중심단어
Hepatocellular carcinoma, hematoma, transcatheter arterial chemoembolization
임상소견
환자는 heavy alcoholics인 분으로 외부병원에서 건강 검진상 시행한 복부 초음파와 복부 전산화 단층촬영에서의 이상소견으로 본원으로 전원 됨. 외래에서 시행한 복부 전산화 단층촬영상 간 우엽에 혈종과 내부에 가성동맥류 소견 보여 추가적인 검사와 치료 위해 입원예정 이었으나 입원 예정일 전날 갑자기 발생한 우상복부 통증으로 응급실로 내원함. 내원 당시 혈압은 100/60mmHg였고 기타 생체징후는 특이소견 없었음.
진단명
Hepatocellular carcinoma with pseudoaneurysm
영상소견
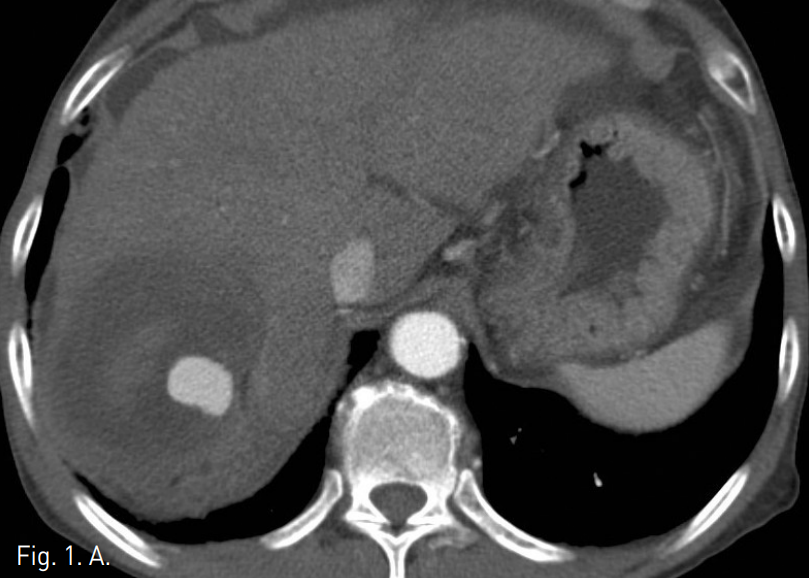
외래에서 시행한 복부 CT에서 간 우엽에 간동맥과 연결성을 보이는 2.5cm 크기의 가성 동맥류가 관찰되며 주위에 9cm 크기의 혈종이 있음. 간경변증을 보이고 있으나 간내에 간세포암종을 시사할만한 비정상적으로 조영증강되는 종괴의 소견은 관찰되지 않음(Fig. 1). 복부 MR에서 혈종의 뒤 안쪽으로 3.5cm 크기의 간세포암종으로 생각되는 병변이 관찰됨(Fig. 2).
Fig. 1
A, B. Axial (A) and coronal (B) CTimages of arterial phasereveal high density pseudoaneurysm and surrounded low density hematoma in the right lobe of the liver.
Fig. 2
Axial T2-weigh ted MR image shows high density hematoma and adjacent hepatoma (arrow).
시술방법 및 재료
초음파 유도 하에 우측 대퇴동맥을 천자하여 5F vascular sheath를 삽입함. 5F RH catheter (Cook, Bloomington, USA)로 복강동맥을 선택한 후 시행한 동맥조영술에서 우간동맥 S7을 담당하는 분지동맥에서 기원하는 4cm 크기의 가성 동맥류가 관찰되었다(Fig. 3A). 먼저 RH catheter 내부에 2.2F microcatheter (Progreat, Terumo, Tokyo, Japan)를 삽입하여 가성 동맥류가 기원하는 혈관을 초선택하여 4개의 미세코일 (3mm x 2cm, Tornado embolization microcoil: Cook, Bloomington, IN, USA)을 이용해 색전하였다. 색전 후 시행한 동맥조영술에서 가성동맥류는 더 이상 조영되지 않았다. Coil 색전술 후 동맥조영술에서 인접하여 같은 분지동맥의 좀 더 근위부 동맥에 의해 공급받는 4.2cm 크기의 간세포암종으로 생각되는 비정상적인 과혈관성 병변이 좀 더 뚜렷하게 관찰되었다(Fig. 3B). 이후 과혈관성 병변을 공급하는 우간동맥의 분지동맥을 미세카테터로 초선택하여 항암제(Adriamycin 50mg)와 색전물질(Lipiodol 10cc)의 혼합물을 이용하여 화학색전술을 시행하였다. 화학색전 후 시행한 동맥조영술에서 종양이 조영되지 않고 내부가 lipiodol로 침착된 것 확인 후 시술을 종료하였다(Fig. 3C).
