중심단어
superior mesenteric artery, dissection, computed tomography
임상소견
특이 과거력 없던 62세 남자 환자가 식사 직후부터 급성 복통을 호소 하였고 세 차례 구토 후 응급실을 내원하였다. 복부는 다소 팽만 되어 있었고 명치 부위에 압통이 관찰되었다. 백혈구 수는 12200/uL, 중성구는 90%, 혈당은 141mg/dL 였고 그 밖의 혈액 검사 소견은 정상 범위에 있었다.
영상소견
복부 CT에서 상장간막동맥(superior mesenteric artery, SMA)의 박리가 있었으며 중간결장동맥(middle colic artery)의 기시부가 경도로 좁아져 있고 가성 내강과 진성 내강의 혈류가 관찰되었다(Fig. 1). 같은 날 시행한 혈관조영술에서 상장간막동맥 기시부부터 회결장동맥(ileocolic artery) 분지부까지 침범한 동맥박리를 확인 하였다(Fig 2). 이 밖에 복강동맥과 하장간막동맥에는 특이 소견은 발견 되지 않았으나 변연 동맥 여러 곳이 동맥경화에 의한 좁아져 있었다. 소장과 대장의 동맥혈류가 유지되고 있어 스텐트삽입술은 시행하지 않았으며, 수축기 혈압 110mmHg, 심장박동 수 50~60회로 유지하며 보존적 약물치료를 하였다. 환자의 복통은 진정되었으며 7일 후 퇴원하였다. 5개월 후 추적검사로 시행한 복부 CT에서 상장간막동맥의 박리피판이 여전히 관찰되며 진성 내강과 가성 내강의 개통성을 확인할 수 있었고 기타 변연 동맥의 폐색은 없는 것이 확인되었다. 하지만 1년 추적 복부 CT에서는 가성 내강을 따라 혈전이 형성되었고(Fig. 3) 원위부로 혈관 폐색의 소견은 보이지 않았으며 장관의 허혈이나 경색 소견 또한 관찰되지 않았다. 2년 추적 CT에서 상장간막동맥은 정상화되었으며 박리나 동맥류 소견은 관찰되지 않았다.
