중심단어
Pseudoaneurysm, glue, embolization.
임상소견
급성 결석담낭염(acute calculous cholecystitis)으로 개방 담낭절제술(open cholecystectomy)을 시행받고 병원에서 치료 받던 중 20일 경과 후 열이 발생하여 시행한 복부 컴퓨터단층촬영(CT)에서 간동맥에 가성동맥류가 발견되어 의뢰됨. 기저 질환으로 고혈압과 당뇨가 있었음.
진단명
담낭절제술 후 간동맥에 생긴 가성 동맥류
영상소견
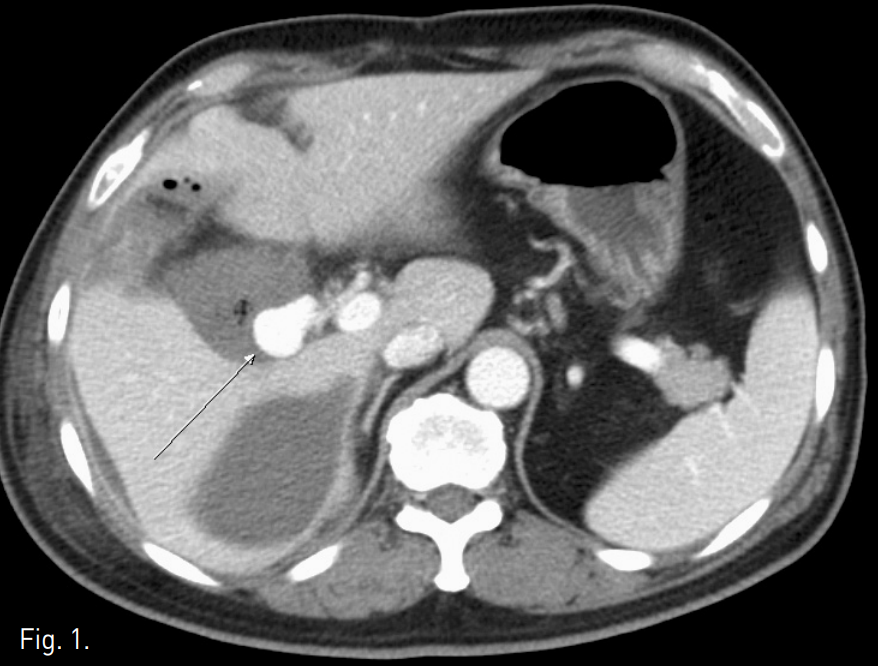
복부 컴퓨터단층촬영상 우측 간동맥 기원으로 생각되는 2.8cm 크기의 가성동맥류가 관찰되고 가성동맥류 주위에 complicated fluid collection과 air bubble들이 있으며, 간주위 공간과 오른쪽 가로막하 공간에도 complicated fluid collection이 있음(Fig. 1). 총간동맥 혈관조영술상 제 4 간분절(S4)로 가는 중간간동맥에서 기시하는 가성동맥류가 있으며 동맥류 안으로 조영제가 차 들어가는 것이 확인됨 (Fig. 2).
Fig. 1
Enhanced CT scan shows a 2.8-cm sized pseudoaneurysm (arrow) probably at the right hepatic artery and surrounding complicated fluid collection with multiple air bubbles. Another complicated fluid collection is seen in the perihepatic space
Fig. 2
Common hepatic angiography shows the pseudoaneurysm (arrow) developing at a branch of the middle hepatic artery.
시술방법 및 재료
5F sheath를 우측 총대퇴동맥 내로 삽입한 후, 0.035 inch guide wire(Terumo, Tokyo, Japan)와 RH catheter(Cook, Bloomington, IN, USA)를 이용하여 총간동맥 혈관조영술을 시행함. 제 4 간분절로 가는 간동맥에서 기시하는 가성동맥류를 확인하고 0.014 inch Transcend guide wire(Boston scientific, Natick, MA, USA)와 2.2F Progreat microcatheter (Terumo, Tokyo, Japan)를 이용하여 superselection하여 4개의 tornado microcoil(Cook, Bloomington, IN, USA)과 gelatin sponge particle(gelfoa m)로 색전술을 시행함. 그러나 시술 후 시행한 혈관촬영술에서 처음에는 보이지 않던 간내 곁순환에 의해서 가성동맥류는 여전히 관찰됨(Fig. 3). 초음파 유도 하에 22G Chiba needle(A&A medical, Seoul, Korea)로 가성동맥류를 직접 천자하여 Yellow sheath(A&A medical, Seoul, Korea)를 삽입하고 1% sodium tetradecyl sulfate (Tromboject) 2 cc, N-butyl-2-cyanoacrylate(glue)(B. Braun, Melsungen AG, Germany)와 리피오돌 1:4 혼합액 4 cc로 색전술을 시행함(Fig. 4). 이 과정에서 우측 간동맥 전분절 분지내로 혼합액의 일부가 유입되었음. 다시 시행한 혈관 조영술에서 가성동맥류가 완전히 폐색된 것을 확인함 (Fig. 5).
Fig. 3
Middle hepatic angiography after the coil embolization shows opacification of the pseudoaneurysmal sac via in trahepatic collaterals (arrows).
