중심단어
Portal vein, stent
aspiration thrombectomy
thrombolysis, graft occlusion
pancreatic cancer
임상소견
문맥(portal vein)과 위장간막 정맥(superior mesenteric vein)을 침범한 췌장암에 대한 수술(PPPD, Pyrolus Preserving Pancreatico-Duodenectomy)시 합성혈관(Synthetic Graft)을 이용하여 연결하였고, 이후 환자 구토 증상을 보이며 간 기능 검사상 혈청 빌리루빈 수치가 높아져 수술 7일째 촬영한 CT 상에서 상기 문맥합성혈관 혈전과 빈창자(jejunum)에 정맥성울혈(venous congestion)이 발견됨.
진단명
Thrombotic graft occlusion at the portal vein
영상소견
수술 후 7일째 시행한 복부 CT 문맥기에서 합성혈관(synthetic graft)이 혈전으로 막혀 있고(Fig. 1) 빈창자(jejunum)의 점막을 따라 조영 증강되는 정맥성 울혈이 보인다. 하지만 간 내 문맥의 혈류는 유지되고 있다.
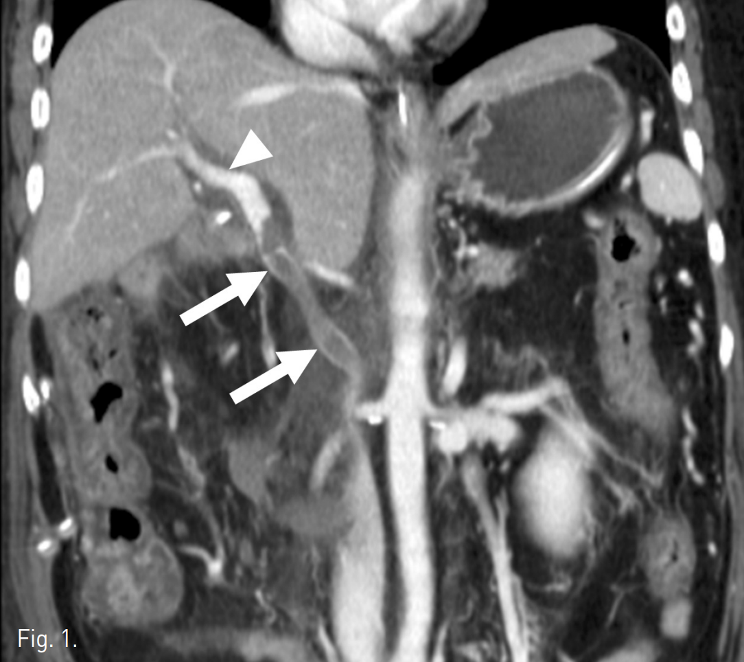
Fig. 1
Coronal reconstruction image of CT scan shows thrombotic occlusion of synthetic graft por tal vein (arrows). But, the intrahepatic portal vein is patent (arrowhead).
시술방법 및 재료
초음파 유도 하에서 우측 문맥을 20G Chiba needle을 이용해 직접 천자한 후 문맥 조영 영상에서 문맥부 합성혈관의 혈전성 폐색을 확인하였다(Fig. 2A). 5F Davis catheter (Cook, Bloomington, IN, USA)와 urokinase (200K unit)를 이용한 혈전용해술, 7F Sheath catheter (Cook, Bloomington, IN,USA)를 이용한 흡입 혈전제거술과 stent를 이용한 치료를 계획하였다. 혈전용해술 및 흡입 혈전제거술을 시행한 후 문맥의 혈류가 회복되었으나 이 과정에서 간 내 문맥(intrahepatic portal vein)에 혈전성 색전에 의한 것으로 보이는 간 내 문맥의 충만결손이 발생하였고(Fig. 2B), 이에 대해 다시 흡입혈전제거술을 시행하여 문맥의 흐름을 원활히 하였다. 이후 자가팽창형 스텐트(10mm x 80mm)(S&G biotech, Seoul, Korea)를 합성혈관의 근위부 및 원위부 접합부를 모두 포함하도록 설치하였다(Fig. 2C), 스텐트를 위치시킨 후 시행한 문맥조영술에서 간 내 문맥의 충만결손이 사라지고 스텐트 삽입 부위의 문맥의 혈류가 원활하며 출혈 등의 시술 후 부작용이 없음을 확인하고 시술을 종료하였다 (Fig. 2D).