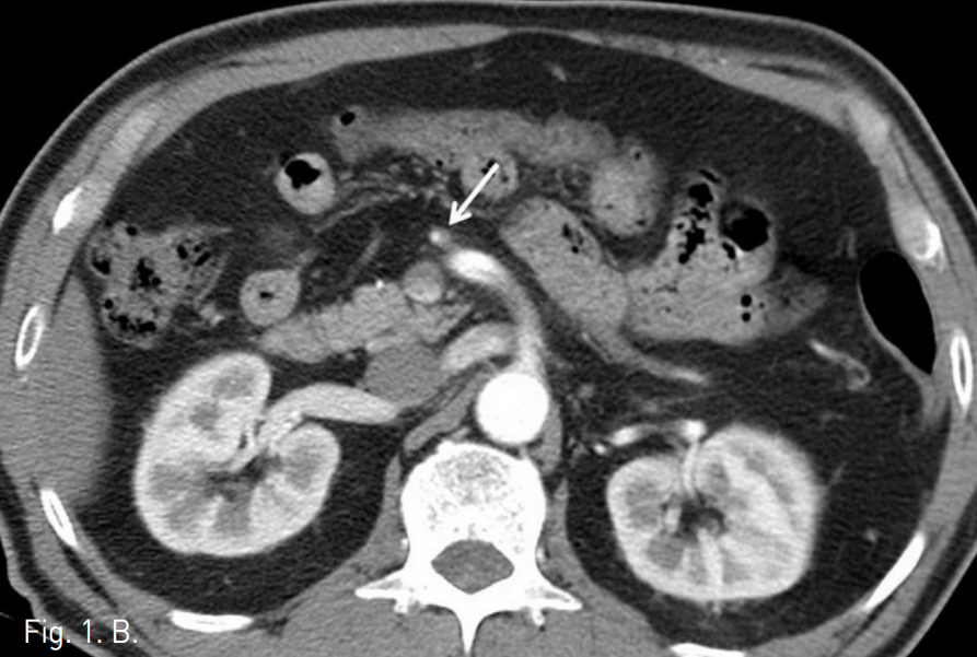
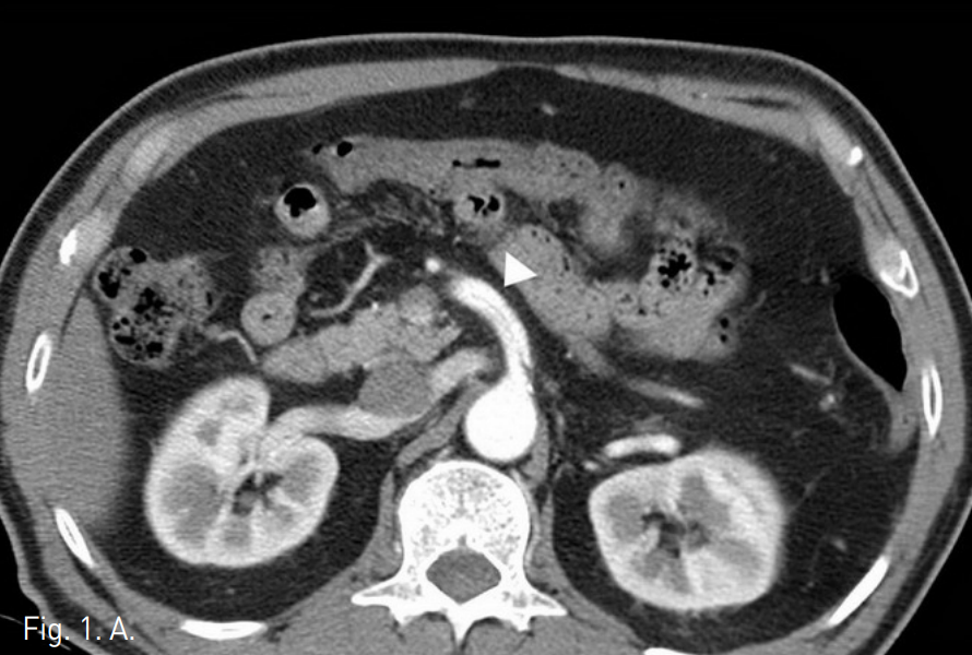
Fig. 1
A, B. (A) The first abdominal CT angiogram taken in ER. The axial image shows dissection in the proximal part of SMA (arrowhed). Both true and false lumens were patent. (B Mild narrowing at the orifice of the middle colic artery is seen (arrow).
Fig. 2
Arteriogram of SMA on the ini tial diagnosis shows the dissecting intimal flap involving from SMA orifice to ileocolic bifurcation (arrow).
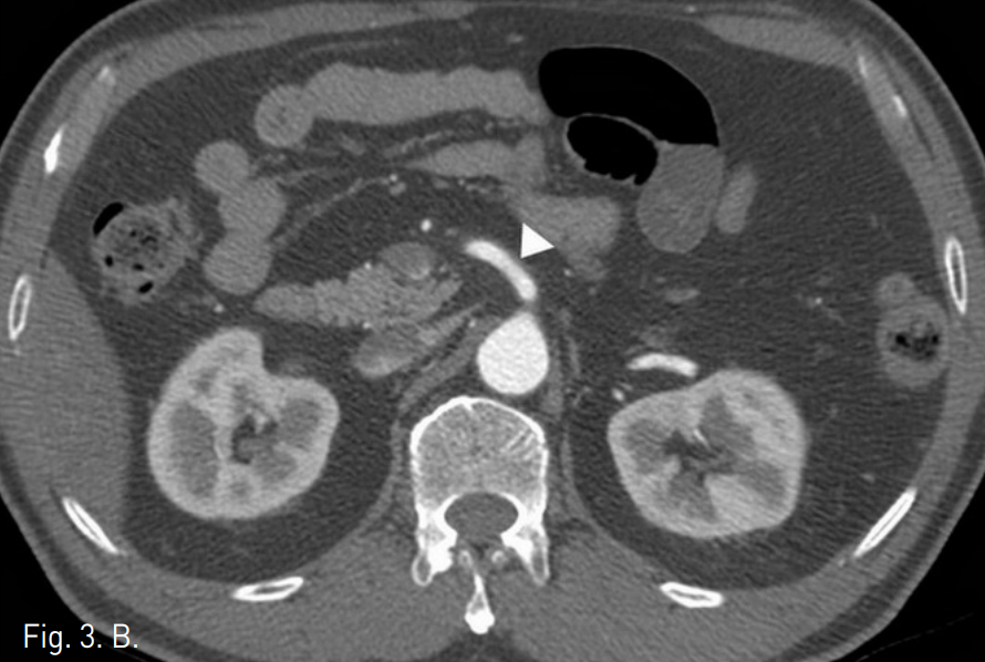
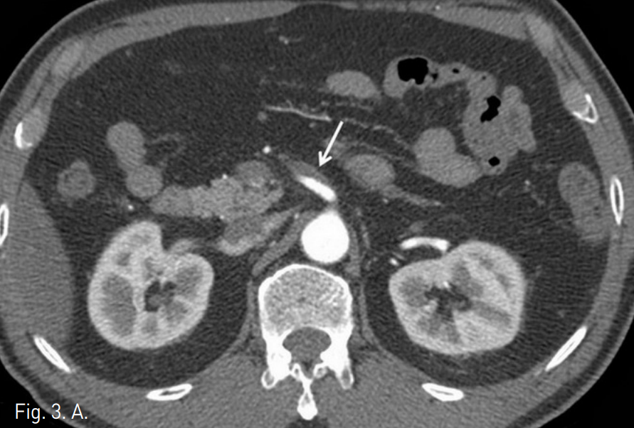
Fig. 3
A, B. (A) The axial image of the one-year follow-up abdominal CT shows thrombosis of the entire false lumen of SMA (arrow). (B) The two-yer follow-up CT shows normal SMA without dissection or aneurysm (arrow head).
고찰
