중심단어
Subclavian artery, thromboembolism, thrombectomy
임상소견
4년전 제2형 당뇨병 진단 후 임의로 치료받지 않는 여자 환자가 내원 1일 전부터 시작된 왼손 저림, 감각 저하, 통증을 주소로 내원하였음.
진단명
Thrombosis in origin of the left subclavian artery with distal embolism in left radial and ulnar arteries.
영상소견
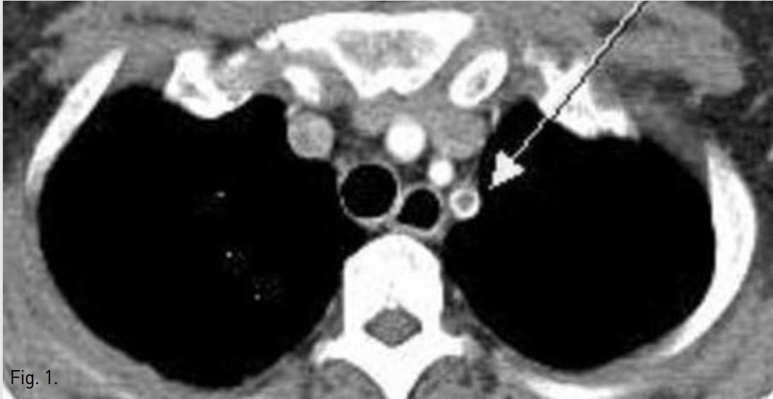
입원 3일 후 시행한 상지 CT 소견 상 left subclavian artery의 기시부에 약 3cm 길이의 thrombus가 보이며, 이 혈전은 aortic arch로 약 0.5cm 이상 튀어나와 있는 형태를 보였음(Fig. 1). 그리고 left radial artery와 left ulnar artery에도 thromboemboli가있음 (Fig. 2).
Fig. 1.
CT scan revealed 3cm sized partial thrombusprotruding into the aortic arch in origin of the left subclavian artery on axial(1, arrow) and sagittal scan (2).
Fig. 2.
CT scan revealed 3cm sized partial thrombusprotruding into the aortic arch in origin of the left subclavian artery on axial(1, arrow) and sagittal scan (2).
시술방법 및 재료
21G micropuncture needle을 사용하여 초음파 유도하에 left brachial artery를 antegrade 천자하였으며 이후 0.018”hairwire와 0.035”guidewire (Terumo, Tokyo, Japan)를 사용하여 CT에서 확인된 occlusion segment인 left radial artery와 left ulnar artery로 guide wire를 위치시킴. 5Fr sheath(Terumo, Tokyo, Japan)를 사용한 혈관조영술에서 thromboembolism을 확인함. 증상호전과 혈전용해술(thrombolysis)을 위해 밤새(12시간) urokinase 1,000,000unit와 heparin 1000 unit를 mix하여 주입하였음 . 다음날 추적 혈관조영술에서 thromboembolism은 urokinase에 반응이 있었으나 urokinase 주입이 끝난 후 추적검사 때까지 tingling sensation이 재발되어 다시 urokinase 800,000 unit를 8시간 동안 주입하였음. 그 후 다시 시행한 혈관조영술에서 thromboembolism이 left ulnar및 radial artery에 남아 있어 direct aspirationthrombectomy를 계획하였음. 5Fr kumpe catheter(Angiodynamic, NY, USA)와 0.035”guidewire(Terumo, Tokyo, Japan)를 사용하여 left ulnar artery 와 left radial artery를 각각 선택하여 20cc syringe로 흡입하여 시행하였음. 시행 중 발생한 arterial spasm에 대하여 nitroglycerin 500microgram을 사용하였으며 thrombectomy 후 환자의 왼쪽 손의 온도가 우측과 비슷하게 측정되었으며 tingling sensation이 많이 호전되었음. Direct aspirated thrombectomy 후 촬영한 상지 CT 소견상 시술 전에 보이지 않던 left ulnar artery가 dominant 하게 보이며 left radial artery도 개통되었음을 알 수 있음(Fig. 3). 그리고 좌측 상지의 혈전색전증의 원인이 된 좌측 쇄골하동맥에서 보이던 3cm 크기의 혈전은 그 크기가 약 0.5cm 이하로 줄어듬(Fig. 4). 현재 환자는 anticoagulation treatment를 시행받고 있음.
Fig. 3.
On MIP image, the left ulnar artery is not opacified.
Fig. 4
Recanalization of the left ulnar artery is evident on postproceduralfollow up CT (3). The thrombus in the left subclavian artery markedly decreased (4, arrow).
Fig. 5.
Recanalization of the left ulnar artery is evident on postproceduralfollow up CT (3). The thrombus in the left subclavian artery markedly decreased (4, arrow).
고찰
상지에 생기는 thromboembolism은 하지에 비하여 드문 것으로 알려져 있으며 일부에서는 약 4-5배 정도로 낮게 보고하고 있다. 발생빈도가 낮은 질환이기에 다른 질환과 감별진단이 어려우며 본 증례도 carpal tunnel syndrome으로 초기 진단하여 치료와 상지 CT 촬영이 늦어진 경우이다.
급성 혈전색전증의 증상은 통증을 동반한 피부 창백, 맥박저하 및 소실, 감각이상, 마비 등이 있다.본 증례에서는 위험인자인 당뇨병이 있는 환자에서 발생한 혈전색전증으로 left subclavian artery의 기시부에 발생한 thrombus를 직접 치료하기에는 두경부 및 하지 혈관으로의 원위부색전의 위험성이 커서 femoral approach하지 않고 left brachial artery를 통한 left ulnar와 radial arteries의 치료를 계획하였다
좌측 쇄골하동맥의 혈전은 좌측 상지 말단 혈관의 치료를 위한 혈전용해술중 urokinase의 전신순환에 의해 용해된 것으로 생각된다.
Vascular access route 자체에 발생하는 complication을 줄이고 direct thrombectomy하는 동안의 혈관손상을 최소로 하기 위해 5Fr sheath 와 5Fr catheter만을 사용하였으며, thrombectomy 후 Angioseal (St. Jude Medical, St. Paul Minn)을 사용하여 혈관 접근 경로를 closing 하였다는 보고도 있다. Thrombolysis와 aspirated thrombectomy는 상지에 발생한 급성 혈전색전증 치료에 수술적인 처치와 더불어 좋은 치료방법이다.
참고문헌
1. Martinet O, Lauber AF, Marx A, Frauchiger B, Landmann J.Clinical aspects and diagnosis of arterial embolism of the upper extremity. HelvChirActa 1994;60:875-877.
2. 이진욱, 정인목, 이태승등. 상지 동맥의 급성 혈전색전증J Korean SurgSoc 2010;79:491-496.
3. Lupattelli T, Clerissi J, Clerici G, et al. The efficacy and safety of closure of brachial access using the AngioSealclosure device: experience with 161 interventions in diabetic patients with critical limb ischemia. J Vasc Surg. 2008;47:782-788.
4. Higashimori A, Kawarada O, Yokoi Y. Aspiration thrombectomy for acute foot and hand ischemia. Catheter CardiovascInterv. 201115;78:953-957.
5. Kim SK, Kwak HS, Chung GH, Han YM.Acute upper limb ischemia due to cardiac origin thromboembolism: the usefulness of percutaneous aspiration thromboembolectomy via a transbrachial approach. Korean J Radiol. 2011;12:595-601.
Citations
Citations to this article as recorded by