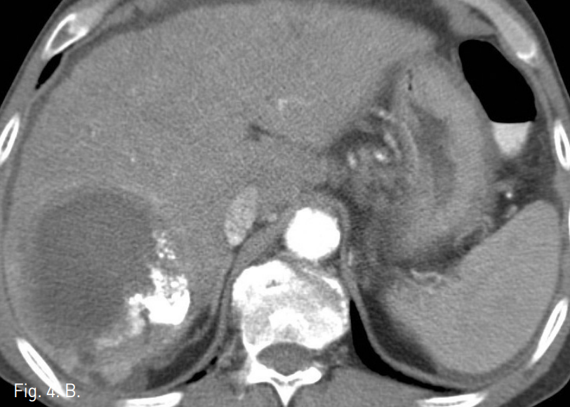
시술 2개월 후 시행한 조영증강 복부CT에서 우 간동맥에 의한 간내 가성동맥류는 보이지 않았고, 혈종은 약간 작아진 상태로 여전히 남아있었다(Fig. 4A). 간내종양은 lipiodol이 침착된 상태로 재발의 소견은 없었다(Fig. 4B).
시술 후 21개월째 시행한 조영증강 복부CT에서 가성동맥류의 폐색은 잘 유지되고 있으며 간내종양의 재발소견은 없었다.
Fig. 3
A. Celiac arteriogram shows pseudoaneurysm with jet flow (arrow) from right posterior superior hepatic artery.
B. Right posterior hepatic arteriogram after coil embolization shows no extravasation with pseudoaneurysm. Hepatoma is supplied by just proximal arterial branches (arrow).
C. Fluoroscopic image after coil and chemoembolization shows dense lipiodol uptake in the right postero-superior lobe of the liver.
Fig. 4
A, B. Two months after coil and chemoembolization, contrast-enhanced CT images show still remained hematoma and lipiodol Haden lesion without pseudoaneurysm.
고찰
특별한 외상이나 약물 복용력 없이 자발적으로 발생한 간 내 혈종은 매우 드물며 대부분 기저 간질환이 있는 경우에 발생한다. 간세포암종과 간세포선종, 국소결절 과형성, 혈관종, 전이암종 등에서 발생할 수 있고, 그 외 HELLP 증후군, 아밀로이드 질환, 간자색반병, 결절 다발 동맥염, 루푸스에 의해서도 드물게 발생할 수 있다. 이중 가장 흔한 것이 간세포암종과 간세포선종이다.
간세포암종은 우리나라에서 위암, 폐암, 대장암에 이어 암 등록순위 4위인 암으로 간세포암종의 자연파열은 지역에 따라 차이를 보이는데 서구에서는 1-2% 정도로 매우 드물지만 우리나라를 포함한 아시아 및 아프리카에서는 발생율이 5-15%에 달한다.
간세포암종의 자연 파열의 기전에 대해서는 논란이 있는데 측부 혈관의 파열, 경미한 외상 또는 반복적인 호흡운동으로 인한 간표면에 위치한 종양의 열상, 종양의 침범으로 인해 간정맥이 막히면서 종양 내 압력이 높아지면서 파열되는 것으로 생각되고 있다.
간세포암종의 자연 파열의 가능성과 관련 있는 특징적인 인자가 있는데, 지금까지 알려진 바에 의하면 간세포암종의 위치가 가장 중요하다. 간세포암종이 주변부에 위치할수록, 복강 내에 돌출되어 있을수록, 간세포암종을 둘러싸는 정상 간조직이 적을수록 자연파열의 가능성이 증가한다. 종양의 크기도 관련된 인자로 알려져 있으며, 크기가 클수록 쉽게 파열되는 것으로 보고되고 있다.
파열된 간세포암종의 치료로는 몇 가지가 있는데 혈역학적으로 안정된 환자에서는 보존적인 치료를 시행할 수 있으나 지속적인 출혈이나 재출혈로 인해 높은 사망률을 가지며 수술적인 방법 또한 높은 사망률을 가진다. 최근에는 간세포암종의 파열 환자에서 간동맥 색전술을 견뎌내지 못할 정도의 혈역학적인 불안정성과 간부전 상태가 아니라면 카테터를 통한 간동맥 색전술이 선호되는 치료방법이다.
일반적인 간 세포암종의 파열은 간 세포암 내부에서 발생하여 간세포암을 공급하는 혈관을 선택하여 화학색전술을 시행하면 간세포암종의 치료와 동시에 출혈까지 조절할 수 있다. 그러나 이번 증례에서는 종양 침범에 의한 종양 근처의 혈관이 파열되면서 간 내 가성동맥류를 생성한 것으로 가성동맥류가 기원하는 종양 근처의 혈관을 선택하여 코일 색전술을 시행하고 이후 간 종양을 공급하는 혈관을 선택하여 간 세포암종에 대해 화학 색전술을 시행하였다.
References
1. Won SY, Nan HK, Min HK, et al. A case of hepatocellular carcinoma presented as a huge intrahepatic hematoma. Korean J Gastroenterol 2008;51:385-390.
2. Casillas VJ, Amendola MA, Gascue A, FInnar N, Levi JU, Perez JM. Imaging of nontraumatic hemorrhagic hepatic lesion. Radiographics 2000 20367-378.
3. Kung CT, Liu BM, Ng SH, et al. Transcatheter arterial embolization in the emergency department for hemodynamic instability due to ruptured hepatocellular carcinoma: Analysis of 167 cases. AJR 2008; 191:W231-W239.
4. Eijun S Ichiro S, Kazuaki N, et al. Visceral and peripheral arterial pseudoaneurysms. AJR 2005;185:741-749.
Citations
Citations to this article as recorded by
