중심단어
thromboembolism, occlusion, stent-graft
임상소견
췌장암으로 유문보존췌십이지장 절제술 후 항암치료하던 환자로, 약 20일 전부터 발생한 좌측 하지의 파행이 점차 심해짐
진단명
Lt. popliteal artery embolic occlusion.
영상소견
복부 CT에서, 복부대동맥의 신장동맥 분지부에 혈전이 관찰되었음(Fig. 1). CTA에서 좌측 오금동맥에서 후정강동맥의 종아리동맥 분지부까지 긴 분절에 걸쳐 폐쇄가 있었음(Fig. 2).
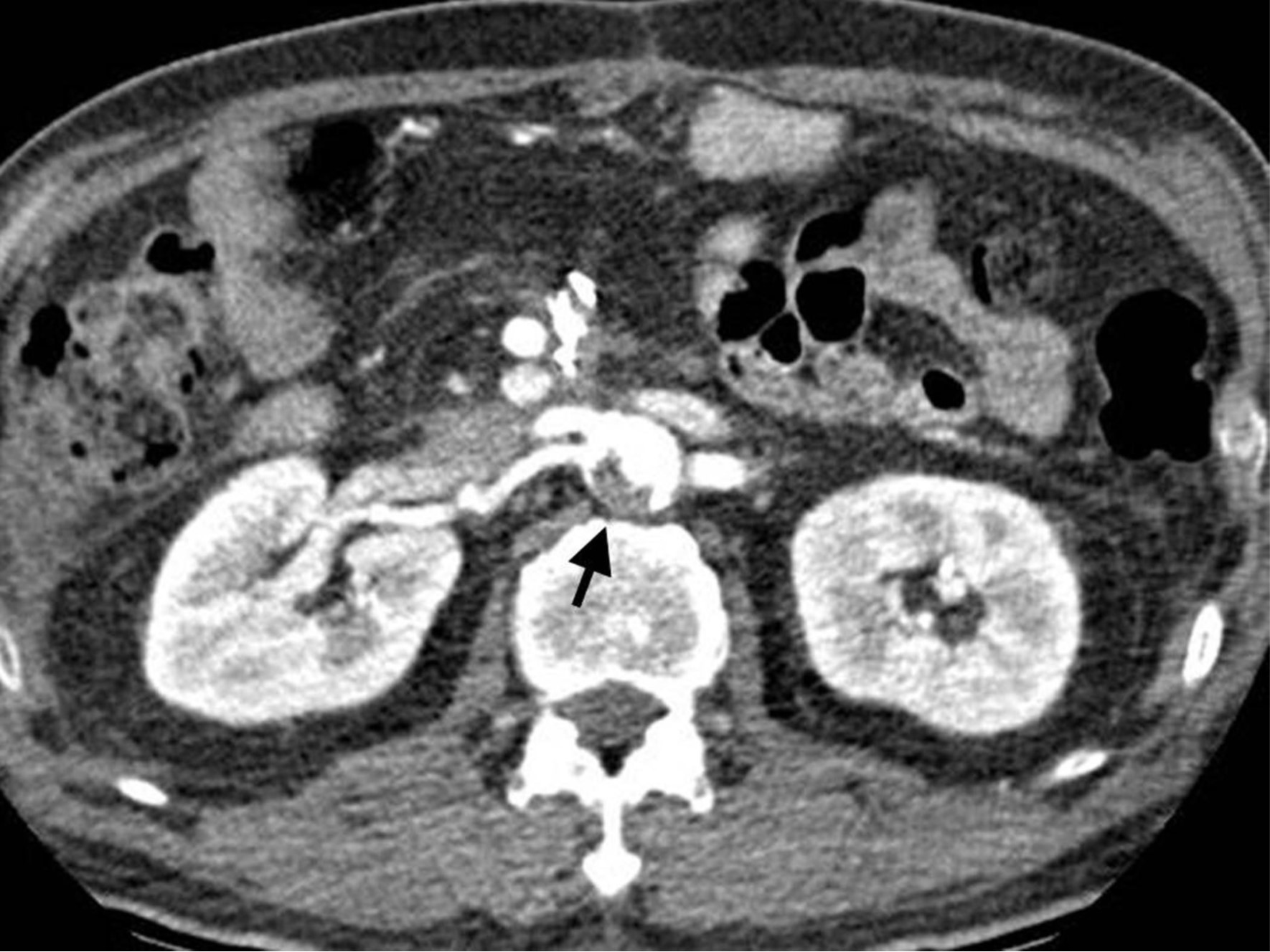
Fig. 1.
Fig. 1. CT Angiography shows large filling defect in renal artery branching level of the abdominal aorta (arrow).
Fig. 2.
Fig. 2. MIP image from lower extremity CTA shows occlusion of left popliteal artery to anterior tibial artery (white arrows).
시술방법 및 재료
왼쪽 총대퇴동맥을 초음파 유도 하에 천자하여 8Fr sheath를 거치하였음. 이후 sheath를 통해 시행한 혈관조영술에서 좌측 오금동맥의 혈전성 폐쇄가 보였고(Fig 3A), 원위부 하지와 족부는 우회순환에 의해 혈류 공급을 받고 있었음.
