중심단어
Gastric varix, portal hypertension, variceal obliteration
임상소견
간경화에 의한 식도정맥류출혈에 대해 내시경적 결찰술을 1회 받았던 환자로 하루 전부터 발생한 토혈을 주소로 내원함. 내시경 검사에서 식도와 위분문부 정맥류가 관찰되었고 위분문부 정맥류에서 출혈이 있어 결찰술을 시행했으나 실패하였음. CT에서 gastrorenal shunt가 보이지 않아 BRTO를 시행할 수 없었고 정맥류의 경피경간적 폐쇄술이 의뢰되었음.
진단명
Gastric variceal bleeding
영상소견
CT에서 위분문부 정맥류가 관찰되며(Fig. 1), 정맥류와 하부식도정맥류의 연결은 있었지만 gastrorenal shunt나, left inferior phrenic vein, pericardiophrenic vein 등의 유출 정맥과의 연결은 없었음.
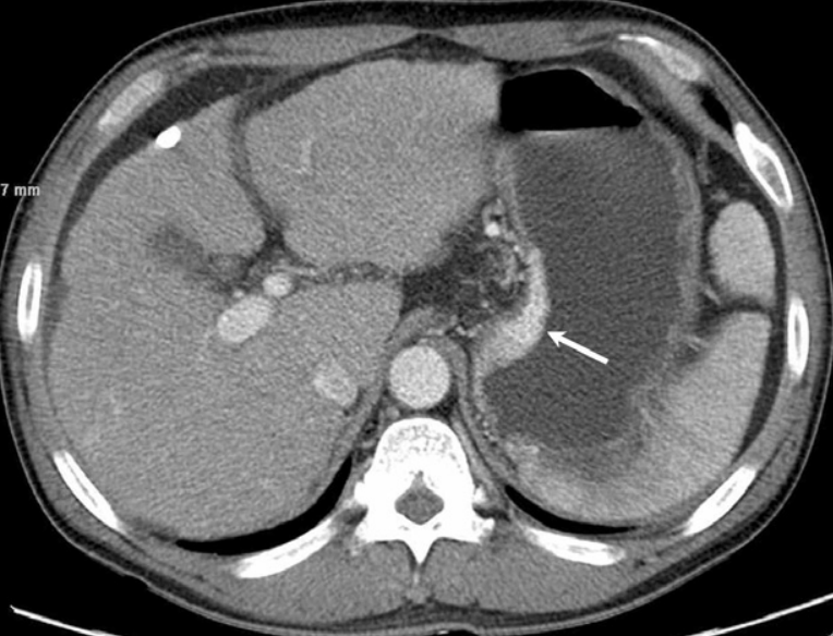
Fig. 1
Enhanced CT scan demonstrates gastric cardiac varices (arrow).
시술방법 및 재료
초음파와 투시유도 하에 간문맥 말초부위를 경피적으로 천자한 후 5F sheath를 삽입하였고, 5F Cobra catheter with sidehole (Cook, Bloomington, USA)를 비장정맥까지 전진하였다. 간문맥 및 좌위정맥조영술을 시행했을 때 비장정맥과 연결된 좌위정맥에서 혈류가 유입되고 식도하부정맥류로 혈류가 유출되는 위정맥류가 관찰되었다(Fig. 2). 좌위정맥 내로 전진한 5F 카테터 내로 2.7F 미세도관(Progreat, Terumo, Japan)을 삽입하여 위정맥류와 연결되는 2개의 inflow vein 중 하나를 선택, 위정맥류 내까지 도관 말단부를 전진한 다음 조영제를 주입하여 위식도정맥류의 혈류를 확인하였다(Fig. 3). N-butyl-2-cyanoacrylate(NBCA, glue) 0.5 ml와 lipiodol 3.5 ml를 1:7 비율로 혼합하여 주입하였을 때, glue 혼합액이 위정맥류 전체를 채우지 못하고 일부만을 채운 상태로 좌위 정맥쪽으로 역류되었고 소량은 비장 정맥까지 역류되었다. 미세도관으로 나머지 하나의 inflow vein을 선택, 위정맥류까지 전진한 다음 조영제를 주입하여 위식도정맥류의 남은 혈류를 확인하였다(Fig. 4). 위정맥류 전체를 채우기 위해 1:12 비율로 좀 더 희석해서 만든 glue-lipiodol 혼합액을 사용하였고 위정맥류 전체와 일부 하부 식도정맥까지 glue 혼합액으로 채울 수 있었다(Fig. 5). Completion portography에서 위정맥류는 완전 폐색되었고, 비장정맥 쪽에서의 short gastric vein을 통해 위기저부에 관찰되는 작은 구불구불한 정맥들은 크기가 작아 임상적으로 큰 의미가 없을 것으로 판단하였다(Fig. 6), 환자는 출혈이 멈추어 시술 6일 후 퇴원하였고, 16개월 이후 시행된 추적 CT에서 위정맥류의 완전 소실이 지속적으로 관찰되었다 (Fig. 7).
