중심단어
Brachiocephalic trunk, dissection, stent
임상소견
기계에 끼어 neck and chest pain 발생하여 내원.
진단명
Traumatic dissection at the brachiocephalic trunk
영상소견
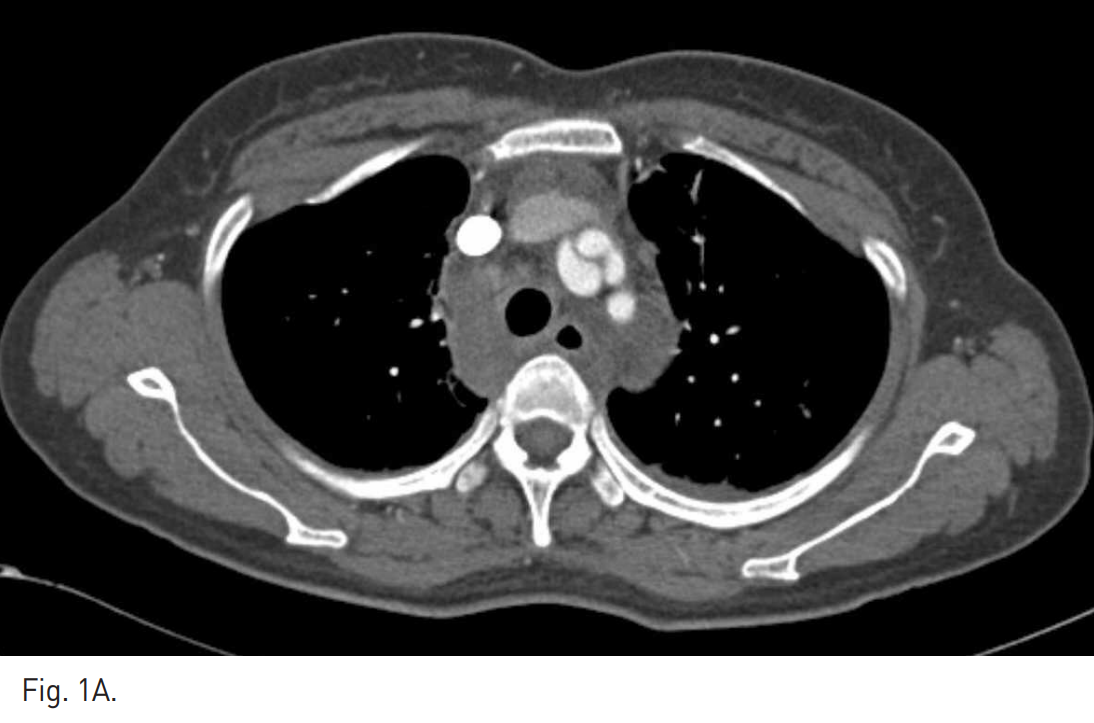
흉부 CT에서 aortic arch에서 약 0.5cm 떨어진 right brachiocephalic trunk에 약 2.7cm 길이의 dissection이 관찰되며 약 1.6cm의 pseudoa neurysm이 동반되어 있다. 또한 주위 종격동에 혈종이 있다(Fig. 1A, B). Supine position에서 시행한 복부대동맥조영술에서도 right brachiocephalic trunk의 dissection과 pseudoaneurysm이 잘 관찰된다(Fig.2A). Wire와 catheter를 이용하여 병변 부위를 통과한 후, covered stent를 설치하였다(Fig. 2B). 2주 후 시행한 추적 흉부 CT상 dissection과 pseudoa neurysm은 더 이상 보이지 않았다(Fig. 3A, B).
Fig. 1
A, B. Arterial phase axial (A) and coronal MIP (B) images of chest CT scan show the dissection with pseudoaneurysm formation at the right brachiocephalic trunk. Small amount of mediastinal hematoma is noted.
Fig. 2
A. Initial arch aortogram demonstrates the dissection with pseudoaneurysm at the proximal right brachiocephalic trunk.
B. On arch aortogram following deployment of the covered stent, the lesion has been successfully excluded and there is no abnormal finding of supra-aortic arteries.
Fig. 3
A, B. On axial (A) and coronal MIP (B) images of follow up CT scan 2 weeks later, thelesion of right brachiocephalic trunk has been completely excluded. Both common carotid and right subclavian arteries are normally visualized.
