중심단어
stent-graft, endoleak, aneurysm, aberrant subclavian artery
임상소견
약 1년 6개월 전 right sided aortic arch with aberrant left subclavian artery의 동맥류파열(ruptured aneurysm)로 endovascular repair with stent-graft(EVAR)를 받았던 환자로 증상 없이 시행한 조영증강 CT에서 endoleak이 발견됨.
진단명
Type III endoleak after endovascular repair of the ruptured aneurysm involving the aberrant left subclavian artery.
영상소견
Endovascular repair 시술 후 1년 6개월 뒤 증상없이 추적검사로 시행한 조영증강 흉부 CT에서 aberrant left subclavian artery에 삽입한 stent-graft의 내강에서 aneurysm sac로 나가는 endoleak이 발견됨 (Fig. 1). Aneurysm sac의 크기는 변화 없었음.
Fig. 1
Contrast-enhanced axial CT scan shows the stent graft along the aberrant left subclavian artery. A large aneurysm with mural thrombosis is noted at the anterolateral aspect of the stent-graft, suggesting endoleak.
시술방법 및 재료
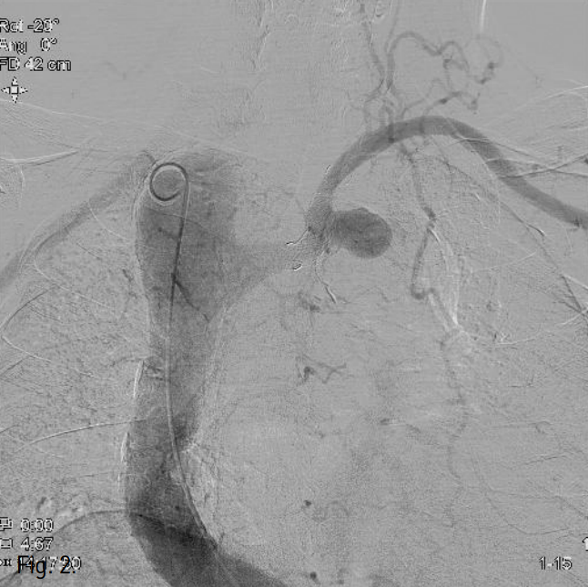
우측 대퇴동맥을 천자하여 8F vascular sheath를 삽입한 후 5F pigtail catheter를 이용한 대동맥조영술에서 하행대동맥에서 기시하는 aberrant left subclavian artery의 분지부 근처에 이전에 삽입한 stent-graft의 중간 부위에서 외측으로 aneurysm sac이 조영됨(Fig. 2A). 0.035-inch 유도철사가 stent-graft를 통과하여 aneurysmal sac내 들어가는 것으로서 stent-graft의 tear 및 type Ⅲ endoleak임을 확인함(Fig. 2B). Stent-graft의 metal component의 fracture는 없었음.
이후 12mm, 6cm 크기의 stent-graft(S&G Biotec, Korea)를 stent-graft내에 endoleak부위를 포함하여 설치한 후 balloon catheter(Foxcross, Abbott, USA)를 이용하여 stent-graft를 확장시킴 (Fig. 2C). 시술 직후 시행한 혈관조영술과 일주일 후에 시행한 CT angiogram에서 더 이상 type II endoleak은 보이지 않았음(Fig. 2D & 3).
Fig. 2
A. Thoracic aortography shows an aneurysmal sac arising at the mid-portion of the aberrant left subclavian artery stent-graft.
B. A 0.035-inch guidewire was advanced into the aneurysm sac, through the stent graft, suggesting type III endoleak.
C. After 12mm, 6cm stent-graft was deployed, the balloon dilatation was done using a balloon catheter.
D. Follow-up subclavian arteriography shows no residual endoleak.
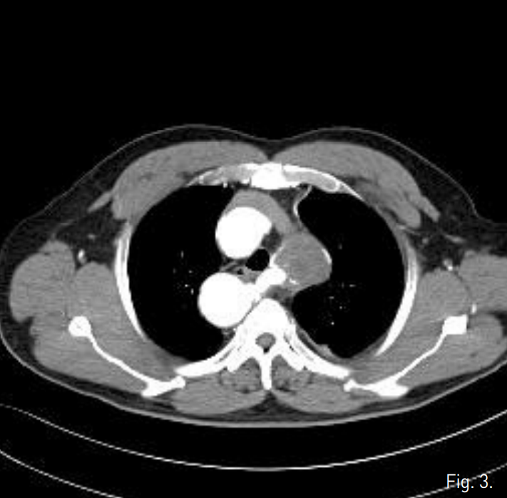
Fig. 3
Follow-up CT after 1 week showed complete regression of the endoleak from the aneurysmal sac involving the aberrant left subclavian artery.