Fig. 2
Splenoportal (A) and left gastric (B) venograms show gastric varices through which the venous blood flow runs from two inflow veins (arrows) of the left gastric vein to distal esophageal varices.
Fig. 3
Selective venogram obtained via a microcatheter advanced into the gastric varices shows the variceal blood flow more clearly.
Fig. 4
The remaining gastric variceal flow is well seen on venogram obtained via the other inflow vein of the left gastric vein immediately after glue embolization of one of the inflow veins.
Fig. 5
The mixture of glue and lipiodol is completely filled into the gastric varices and some parts of distal esophageal varices.
Fig. 6
Splenoportal venogram obtained immediately after glue embolization shows complete obli teration of the gastric varices and their inflow veins.
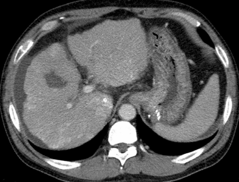
Fig. 7
Follow-up CT scan 16 months after PTO shows no gastric varices.
고찰
문맥 고혈압 환자에서 발생하는 심각한 합병증인 위정맥류의 발생 빈도는 약 30% 정도이고, 10-36%의 출혈률과 14-45%의 사망률을 보이는 것으로 알려져 있다. 위정맥류 출혈의 치료에는 내시경적 경화요법, TIPS, BRTO, PTO 등의 여러 가지 방법이 시도될 수 있지만, 최근에는 87-100%의 치료 성공률과 0-10%의 재발률로 치료성적이 가장 좋은 BRTO가 일차적으로 시도되고 있다. 하지만 gastrorenal shunt 혹은 gastrocaval shunt와 같은 접근 가능한 유출 정맥이 있는 경우에만 BRTO 시술이 가능하므로, 본 증례와 같이 카테타로 접근 가능한 유출 정맥이 없는 위정맥류에서 발생한 출혈은 BRTO외 다른 치료법을 시도할 수 밖에 없다.
PTO는 간문맥을 경피적으로 천자하여 위정맥류의 유입정맥 내로 들어가 정맥류를 폐색시키는 시술로 BRTO 시술이 불가능한 위정맥류 출혈의 치료에 효과적인 방법이지만, 정맥류 자체가 아닌 유입정맥을 폐색하기 때문에 정맥류 재출혈의 위험이 다소 높고 간문맥의 직접천자로 인한 복강 내 출혈의 위험이 있다는 단점 때문에 제한적으로 사용되어 왔다. PTO시술에 사용되는 색전물질로는 coil이 가장 많이 사용되어 왔는데, coil만을 사용하는 경우 카테터로 접근 가능한 유입 정맥들만 색전할 수 있기 때문에 정맥류 지혈에 실패할 수 있으며, 지혈에 성공하더라도 정맥류 자체는 폐색되지 않았기 때문에 향후 새롭게 발생한 유입 정맥들과 위정맥류가 재개통되면서 재출혈이 발생할 수 있다. 때문에 최근 PTO시술은 coil과 함께 glue, ethanolamine oleate 등의 액체성 색전물질을 같이 사용하여 유입정맥과 함께 정맥류 자체를 폐색시키기 방향으로 시도되었고 실제로 좋은 치료 성적을 얻었다. 하지만 glue와 같은 액체성 색전물질을 사용하는 경우 정맥류에서 경화되기 전에 색전물질이 혈류를 타고 떠내려가 폐색전증을 유발할 위험이 있으며, 특히 우좌단락이 있는 환자에서는 뇌색전증 등의 심각한 합병증이 발생할 수 있으므로 충분한 사전 검사와 주의 깊은 사용이 요구된다.
참고문헌
1. Kiyosue H, Matsumoto S, Yamada Y et al. Transportal intravariceal sclerotherapy with N-butyl-2-cyanoacrylate for gastric varices. J Vasc Interv Radiol. 2004; 15:505-509.
2. Kwak HS, Han YM. Percutaneous transportal sclerotherapy with N-butyl-2-cyanoacrylate for gastric varices: technique and clinical efficacy. Korean J Radiol 2008 9:526-533.
3. Zhu KS, Meng XC, Qian JS et al. Transportal variceal sclerotherapy with n-butyl-2-cyanoacrylate for gastric fundal varices. Zhonghua Gan Zang Bing Za Zhi. 2008;16:776-780.
4. Chikamori F, Kuniyoshi N, Kagiyama S et al. Rdle of percutaneous transhepatic obliteration for special types of varices with portal hypertension. Abdom Imaging 2008; 11 (published on line).
Citations
Citations to this article as recorded by
