중심단어
Arteriovenous malformation, glue, embolization
임상소견
반복적인 좌측 옆구리 통증과 육안적 혈뇨로 내원
영상소견
내원하여 시행한 복부 및 골반 CT 조영 전 영상에서 좌측 신장의 신우로부터 좌측 근위부 요관에 걸쳐 고음영의 병변이 있었으나, 수신증 소견은 없었다(Fig. 1). 동맥기 CT영상에서는 좌측 신장 실질의 조영증강 정도가 우측 신장에 비해 떨어지는 소견이 보였다. CT 조영 전 영상에서 보인 고음영의 병변을 확인하기 위해 다음날 시행한 역행성 요로조영술상 고음영의 병변은 혈괴로 의심되어 다시 CT 혈관조영술을 시행하였으며, 좌측 신장 내에 사행성의 과성장한 혈관성 종괴가 있고, 신정맥이 동맥기 영상에서 조기 조영증강되는 소견을 보여 신동정맥기형으로 진단되었다(Fig. 2).
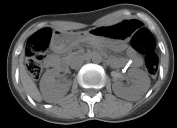
Fig. 1.
Axial pre-contrast CT image shows high density lesion (arrow) in the left renal pelvis and proximal ureter.
Fig. 2.
Axial CT angiogram (A) shows a small nidus (open arrow) of arteriovenous malformation in the left kidney with less enhancing left renal parenchyma. The 3D volume rendering with left anterior oblique projection image (B) shows a small tortuous vessel complex (arrow) in the mid portion of the left kidney.
시술방법 및 재료
우측 총대퇴동맥을 천자하여 0.035-inch guide wire(Terumo, Tokyo, Japan)와 5F pigtail catheter(Cook, Bloomington, USA)를 이용하여 복부 대동맥조영술을 시행하여 좌측 신장에 공급되는 좌신동맥의 모양과 수를 파악하였으며, 좌측 신장으로 공급되는 accessory renal artery는 없었다. 5F RH catheter(Cook, Bloomington, USA)를 이용하여 시행한 좌측 신동맥조영술상 좌신동맥 전분절에서 기인하는 사행성의 영양동맥들이 신동정맥기형의 nidus를 통해 좌측 주신정맥과 좌측 난소정맥으로 조기 유출되는 것을 확인하였다(Fig. 3A, B). 동축기법을 이용하여 2.0F microcatheter(Progreat, Terumo, Tokyo, Japan)와 0.014-inch guidewire(Boston scientific, Natick, USA)를 이용하여 신동정맥기형의 nidus로 진입을 시도하였으나 실패하였다. 분절동맥에서 색전술을 시행할 경우 추후 경색될 신실질의 범위가 많아질 것을 우려하여 경정맥 접근을 시도하기로 하였다. 우측 총대퇴정맥을 천자하고 0.035-inch guidewire와 5F Cobra catheter(Cook, Bloomington, USA)를 이용하여 좌측 신정맥을 선택하고, 동축 기법으로 2.0F microcatheter(Progreat, Terumo, Tokyo, Japan)와 0.014-inch guidewire(Boston scientific, Natick, USA)를 이용하여 신동정맥기형의 nidus로 진입을 시도하였으나 역시 실패하였다. 신동정맥기형의 nidus를 초음파 유도 하에 직접 천자하여 색전술을 시행하기로 하고 추후 색전물질의 원위 이동과 재발 발생을 막기 위해, 유출정맥을 파악하고자 좌신정맥조영술을 시행하였으며, 신정맥과 난소정맥으로 유출되는 곁순환혈관을 확인하고,
Gianturco coil(Cook, Bloomington, USA) 9개를 이용하여 곁순환혈관들을 색전하였다. 이후 배와위 상태에서 초음파 유도 하에 신동정맥기형의 nidus를 21G Chiba needle(A&A medical, Seoul, Korea)을 이용하여 직접 천자하였으며, N-butyl-2-cyanoacrylate(Histoacryl, B. Braun, Melsungen, Germany)와 리피오돌 1:4 혼합액 4 ml로 색전술을 시행하였다. 색전술 후 시행한 좌신동맥조영술상 동맥기에서 신동정맥의 nidus와 조기 유출정맥은 더 이상 보이지 않았다(Fig. 3C). Glue 색전술 중 미량의 색전물질이 세동맥부로 역류되어 좌측 신장 중간부위에 조영이 떨어지는 부위가 의심되었지만, 시술 후 혈압 변화나 혈청 크레아틴 수치 변화는 없었다. 시술 후 혈뇨는 줄어들었으며, 3일 후 환자는 특별한 합병증은 없이 퇴원하였다. 시술 1달 후 추적관찰 중인 환자는 더 이상 혈뇨의 재발이 없었다.
Fig. 3.