대동맥박리와 동반되지 않은 상장간막동맥의 단독 박리는 드문 질환으로서 현재까지 보고된 사례의 수는 100여 개 정도이다. 이 질환의 병인과 병리생리학, 그리고 적절한 치료 방법은 아직 명확히 밝혀져 있지 않지만 여성보다 남성에서 네 배 정도 많이 발생 하며 CT 촬영 건수가 늘어나면서 진단이 되는 경우 또한 점차 늘어나고 있다(1). 임상 소견은 다양하지만 환자들은 오심이나 구토와 동반된 복통이나 명치 부위의 통증을 호소 할 수 있으며 설사를 하는 경우도 있고 청진상 복부에서 잡음이 들리기도 한다(2). 임상경과는 박리의 정도에 따라 다른데 박리된 부위가 진성 내강으로 역 파열되어 들어 올 수도 있으며 진성 내강과 분리되어 혈전을 형성하기도 하고, 외막층까지 파열되어 복강내 출혈로 이어질 수도 있다.
CTD에서 상장간막동맥의 박리는 특징적으로 가성내강을 만들거나 근층내 혈종을 만들어 피판을 관찰할 수 있고 상장간막동맥 주변으로 지방 감쇠 값이 높아질 수 있다(3). Cho 등의 연구에서는 상장간막동맥박리의 CT 소견을 네 가지로 나누었는데 협착이 없고 개통된 가성 내강을 가지고 있는 경우, 가성 내강이 막힌 상태에서 두 개의 내강을 가지고 있는 경우, 혈전이 가성 내강을 막고 있으나 진성 내강에 협착은 없는 경우, 가성내강의 혈전이 진성 내강의 협착을 일으키고 있는 경우가 그 것이다(4). 이 연구 결과에서는 증상이 없는 환자들 모두에서는 동맥의 협착은 없었고 증상이 있었던 환자들의 대부분은(17 명 중 15 명) 협착이 관찰되었다. 따라서 복통의 발생과 협착의 유무 여부는 상관 관계가 있는 것으로 보고 하였으며 본 증례에서는 상장간막동맥의 박리에 의해 그 기시부 자체에는 문제가 없었지만 중간결장동맥의 기시부에 경도의 협착이 관찰되었고 이것이 환자의 증상을 일으킨 원인일 가능성이 있다.
