중심단어
Hepatic artery, Pancreaticoduodenectomy, Pseudoaneurysm
임상소견
담관암으로 유문보존췌장십이 지장절제술을 시행한지 25일 경과한 환자로 내원 2일 전부터 열이 났으며, 내원 당일 의식변화가 동반되어 응급실로 내원하였다.
진단명
총간동맥 가성 동맥류(common hepatic artery pseudoaneurysm)
영상소견
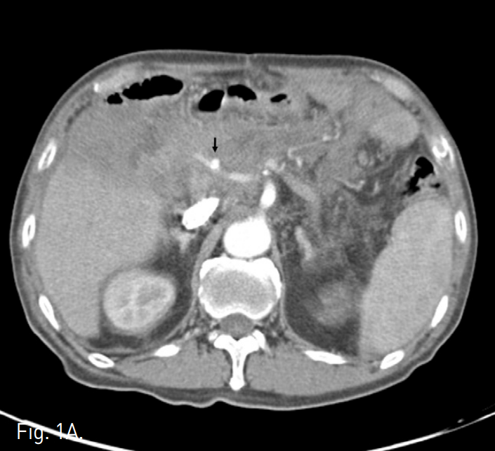
CT상 총간동맥에 약 0.6cm 크기의 가성동맥류가 있고 그 주변으로 혈종이 관찰되었다(Fig. 1A). 간동맥 조영술에 서 총간동맥에 pseudoa neurysmal sac과 인접한 부위의 spasm, 그리고 가성동맥류 주변으로 조영제의 누출이 확인되었다(Fig. 1B).
시술방법 및 재료
우측 대퇴동맥을 천자하여 복강동맥 조영술을 시행하여 가성동맥류의 크기와 위치를 확인하고 stent-graft를 설치하고자 하였다. 8F guiding catheter (Launcher, Medtronics Inc, Minneapolis)를 복강동맥 입구에 위치시키고 직경 4-9mm, 길이 28mm의 말초혈관용 stent graft(Jostent, Abbott, Germany) 를 직경 4mm, 길이 40mm balloon(Symmetry Balloon dilatation catheter, Boston Scientific, USA)에 장착하였다. 5F angiographic catheter와 0.035" guidewire로 좌측 간동맥을 selection한 후에 exchange guidewire(18 control Wire, Boston Scientific, USA)로 교체한 후 Balloon ex pandable stent graft를 간동맥에 설치하였다(Fig. 1C). 시술 직후 시행한 복강동맥 조영술에서 가성동맥류 부위의 간동맥이 stent-graft 설치 범위에 충분히 포함되었으며 조영제 누출은 보이지 않는다(Fig. 1D).
Fig. 1
A. Abdominal CT shows a small pseudoaneurysm of the common hepatic artery (arrow) with surrounding hematoma.
B. Common hepatic arteriogram shows the pseudoaneurysm (arrows) and extravasation of constrast material.
C. A stent graft (Jostent; 4-9mm in diameter and 28mm in length) was positioned across the common hepatic artery and a 4mm-diameter balloon catheter was inflated to expand thestent graft.
D. A completion angiogram shows coplete exclusion of the pseudoaneurysm without extravasation of contrast media.
고찰
간동맥의 가성동맥류는 수술뿐만 아니라 조직검사, PTBD, 또는 abscess drainage등의 catheter drainage 시술 등을 통해서도 발생할 수 있다. 이는 발견 즉시 치료를 요하는 치명적인 응급상황이다. 총간동맥 가성동맥류는 고전적인 치료법으로 개복술을 통해 간동맥을 결찰하였으나 이는 수술과정도 어려울 뿐만 아니라 수술 후 혈관의 유착과 염증이 발생 할 수 있다.
따라서 인터벤션 시술을 통하여 치료하는 것이 매우 유용하다. 인터벤션 시술로는 가성동맥류의 근위부로부터 원위부까지의 간동맥을 코일을 이용하여 색전술을 시행한다. 그러나 시술 후 간으로 가는 혈류량이 감소하여 허혈에 빠질 수 있으며 부분적인 revascularization에 의해 출혈이 재발할 수 있다. 이러한 문제점 때문에 최근에는 stent graft를 이용한 성공적인 사례들이 보고되고 있다. 간동맥의 혈관의 직경의 제한으로 인하여 대부분 coronary stent나 Jostent graft가 사용 되었다(1-5).
본 증례는 4-9mm크기의 말초혈관용 stent-graft인 Jostent를 이용하여 성공적인 치료를 하였던 경우이다. 현재는 작은 크기의 내장동맥에서의 stent-graft 사용시 장기 성적에 관한 보고가 많지 않지만 간동맥 혈류를 유지시키면서 가성동맥류을 치료할 수 있는 좋은 치료법이 될 것이라 생각한다.
참고문헌
1. Venturini M, Angeli E, Salvioni M, et al. Hemorrhage from a right hepatic artery pseudoaneurysm: endovascular treatment with a coronary stent-graft. J Endovasc Ther 2002; 9:221-224.
2. Kaw LL Jr, Saeed M, Brunson M, Delaria GA, Dilley RB. Use of a stent graft for bleeding hepatic artery pseudoaneurysm following pancreatico-duodenectomy. Asian J Surg 2006; 29283-286.
3. Maleux G, Pirenne J, Aerts R, Nevens F. Hepatic artery pseudoaneurysm after liver transplantation: definitive treatment with a stent-graft after failed coil embolisation. Br J Radiol 2005; 78:453-456.
4. Hashimoto N, Haj S, Nomura H, Kato M, Ohyanagi H. Arterial hemorrhage by pseudoaneurysms following pancreatodu odenectomy. Hepatogastro-enterology 2004;51:1847-1848.
5. Aranha GV, O'Neil S, Borge MA. Successful nonoperative management of bleeding hepatic artery pseudoaneurysm following pancreatico-duodenectomy. Dig Surg 1999;16:528-530.
Citations
Citations to this article as recorded by