Fig. 2
A. Transhepatic approach (arrowhead) was used after puncturing a branch of patent right portal vein under US guidance Thrombotic occlusion of the synthetic graft portal vein was noted (arrows).
B. Portal venogram after thrombolysis and aspiration thrombectomy shows a stenosis at the graft anastomosis (arrow). A filling defect suggesting embolic thrombus (arrowhead) is noted at the intrahepatic portal vein.
C. Self expandable stent (10mm x 80cm) was deployed to cover the proximal and distal anastomotic stenosis. Before the stent deployment, aspiration thrombectomy was done for an embolic thrombus in the in trahepatic por tal vein.
D. Post stenting portogram shows patent portal vein and superior mesenteric vein without intrahepatic embolism.
고찰
췌장의 팽대부주위 암종에 대한 췌장창자절제술(PPPD)후 문맥혈전이 생기는 빈도는 2% 내외로 보고 되고 있으나, 수술 후 방사선치료를 시행하거나 본 증례에서와 같이 합성혈관을 이용한 문맥재건술이 이뤄질 경우에 그 빈도는 13%~20%로 보고된 바 있다(1,2). 일반적으로 수술 후 합성혈관에 혈전이 발생할 경우 별다른 증상이나 이상소견이 나타나지 않으면 추적관찰을 하게 된다. 그러나 본 증례에서처럼 혈청 빌리루빈이나 간 효소수치가 상승하거나 CT 상에서 창자의 허혈이 의심될 때에는 허혈이나 경색으로 인한 창자절제를 피하기 위해 혈전용해술과 흡입혈전제거술을 시행할 수 있으며(3,4) 시술 시행 후 협착의 소견이 있거나 재발할 경우에 stent를 삽입한다(5,6). 보통 정맥에 stent-graft를 삽입하면 혈전의 재발로 인해 추가적인 시술을 요하는 경우가 많지만 문맥의 stent-graft는 1년의 추적관찰 후 75%~100%에서 개방성이 유지되었다는 보고가 있다(6,7). 문맥이나 위장간막동맥을 침범한 팽대부주위 암종으로 수술을 시행한 환자의 5년 사망률이 80%에 이르며, 이는 대부분 암종의 재발이나 전이에 의한 것이라는 사실에 비추어 문맥 내에 stent는 그 효용성이 큰 것으로 보인다. 본 증례에서는 6개월 후 추적관찰을 위한 CT를 시행하였으며, 문맥 내 stent의 개방성이 유지되고 있고 이와 관련한 다른 문제점은 발견되지 않았다(Fig. 3).
Fig. 3
Six months follow up CT scan shows the patency of the stent, portal and superior mesen teric veins (arrows). But, the size of residual pancreatic tumor wasincreased.
References
1. Hoffer EK, Krohmer S, Gemery J, Zaki B, Pipas JM. Endovascular recanalization of symptomatic portomesenteric venous obstruction after pancreaticoduodenectomy and radiation. J Vasc Interv Radiol 2009; 20(12):1633-1637.
2. Smoot RL, Christein JD, Farnell MB. Durability of portal venous reconstruction following resection during pancreaticoduodenectomy. J Gastrointest Surg 2006;10:1371-1375.
3. Hollingshead M, Burke CT, Mauro MA, et al. Transcatheter thrombolytic therapy for acute mesenteric and portal vein thrombosis. J Vasc Interv Radiol 2005; 16(5):651-661.
4. Parikh S, Shah R, Kapoor P. Portal vein thrombosis. Am J Med 2010; 123(2):111-119.
5. Schellhammer F, am Esch JS, Hammerschlag S, Knoefel WT, Fürst G. Surgical access to jejunal veins for local thrombolysis and stent placement in portal vein thrombosis. Cardiovasc Intervent Radiol 2008;31(Supp 2):S185-187.
6. Funaki B, Rosenblum JD, Leef JA, et al. Percutaneous treatment of portal venous stenosis in children and adolescents with segmental hepatic transplant: long-term results. Radology 2000; 215:147-151.
7. Stein M, Link DP. Symptomatic spleno-mesenteric-portal venous throm bosis: recanalization and reconstruction with endovascular stents. J Vasc Iterv Radiol 1999; 10:363-371.
Citations
Citations to this article as recorded by