8Fr Guide catheter (Guider Softip XF; Boston Scientific, Natick, Massachusetts)를 이용한 혈전의 흡인술을 먼저 시도하였음. 여러차례 흡인술 시행하여 혈전을 제거하고 시행한 혈관조영에서 오금동맥의 혈류가 부분적으로 개선되었지만, 오금동맥의 일부, 경골비골동맥분지부(tibioperoneal trunk), 앞, 뒤 경골동맥에 부분적으로 filling defect가 계속 남아있었음(Fig. 3B).
이에 6x40mm balloon(Ultrathin Diamond; Boston Scientific, Natick, Massachusetts)을 이용하여 오금동맥의 풍선확장술후, 6x50mm의 Viabahn stent-graft(W.L. Gore, Flagstaff, Ariz)를 삽입하였고, 풍선확장술을 추가하였음. 경골비골동맥 분지부와, 뒤 경골동맥에 남은 혈전의 치료를 위해서, 5/60mm의 stent (Complete SE; Medtronic, Inc, Minneapolis, MN) 와 5/40mm balloon (Ultrathin Diamond; Boston Scientific, Natick, Massachusetts)을 이용하여 PTA를 시행하였음. 이후 시행한 혈관조영술에서 오금동맥과 뒤경골동맥의 혈류를 통해 발까지 원활한 혈류를 확보하였음(Fig 3C).
복부대동맥에 있는 혈전에 대해서는 Lowmolecular weighted heparin을 투여하였고, 1개월 후 시행한 CTA에서 복부 대동맥의 혈전의 크기가 감소한 것을 확인할 수 있었음.
Fig. 3.
(A) Angiogram shows a complete obstruction at left popliteal artery.
(B) After aspiration of thrombus has been tried for several times, partial revascularization is detected on the subsequent angiogram. But prominent filling defects of popliteal artery and tibioperoneal trunk are still remained.
(C) After stent-graft and stent insertion in popliteal and posterior tibial artery, flow in popliteal and posterior tibial artery was restored.
Fig. 4.
Follow up CT scan after 1 month shows marked decrease in size of thrombi in aorta (arrow).
고찰
혈전색전증(thromboembolism)은 암환자에서 주요한 증상이자 합병증으로 그 중요성이 더욱 널리 인지되고 있다. 응고기전의 장애는 암의 병태생리 자체 때문이거나 그 치료에 사용되는 여러 약제들의 작용에 의한 것이기도 하며, 암으로 수술을 시행한 환자에서 다른 원인질환으로 수술한 사람에 비해 혈전증이 발생할 가능성이 높은 것으로 알려져 있다. 본 증례에서 환자는 기왕의 췌장암으로 유분보존 췌십이지장절제술을 받은 바 있으며, 2주가 넘는 기간에 걸쳐 서서히 증상이 악화되는 만성 경과를 보였다.
대퇴-오금동맥 색전증에서 Stent-graft는 longterm patency를 인정받고 있어 점차 수술적 치료에 우선한 접근방법이 되어가고 있다. 대퇴오금동맥의 치료로써 Viabahn stent-graft의 개존성을 장기간 추적한 한 연구에서, 7mm size의 stent-graft를 사용했을 때 4년 뒤 82%까지 개존성이 유지되는 것을 확인하였다(5). 수술적 치료와 비교할 시에도, 시술 또는 수술 후 1년 후까지의 성적은 대퇴오금동맥우회술과 Viabahn stent-graft 간에 차이가 없는 것으로 알려져 있다(6).
참고문헌
1. Ornstein DL, Zacharski LR. Cancer, thrombosis, and anticoagulants. Curr Opin Pulm Med. 2000;6(4):301-308.
2. Pentecost MJ, Criqui MH, Dorros G et al. Guidelines for peripheral percutaneous transluminal angioplasty of the abdominal aorta and lower extremity vessels. A statement for health professionals from a Special Writing Group of the Councils on Cardiovascular Radiology, Arteriosclerosis, Cardio-Thoracic and Vascular Surgery, Clinical Cardiology, and Epidemiology and Prevention, the American Heart Association. J Vasc Interv Radiol 2003; 14:S495-S515.
3. Wright LB, Matchett WJ, Cruz CP et al. Popliteal artery disease: diagnosis and treatment. Radiographics. 2004;24(2):467-479.
4. Rogers JH, Laird JR. Overview of new technologies for lower extremity revascularization. Circulation. 2007;116(18):2072-2085.
5. Saxon RR, Coffman JM, Gooding JM, Ponec DJ. Long-term patency and clinical outcome of the Viabahn stent-graft for femoropopliteal artery obstructions. J Vasc Interv Radiol. 2007;18(11):1341-1349.
6. Kedora J, Hohmann S, Garrett W, Munschaur C,?Theune B, Gable D. Randomized comparison of percutaneous Viabahn stent grafts vs prosthetic femoral-poplitealbypass in the treatment of superficial femoral arterial occlusive disease. J Vasc Surg. 2007;45(1):10-16.
Citations
Citations to this article as recorded by