시술방법 및 재료
우측 총대퇴동맥을 통해 접근하여 시행한 흉부대동맥조영술에서 right brachiocephalic trunk의 dissection과 pseudoaneurysm을 확인하였다. 5F Simmons 1 catheter(Merit Medical, Utah, U.S.A)와 wire를 이용하여 병변 부위를 통과하여 우측 상완동맥까지 진입한 후 exchange wire(Rosen curved wire, Cook, Bloomington, U.S.A)를 이용하여 10mm×40mm covered stent(S & G, Seongnam, Korea)를 lesion에 위치시킨 후 설치하였다.
2주 후 시행한 흉부 CT에서 stent는 잘 위치하고 있으며, right brachiocephalic trunk에 있던 dissection과 pseudoaneurysm은 호전되었다.
고찰
외상에 의한 동맥박리와 pseudoaneurysm은 드문질환이 아니나, isolated brachiocephalic trunk의 injury는 드물게 관찰된다. 특히 catheterization이나 생검 등에 의한 의인성 원인 외의 blunt trauma에 의한 isolated brachiocephalic trunk injury는 brachiocephalic trunk의 흉곽내 위치로 인해 손상이 드물다고 보고되고 있다(1). 고식적인 치료법은 surgical repair로 심폐우회술과 함께 정중흉골 절개술을 시행하거나 심폐우회술 없이 정중흉골 절개술을 시행하는 것이다(2). 그러나, 경험이 있는 surgeon에 의한 수술일지라도 endovascular treatment에 비해 mortality와 morbidity는 높으며, neurologic complication이 생길 가능성도 있다.
이에 비해 balloon-ex pandable 또는 self-expandable stent-graft의 발달과 함께 endovascular treatment blood loss와 tissue damage가 적고, 시술 시간과 morbidity, mortality를 감소시키며, hospital stay와 recovery period를 줄일 수 있어, 보고된 증례가 적음에도 불구하고 최근 traumatic brachiocephalic trunk injury를 가진 stable patient에서 treatment of choice로 인식되어 가고 있다(1-6).
그러나, 외상성 손상으로 인해 dissection과 pseudoaneurysm이 발생한 동맥의 위치가 좋지 못한 경우나 동맥이 tortuous한 경우 stent-graft가 실패하여 수술적 치료를 추가로 시행할 수도 있으므로 주의를 요한다(4).
본 증례는 brachiocephalic trunk의 dissection이 aortic arch에서 불과 5mm 거리에서 시작되었고 좌측 총경동맥의 기시부와 brachiocephalic trunk가 바로 인접하고 있어 stent-graft의 위치를 신중히 고려해야 했던 증례로 aortic arch내로 covered stent의 distal bare portion을 약 2mm 정도 돌출시킨 후 stent-graft를 설치하여 병변을 치료한 증례이다. Covered stent를 이용한 brachiocephalic trunk injury의 치료 시에 사전에 supra-aortic arteries의 anatomy와 병변의 위치에 대한 충분한 고려가 필요하겠다.
참고문헌
1. Du Toit DF, Odendaal W, Lambrechts A, et al. Surgical and endovascular management of penetrating innominate artery injuries. Eur J Vasc Endovasc Surg 2008; 36(1):56-62
2. Axisa BM, Loftus IM, Fishwick G, et al. Endovascular repair of an innominate artery false aneurysm following blunt trauma. J Endovasc Ther 2000; 7(3):245-250
3. Ahmed I, Katsanos K, Ahmad F, Dourado R, Lyons O, Reidy J. Endovascular treatment of a brachiocephalic artery pseudoaneurysm secondary to biopsy at mediastinoscopy. Cardiovasc Intervent Radiol 2009;32(4):792-5
4. Biebl M, Neuhauser B, Perkmann R, et al. Traumatic pseudoaneurysm of the brachiocephalic artery following medianoscopy: initial endovascular repair followed by open surgery-a case report. Am Surg 2003; 69(6):542-545
5. Blattman SB, Landis GS, Knight M, et al Combined endovascul ar and open repair of a penetrating innominate artery and tracheal injury. Ann Thorac Surg 2002; 74(1):237-239
6. Miles EJ, Blake A, Thompson W, et al. Endovascular repair of acute innominate artery injury due to blunt trauma. Am Surg 2003; 69 (2):155-159
Citations
Citations to this article as recorded by
