중심단어
Stent graft, pseudoa neurysm, hepatic artery
임상소견
12일전 담낭결석으로 복강경 담낭절제술을 받은 환자으로 내원 전일부터 발생한 복부팽만감과 복통으로 내원함. 혈압은 90/60mmHg로 측정됨. 복부CT에서 우간동맥 가성동맥류로 진단됨.
진단명
Pseudoaneurysm at right hepatic artery after laparoscopic cholecystectomy
영상소견
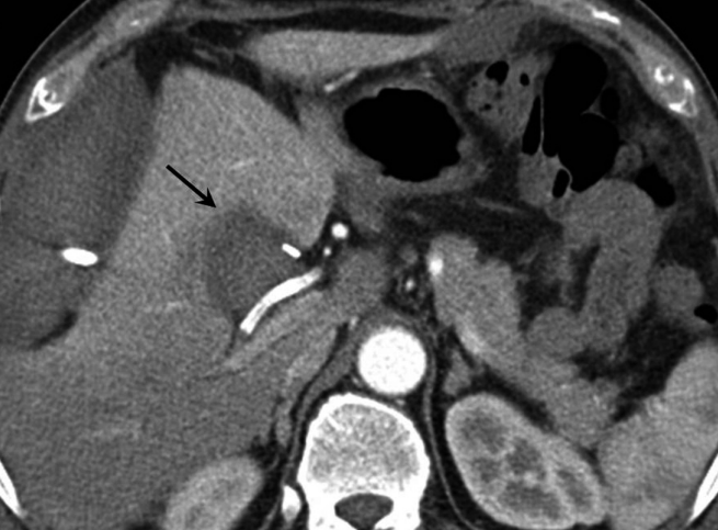
조영증강 복부 CT에서 우간동맥에 약 2cm 크기의 가성동맥류가 관찰됨(Fig. 1).
Fig. 1
Abdominal CT shows a pseudoaneurysm at right hepatic artery (arrow).
시술방법 및 재료
복강동맥조영술에서 우간동맥의 분지부에 인접한 위치에 가성동맥류를 확인하였다(Fig. 2A, B). 6F Shuttle guiding catheter(Cook, Bloomington, IN, USA)로 교체 후에 Stent-graft(4×26mm, JoStent GraftMaster®, JoMed, Germany)를 가성동맥류가 있는 우간동맥에 위치시키고, 풍선카테터(Ultra-thin Diamond,Boston Scientific, Galway, Ireland)를 사용하여 확장시켰다. 시술 직후 시행한 복강동맥조영술에서 동맥류는 관찰되지 않았다(Fig. 2C).
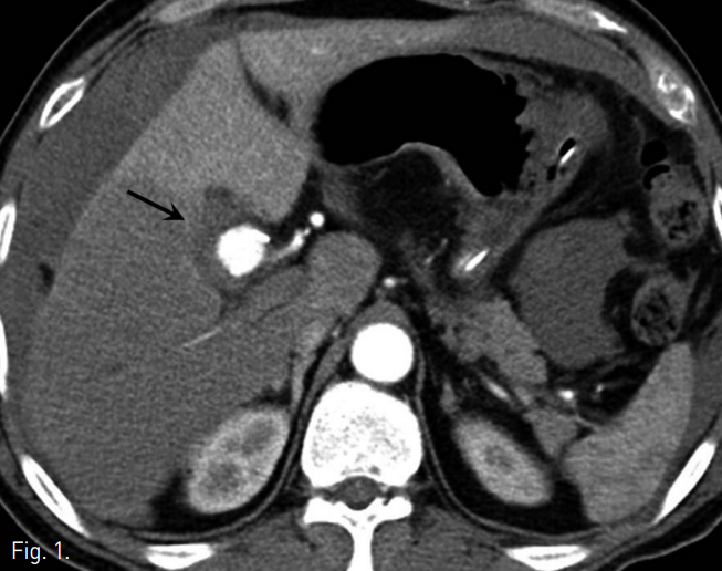
3일 후 촬영한 복부 CT에서 가성대동맥류의 재관류가 관찰되어(Fig. 3), 간동맥조 영술을 시행하였으나 가성동맥류는 관찰되지 않았고(Fig. 4A), Cone-beam CT angiogram (DynaCT, Simmens Medical solution, Enlargen, Germany)에서 조영제의 혈관외유출이 관찰되었다(Fig. 4B). 추가의 stent-graft (4.0X19mm, JoStent GraftMaster®, JoMed, Germany)를 이전 stent-graft 보다 근위부에 overlapping 시켰다(Fig. 4C). 시술 직후 촬영한 DynaCT angiography에서 조영제의 혈관 외 유출은 보이지 않았으며(Fig. 4D), 일주일 후 촬영한 CT에서 가성동맥류는 혈전으로 차있음을 확인하였다(Fig. 5).
Fig. 2
Celiac (A) and hepatic angiogram (B) show the pseudoaneurysm (arrows in A and B) at distal part of the right hepatic artery near the origin of the right posterior hepatic artery. (C) On hepatic angiogram after stent-graft placement (arrow), the pseudoaneurysm is completely excluded.
Fig. 3
Abdominal CT obtained 3 days after the initial procedure shows recanalization of pseudoaneurysm (arrow).
Fig. 4
Celiac angiogram (A) and cone-beam CT angiogram (B) after additional stent-graft placement show successful exclusion of the pseudoaneurysm (arrows).
Fig. 5
CT angiogram obtained one week after second procedure shows complete thrombosis of the pseudoaneurysm (arrow).
고찰
간동맥 가성동맥류는 드물지만 사망률이 아주 높은 질환이다. 76% 환자에서 파열이 일어나며 인터벤션을 요하는 환자 중 사망률은 75% 정도이다. 주로 간동맥에 손상이 가해졌을 때 발생하는데, 외상이나, 복강경 담낭절제술, 간이식 등으로 발생가능하다. 가성동맥류의 흔한 증상은 복강 내 출혈로 인한 저혈압 및 복통이다. 하지만 무증상인 경우도 있으며, 파열 되기 전에는 다양한 증상을 보일 수 있다. 최근 가성동맥류의 치료로 Stent-graft가 적응증이 되고 있다.
참고문헌
1. Venturini M, Angeli E, Salvioni M et al. Hemorrhage From a Right Hepatic Artery Pseudoaneurysm : Endovascular Treatment With a Coronary Stent-Graft. J Endovasc Ther 2002; 9:221-224.
2. Won YD, Ku YM, Kim KT, Kim KH, Kim JI. Successful management of a ruptured hepatic artery pseudoaneurysm with a stent-graft. Emerg Radiol 2009;
16:247-249.
3. Roche-Nagle G, Maceneaney, Harte P. Pseudo-aneurysm of the hepatic artery after laparoscopic cholecystectomy: A case report. J Minim Access Surg
2006; 2:73-75.
Citations
Citations to this article as recorded by