Fig. 4
A radiograph shows complete filling of N-butyl-2-cyanoacrylate and lipiodol mixture in the pseudoaneurysmal sac with reflux of the mixture into some anterior segmental branches of the right hepatic artery (arrow).
Fig. 5
Common hepatic angiography after the embolization shows no opacification in the pseudoaneurysm.
고찰
간동맥에 생기는 가성동맥류는 대부분 간외 부분 특히 우측 간동맥에서 기원하며, 간내부분에서 발생하는 경우는 전체 중에 약 20% 정도를 차지한다. 이런 가성동맥류는 급성이나 만성 혈관 손상에 의해서 생기며, 외상이나 수술 또는 시술에 의하는 경우가 많다. 보고된 바에 따르면 둔기 외상 혹은 관통상 환자의 약 1.2%에서 간동맥 가성동맥류가 발생하였으며, 이는 전체의 22%를 차지한다. 또한 복강경하 담낭절제술 후에 직접 또는 열로 인한 동맥 손상 발생률은 약 0.2~0.8%이며 대부분의 경우에서 가성동맥류를 형성하게 되지만, 개방 담낭절제술 후에 생긴 가성 동맥류는 매우 드물며 몇몇의 증례만이 보고되고 있다. 췌십이지장절제술 후 이자액의 자가소화에 의해서도 발생할 수 있으며, 같은 기전으로 거짓낭을 가진 만성 췌장염 환자에서도 동맥루를 형성하여 가성동맥류를 유발할 수 있다. 같은자리 간이식(orthotopic liver transplantation) 환자의 0.8~2%에서 가성동맥류가 합병증으로 발생하며 면역억제 상태에서의 감염으로 인해 주로 간 동맥 연결부위에서 생기게 된다. 간경유담관조영술, 간경유담즙배액술, 간 생검 등과 같은 시술 후에도 간혹 발생할 수 있다.
가성동맥류는 조영증강 복부 컴퓨터단층촬영이나 색도플러 초음파 검사, 혈관조영술로 진단할 수 있으며, 파열에 의해서 생명을 위협하는 출혈을 야기할 수 있어 드물지만 매우 중요하다. 비록 자발적인 혈전 형성에 의해서도 폐색될 수 있지만, 파열의 위험성 때문에 일찍 진단하고 혈관 색전술을 통해 치료해야 하며 색전술이 실패하였을 경우 수술적인 복구가 시도된다. 보통 경동맥 색전술을 시도하며 gelatin sponge(gelfoam)나 금속 코일, 또는 액체 색전물질인 N-butyl-2-cyanoacrylate(glue)가 이용될 수 있다. 이 중 NBCA는 체내의 물과 만나면 즉시 중합반응을 일으켜 고체성분으로 바뀌면서 색전 작용을 나타낸다. 여기에 리피오돌을 혼합하면 중합반응 속도를 늦추고 방사선 비투과성(radioopacity)을 얻을 수 있다. 경동맥 색전술이 공급 동맥의 사행성이나 혈관연축 등의 원인으로 불가능한 경우나 경동맥 색전술 후에도 다른 곁순환에 의해 가성동맥류가 계속 관찰될 경우에 경피적 접근을 통해 NBCA를 이용한 직접 색전술을 시행할 수 있다. 시술 후 합병증으로 간괴사가 발생하였다는 논문이 있으며 비선택적인 색전을 시행하거나 간문맥 폐색이 있었기 때문으로 생각되고 있다.
이런 NBCA를 이용한 직접 색전술은 간동맥 가성동맥류 뿐만 아니라 다양하게 응용될 수 있으며 부분 신장절제술 후 생긴 신장경피누공, 대퇴동맥 가성동맥류, 머리와 목 부분의 부신경절종, 저박출성 췌장누공, 수술 후 생긴 뇌척수액 누출, 신장 또는 간 낭종, 천골의 수막 낭종 등에 이용한 사례가 보고되었다. 파열되지 않은 간동맥 가성동맥류의 경우 성공률이 75~100%까지 높게 보고 되고 있다. 그러므로 가성동맥류에 대한 경동맥 색전술을 실패할 경우 경피적 천자를 통한 직접 주입술을 고려해 보는 것이 바람직하겠다.
참고문헌
1. Finley DS, Hinojosa MW, M. Paya M, Imagawa DK. Hepatic artery pseudoaneurysm: a report of seven cases and a review of the literature. Surg Today 2005; 35:543-547.
2. Masannat YA, AI-Naser S, AI-Tal Y, AI-Koteesh J, Sharaf UI. A rare complication of a common operation: hepatic artery pseudo aneurysm following cholecystectomy report of a case. Ir J Med Sci 2008; 177:397-398.
3. Lal A, Khandelwal S, Yadav TD, Kapoor R, Sinha SK Khandelwal N. Percutaneous acrylic glue injection to control bleed in duodenal carcinoma in a case of failed endovascular embolization: case report. Emerg Radiol 2009; 16:419-422.
4. Caughlin CE, Simons ME, Robinette MA. Direct percutaneous embolization of a renal pseudoaneurysm with use of N-butyl cyanoacrylate. J Vasc Intervent Radiol 2010; 21:1317-1318.
Citations
Citations to this article as recorded by