고찰
국내에서도 동맥류 환자가 증가하는 추세이지만 환자의 대다수는 고령이며, 심혈관 기능 또한 좋지 않기 때문에 수술적 치료보다는 stent-graft 등을 이용한 인터벤션 치료가 많이 이루어지고 있다. 그러나 stent-graft 삽입 후 endoleak이 발생 할 수 있으며, 약 10% 정도의 발생률이 보고되고 있다. 이러한 endoleak은 stent-graft를 삽입한 직후부터 관찰되는 경우를 'primary endoleak', 처음에는 없었으나 추적관찰 중 나타나는 경우를 'secondary endoleak'라 한다. 일반적으로 endoleak은 동맥류 내로의 혈류가
stent-graft로 완전히 차단되지 않았음을 나타내며, 일부 endoleak은 자연적으로 폐쇄되기도 하나 일부의 경우에서는 endoleak이 계속 남아 동맥류의 파열로 이어지기도 한다.
Type III endoleak는 type I endoleak와 같이 systemic pressure가 aneurysm sac으로 direct perfusion되어 추후 동맥류의 크기가 커지고 파열로 이어지는 경우도 보고된다. 따라서 EVAR 후 정기적인 추적관찰을 통해 endoleak의 발생 유무를 확인하여, 이의 치료를 결정하는 것이 매우 중요하다.
그 중 type II endoleak는 stent-graft를 구성하는 부분간의 분리(ⅡI-a) 또는 stent-graft의 직물(graft)이 찢어지거나 파열 또는 분리되는 경우(II-b)에 나타나며, endoleak의 정도에 따라 major(<2mm) 또는 minor( >2mm)로 구분된다. Type Ⅱ endoleak는 모든 endoleak 중에 20%정도 차지하며 EVAR후 합병증 중에서 4.8% 정도이다. Type I endoleak가 생기는 기전으로는 inadequate seal이나 stent-graft의 metal component와 fabric 사이의 마찰 때문에 fabric의 파열이 생기는 것으로 알려져 있다. 특히, aneurysm과 stent-graft 삽입 부위가 구부러진 경우 stent component의 마찰이 잘 생긴다. 이러한 fabric defect는 type I endoleak의 드문 원인이나 심각한 합병증이 생길 수 있으므로 즉시 치료하여야 한다.
본 증례는 Right sided aortic arch with aberrant subclavian arteryºl aneurysmºl endovascular treatment 후 생긴 delayed type Ⅱ endoleak 였다. Delayed type III endoleak는 first generation device에서 볼 수 있는 합병증이다. Type II endoleak는 수술적 방법 혹은 새로운 stent를 파열부위에 재삽입하여 치료할 수 있다. 본 증례에서는 처음에 10mm, 5cm stent-graft를 사용하였고 endoleak를 치료하기 위해서는 12mm, 6cm stent-graft를 사용하였다. 향후에 endoleak의 재발 가능성이 있으므로 지속적인 추적검사가 필요하다.
참고문헌
1. Robert J, Ryszard S, Anna Z, Waclaw M. Diagnosis of Type IlI endoleak and endovascular treatment with aortouniiliac stent-graft. J Vasc Interv Radiology 2009;20:125-129.
2. W. Anthony L, Thomas SH, James MS. Late type III endoleak from graft erosion of an excluder stent graft: A case report. J Vasc Surg 2006; 44: 183-185.
3. Conrad L, Asbjom I, Jan L Staal H, Has OM. Type III endoleak from a thoracic aortic stent-graft. J Endovas Ther 2002; 9:535-538.
Citations
Citations to this article as recorded by
