, 수술을 담당하였던 외과의와의 상의 하에 좌위동맥 잔류부를 포함하여 비장동맥을 코일을 이용하여 색전하였다(Fig. 4). 먼저 10mm × 5cm Standard coil(Cook, USA) 2개를 이용하여 frame을 형성하고 이후 8mm × 14cm Nester coil (Cook, USA) 7개를 이용하여 색전술을 시행하였다. 코일 색전술 도중 코일의 일부가 가성동맥류로 돌출하였으나 좌위동맥 잔류부를 중심으로 비장동맥의 원위부부터 근위부까지 색전하였다. 색전술 후 상장간막동맥조영술에서 미세한 측부순환로를 통해 원위부 비장동맥이 매우 약하게 조영됨을 확인하였다(Fig. 5). 시술 후 12시간에 시행한 CT 조영증강 전영상에서 위벽에 전날 시술시 사용한 조영제가 남아 있는 소견이 보여 잔류위의 관류가 매우 저하되어 있음을 알 수 있었고(Fig. 6a) 비장의 조영증강도 매우 저하되어 있었다. 그러나 동맥기 영상에서 원위부 비장동맥은 조영이 되어 보였다. 시술 7일후 시행한 CT상에서는 위점막의 조영증강은 정상적으로 보였고, 비장에도 다발성의 작은 경색 소견이 보였으나 전반적인 조영증강은 회복된 양상이었다(Fig. 6b). 환자는 시술 52일 후 정상 식이 가능한 상태로 퇴원하였다.
Fig. 2
Splenic arteriogram shows a pseudoaneurysm (arrow) arising from left gastric artery stump which is originated from proximal splenic artery.
Fig. 3
Stent-graft system does not pass the tortuous course of proximal splenic artery.
Fig. 4
Segmental embolization of splenic artery was performed.
Fig. 5
Post-embolic superior mesenteric arteriogram shows faint blood flow in distal splenic artery (arrows) by collateral supply.
Fig. 6
A. Non-enhanced CT scan performed 12 hours after embolization shows stagnation of contrast media in the stomach wall (arrows).
B. Contrast-enhanced CT scan which was performed 7 days after embolization shows improved perfusion of stomach wall.
고찰
위는 혈관 분포가 풍부하고 점막하 혈관총이 발달해있어 수술 후 허혈에 잘 견뎌내는 것으로 알려져 있다(1). 위아전절 제술 후 잔류위의 혈액 공급에는 좌위동맥(left gastric artery), 좌하횡격막동맥(left inferior phrenic artery), 단위동맥(short gastric artery) 등 3가지 경로가 있다(2, 3). 이전의 실험연구에 의하면 이 세 가지 경로 중 최소한 하나는 보존되는 것이 잔류 위의 경색을 피하기 위해 필수적이라고 하였다(3, 4).
본 환자에서는 좌위동맥은 결찰된 상태였고, 단위동맥이 기시하는 비장동맥을 색전하였으나 잔류 위의 경색은 발생하지 않았다. 본 환자에서 색전술 후 시행한 상장간막동맥 조영술 상에서 원위 비장동맥의 혈류가 약하게나마 확인된 바, 송 등은 배측췌장동맥(dorsal pancreatic artery)의 횡행 경로가 복강동맥과 상장간막동맥의 측부 순환에서 중요한 역할을 할 수 있음을 보고하였다(5). 본 환자에서도 이러한 측부 순환이 잔류위의 경색을 막는 역할을 하였을 것으로 생각된다.
참고문헌
1. Babkin BP, Armour JC, DR W. Restoration of the functional capacity of the stomach when deprived of its main arterial blood supply. Can Med Assoc J 1943; 48:1-10.
2. Rodgers JB Infarcion of the gastric remnant following subtotal gastrectomy. Arch Surg 1966; 92:917-921.
3. Isabella V, Marotta E, Bianchi F. Ischemic necrosis of proximal gastric remnant following subtotal gastrectomy with splenectomy. J Surg Oncol 1984: 25:124-132.
4. Schiein M, Saadia R. Postoperative gastric ischemia. Br J Surg 1989; 76844.
5. Song SY, Chung JW, Kwon JW, Joh JH, Shin SJ, Kim HB et al. Collateral Pathways in Patients with Celiac Axis Stenosis: Angiographic-Spiral CT Correlation. 2002;22:881-893.
Citations
Citations to this article as recorded by
