중심단어
Intravenous leiomyomatosis
임상소견
2년 전 8cm크기의 장막하 자궁근종에 대해서 근종절제술을 시행 받은 과거력 있는 환자임.
불임으로 타 병원에서 외래 추적 관찰 중 시행한 초음파에서 왼쪽 골반 벽에 약 8x6cm크기의 장막하 근종을 진단받고 자궁 동맥 색전술 위해 의뢰되었음.
영상소견
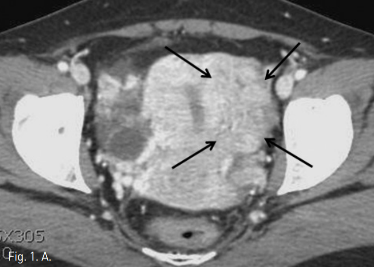
골반 CT 에서 좌측 자궁벽에 8x6cm 크기의 구불구불한 wormlike structure 가 있으며, 이는 자궁근층과 비슷한 정도로 조영증강되고 혈관 모양으로 종괴가 보인다(Fig 1 A, B). MR에서 이 병변은 T2 weighted image 에서는 낮은 신호 강도를 보였고(Fig 2 A, B), 조영 증강 T1 강조 영상 에서는 조영증강되며 혈관을 따라 자라 들어가고 있는 형태를 보였다(Fig 2C).
Fig. 1
A, B. Axial CT scan shows 8 x 6 cm sized, convoluted worm-like mass (arrows in A) on the left side of the uterine wall along the uterine vein (arrow in B).
Fig. 2
A, B, C. T2 weighted sagittal MR images and Gadolinium enhanced T1 weighted image demonstrate the mass is growing along the internal iliac vein superiorly (arrows in A, B and C).
시술방법 및 재료
초음파 유도하에 우측대퇴정맥을 천자하여 5Fr sheath (Terumo, Tokyo, Japan)를 삽입하였다. Cobral 카테터(Cook, Bloonington, IN, USA)를 좌측 내골정맥에 위치시킨 뒤 골반조영술을 시행한 결과, 혈관 내 타원형의 충만 결손이 보였다(Fig 3).
환자는 개복하여 종괴를 제거하였고 5x6 cm 의 골반 종괴는 자궁과 유착되어 있었고, 골반정맥 을 따라 주행하고 있었다. 병리학적 검사에서 종괴는 혈관내피세포로 덮여 있었고, worm-like projection 을 보였으며, 종괴 내부에서 양성 평활근 (benign smooth muscle)의 증식이 관찰되어 정맥내 평활근종증으로 확진되었다.
Fig. 3
Venogrm reveals multiple filling defects (arrows) in internal iliac vein, which is consistent with intravenous leiomyomatosis.
고찰
정맥내 평활근종증은 조직학적으로 양성인 혈관의 평활근 증식이 주로 자궁에 국한되어 나타나며 광범위하게 정맥 내로 전이 될 수 있는 드문 종양이다. 정맥 내로 전이 될 경우 주로 자궁 정맥이나 난소 정맥 등 따라 진행하여 경우에 따라 하대 정맥, 우측 심장, 폐 침범을 일으켜, 임상적으로는 악성 종양의 특징을 보이기도 한다(1). 이 질환은 1896년 Birch-Hirshfeld 에 의해 처음 기술되었고, 1907년 Durak 등이 처음으로 심장까지 확장된 정맥내 평활근종증을 보고한 바 있다(2).
이 종양의 발생 기전은 아직 정확히 밝혀지지는 않았으나 두 가지 가설이 있다. 첫번째는 Knauer 가 제안한 가설로 혈관벽에서 종양이 직접 발생하여 증식한다는 가설과(3) 두번째는 Sitzenfry 가 제안한 가설로 원발 종양인 자궁의 평활 근종이 인접한 정맥내로 침범하여 증식한다는 가설이다(4).
임상 증상은 종양이 골반강 내 국한되어 발생한 경우에는 골반 압통이나 부정 자궁 출혈 등의 증상이 나타나고, 하대 정맥을 따라 심장, 폐 침범이 동반된 경우라고 해도 심부전, 폐색전증, 심지어 급사할 때까지 증상이 없는 경우도 있다(5). 드문 질환이고, 특징적인 임상증상이 없으므로 부적절하게 치료되는 경우가 흔하다. 또한 정맥내 평활근종증이 자궁내에만 국한된 경우 전형적인 자궁평활근종의 영상학적 소견과 비슷하여 자궁근종으로 수술한 후에 병리학적 진단으로 확진 되기도 한다(1).
여러 다양한 영상 진단법이 종양의 감별 진단과 침범부위를 확인하는데 도움이 된다. 심초음파, 흉부와 복부 CT나 필요한 경우 MRI, 정맥조영술(venography), CT venography, MR venography등을 시행할 수 있다(5).