치료 방법은 앞서 기술한 바와 같이 아직 확립되지 않았으나 최근에 발표된 Cho 등의 연구에 의하면 상장간막동맥 단독 박리를 가진 환자들의 대부분은 보존적 치료만으로 성공적으로 치료할 수 있으며 수술적 또는 중재적 치료는 장간막 허혈이 심하고 초기의 보존적 치료가 실패했을 경우에 시도해 볼 수 있다고 한다(4). 증상이 있는 환자들이나 동맥류성 확장이 관찰되는 환자에 있어서는 혈관조영술과 필요에 따라서 스텐트삽입술을 시행하는 것이 효과적인 치료의 한 방법으로 여겨지고 있다(5-7). 스텐트삽입술이 불가능할 경우에도 혈관조영술로 박리의 정도를 파악하는 것은 이후 수술적 치료를 위해 중요하다. 수술적 치료는 혈전제거술, 동맥류내 봉합술, 패치 혈관성형술, 혈관 결찰, 혈관 절제, 우회술 등이 있다(8). 장관에서 허혈이나 괴사가 동반되었다면 장관 절제술도 필요할 수 있다.
본 증례는 드문 질환 중의 하나인 상장간막동맥 단독박리의 자연경과를 2년간의 CT 추적 검사로 보여주는 보고로서 의의가 있다.
References
1. Okada M, Ishiguchi T, Itoh H. Management of spontaneous dissection of the superior mesenteric artery. Intern Med 2004; 43:451-452.
2. Suzuki S, Furui S, Kohtake H, Sakamoto T, Yamasaki M, Furukawa A Isolated dissection of the superior mesenteric artery: CT findings in six cases. Abdom
Imaging 2004; 29:153-157.
3. Yasuhara H, Shigematsu H, Muto T. Self-limited spontaneous dissection of he main trunk of the superior mesenteric artery. J Vasc Surg 1998; 27:776-779.
4. Cho BS, Lee MS Lee MK, Choi YJ, Kim CN, Kang YJ. Treatment Guidelines for Isolated Dissection of the Superior Mesenteric Artery Based on Follow-up CT
Findings. Eur J Vasc Endovasc Surg 2011 (on line publication)
5. Froment P, Alerci M, Vandoni RE Bogen M, Gertsch P, Galeazzi G. Stenting of a spontaneous dissection of the superior mesenteric artery: a new therapeutic
approach? Cardiovasc Intervent Radiol 2004; 27:529-532
6. Desgranges P, Bourriez PA, d'Audiffret A, Zubilewicz T, Mathieu D, Becquemin JP. Percutaneous stenting of an latrogenic superior mesenteric artery dissection complicating suprarenal aortic aneurysm repair. J Endovasc Ther 2000 7:501-505.
7. Ko GJ, Han KJ, Han SG, Hwang SY, Choi CH, Gham CW. A case of spontaneous dissection of the superior mesenteric artery treated by percutaneous stent
placement. Korean J Gastroenterol 2006; 47:168-172.
8. Amabile P, Ouaissi M, Cohen S, Piquet P. Conservative treatment of spontaneous and isolated dissection of mesenteric arteries. Ann Vasc Surg 2009; 23:738-744.
9. Gobble RM, Brill ER, Rockman CB, Hecht EM, Lampare llo PJ, Jacobowitz GR Endovascular treatment of spontaneous dissections of the superior mesenteric artery. J Vasc Surg 2009; 50:1326-1332.
10. Beletsky V, Nadareishvili Z, Lynch J, Shuaib A Woolfenden A, Norris JW. Cervical arterial dissection:time for a therapeutic trial? Stroke 2003; 34:2856-2860.
Citations
Citations to this article as recorded by