Arterial (A) and venous (B) phase images of the initial left renal angiography show a small nidus with multiple feeding arteries and an early draining vein (arrow in A) running into the left renal vein and another draining channel (open arrow in B) running into the left ovarian vein. Final left renal angiogram after embolization with glue/lipiodol mixture and coils (C) shows complete obliteration of the nidus with non-visualization of early draining veins.
고찰
선천성 동정맥기형은 매우 드문 질환으로, 신 생검, 손상, 염증, 종양 등에 의해 발생하는 후천성 원인이 70~80%로 가장 많고, 선천성 원인은 14~27%로 보고되며, 일본의 한 보고에서는 53%까지 보고하였다. 주로 신장의 상극(upper pole)에서 45%의 빈도로 호발하며, 중간 부위와 하극(lower pole)에도 발생할 수 있다. 좌측 신장이 더 호발하며, 여성이 남성에 비해 2배 정도 호발한다. 호발 연령은 30-40대이고, 소아에서는 매우 드물다.
혈관조영술에서 나타나는 형태에 따라 비교적 젊은 연령에서 정맥류형 사행성을 갖는 다수의 공급혈관과 다수의 연결 루를 가지고 있는 만상형(cirsoid type)과 고령 환자에게서 단일 공급 혈관을 갖는 기존 동맥류가 다수의 인접 정맥으로 파고들어 생기는 angiomatous AVM형태인 동맥류형(aneurysmal type)으로 나뉜다. 만상형 기형은 75%에서 육안적 혈뇨를 나타내는데 이것은 신배나 신우의 점막하에 기형이 위치하여 이행상피를 뚫기 때문에 생긴다고 한다. 동맥류형 기형은 심혈관계 증상을 주로 유발하는데 46~50%에서 고혈압, 5%에서 고박출성 심부전 등을 보인다.
신동정맥기형의 진단에는 도플러 초음파, 핵의학검사, 컴퓨터 단층촬영, 자기공명영상, 혈관조영술 등이 이용될 수 있으며, 기형이 의심스러운 환자에게서 기형의 존재유무와 위치 확인이 검사의 주목적이다.
현재까지도 일부 학자들은 동정맥루와 연계된 허혈에 의해 일어난 레닌 관련 고혈압이 있거나 정맥환류 증가에서 기인한 고박출성 심부전이 있는 환자, 색전술 시행 시 색전 물질의 원위 이동이 우려되는 크기가 큰 동정맥기형의 경우에는 신절제술 같은 수술적 치료를 일차적 치료로 생각하고 있다. 그러나 최근 들어 혈관조영술을 통한 색전술이 널리 보급되고 있으며, 좋은 성적을 거두고 있다. Takebayashi 등은 젤폼, 알코올, PVA(polyvinyl alcohol)을 이용하여 치료한 혈뇨를 동반한 선천성 동정맥기형 30례를 발표하였는데, 21례(69.3%)에서 완전 색전을 이루었고, 8명에서 부분 색전을 이루었으나, 전례에서 혈뇨는 멈추었다고 보고하였다. 한 예에서 경색 부위에서의 레닌 방출로 인해 혈압의 급상승이 있었으며, 이는 사용한 알코올로 인해 세포 괴사와 레닌 안지오텐센계의 활성화 때문으로 생각하였다. 본 증례에서는 유출정맥로를 코일 색전한 후 동정맥기형의 nidus를 glue로 색전함으로써 신실질에 허혈성 손상을 줄였으며, 혈압 급상승 등의 합병증은 발생하지 않았다. 또한 유출정맥을 코일 색전함으로써, 색전물질의 원위 이동을 예방하고 나아가 동정맥기형의 재발을 막아보고자 하였다. 추적관찰 기간 동안은 혈뇨의 재발이나 색전후증후군 등의 합병증은 보이지 않았으나, 좀더 장기적인 추적관찰이 필요할 것으로 생각된다.
참고문헌
1. Carrafiello G, Laganá D, Peroni G, et al. Gross hematuria caused by a congenital intrarenal arteriovenous malformation: a case report. J Med Case Reports 2011; 5:510.
2. Wetter A, Schlunz-Hendann M, Meila D, Rohde D, Brassel F. Endovascular treatment of a renal arteriovenous malformation with onyx. Cardiovasc Intervent Radiol 2012; 35:211-214.
3. Lupattelli T, Garaci FG, Manenti G, Belli AM, Simonetti G. Giant high-flow renal arteriovenous fistula treated by percutaneous embolization. Urology 2003; 61:837.
4. Sountoulides P, Zachos I, Paschalidis K, et al. Massive hematuria due to a congenital renal arteriovenous malformation mimicking a renal pelvis tumor: a case report. J Med Case Reports 2008; 2:144.
5. Seitz M, Waggershauser T, Khoder W. Congenital intrarenal arteriovenous malformation presenting with gross hematuria after endoscopic intervention: a case report. J Med Case Reports 2008; 2:326.
Citations
Citations to this article as recorded by