감별 질환으로는 전이성 복막성 평활근종증(leiomyomatosis peritonealis disseminate), 자궁육종(leiomyosa rcoma), 양성 전이성 자궁 근종증(benign metastasizing leio myomatosis), 자궁 평활근종(uterine leiomyoma)등이 있다. 전이성 복막성 평활근종증은 복막에 종양이 작은 결절을 형성하는 점으로 감별할 수 있고 자궁 육종은 혈관벽을 침범하나 정맥내 평활근종증과 달리 혈관내 성장은 보이지 않으면서 현미경 소견에서 세포의 비정형적 변화로 구별할 수 있고 양성 전이성 자궁근종증은 신체 내 다양한 장기에서 자궁근종이 발생할 수 있으나 정맥내 평활근종증처럼 혈관내 결절은 형성하지 않는 점이 다르고 자궁 평활근종은 종양이 혈관을 침범하지 않으므로 정맥내 평활근종증과 감별할 수 있다(6).
정맥 내 평활근종증의 치료는 종양을 외과적으로 완전히 절제하는 것이 가장 중요하며, 불완전하게 제거할 경우 재발하여 추가적인 수술이 필요하게 되거나, 심장이나 폐까지 침범할 경우 사망에 이를 수도 있다.
이 종양은 호르몬 수용체 양성이라는 특징이 있어, 항 에스트로겐 과 같은 호르몬 치료를 시행할 수 있다. 수술 전에 호르몬 치료로 종양의 크기를 줄이는 시도를 할 수 있으며, 종양이 혈관벽에 심하게 유착되어 있어 수술적으로 완전히 종양을 제거하지 못한 경우나, 폐 등에 전이가 있어 수술을 시행할 수 없는 경우 호르몬 치료를 시행할 수 있는데, 그 효과는 아직 논란이 많다(7,8). 장기적인 예후는 비교적으로 좋은 것으로 알려져 있으나, 잔류 종양은 혈관 내 성장 가능성이 있어 재발 할 수 있다. Clement 등은 정맥내 평활근종증 54예를 분석하여 재발률 30%, 재발 기간 7개월에서 15년까지로 보고하였고(9), Evans 등은 남아있는 난소에서 분비되는 여성 호르몬이 일부 정맥 내에 잔류 종양의 성장을 촉진하여 재발 과정에 중요한 역할을 한다고 주장하고, 따라서 종양 제거를 시행할 때 전자궁 적출술과 함께 반드시 양측 부속기 절제술을 시행해야 한다고 주장하였다(10). 따라서 정맥내 평활근종증은 재발하거나 전이 할 수 있는 가능성이 있으므로 수술적 치료가 끝난 후에도 장기적으로 주의깊게 정기적인 추적관찰을 시행하여야 한다(5).
References
1. Daniel T.Cohen, Esther Oliva, Peter F. Hahn. Uterine Smooth-muscle tumors within unusual growth patterns: Imaging with Pathologic Correlation AJR 2007; 188:246-255.
2. E. Diakomanolis. A.Elsheikh. M.Sotiropoulou. Intravenous liomyomatosis. Arch Gynecol Obstet 2003; 267:256-257.
3. Knauer E . Beitrag zur Anatomie der Uterusmyome. Beür Geburtshilfe Gynaekol 1903; 1:695.
4. Sitzenfry A . über Venenmyome des Uterus mit intravaskulärem Wachstum. Z Geburtshilfe Gynaekol 1911; 68:1-25.
5. Nam MS, Jeon MJ, Kim YT, Kim JW, Park KH, Hyun YS. Pelvic leiomyomatosis with intracaval and intracardiac extension: a case report and review of the literature. Gynecol Oncol 2003; 89: 175-180.
6. Najla Fash, Alampady K. Prasad Shanbhogue et al. Leiomyomas beyond the Uterus: Unusual Locations, Rare Manifestations. RadioGraphics 2008; 28:1931-1948.
7. Mitsuhashi A, Nagai Y, Sugita M, Nakajima N, Sekiya S. GnRH agonist for intravenous leiomyomatosis with cardiac extension. J Reprod Med 1999; 44: 883-886.
8. Hameleers JA ,Zeebregts CJ, Hamerlinck RP, Elbers JR, Hameeteman TM. Combined surgical and medical approach to intravenous leiomyomatosis with cardiac extension. Acta Chir Belg 1999; 99:92-94.
9. Clement PB. Intravenous leiomyomatosis of the uterus. Pathol Annu. 1988; 23: 153-183.
10. Evans AT, Symmonds RE, Gaffey TA Recurrent pelvic intravenous leiomyomatosis. Obstet Gynecol 1981; 57:260-264.
Citations
Citations to this article as recorded by
