중심단어
Common femoral artery, glue, embolization
임상소견
뇌경색 치료로 우내경동맥 스텐트설치술을 위해 우측 총대퇴동맥에 8F sheath를 거치하고 시술을 한 후 발생한 우측 총대퇴동맥 가성동맥류 치료를 위해 의뢰.
진단명
Iatrogenic pseudoaneurysm of right common femoral artery
영상소견
우측 넓적다리의 부종 평가를 위해 시행한 골반 CT에서 우측 총대퇴동맥과 연결된 1.4 x 4.0 x 5.5cm 크기의 가성동맥류가 관찰되었으며, 그 목(neck)은 0.4cm로 가늘었다. 그 주변으로 우측 넓적다리에 미만성 부종이 동반되어 있었다.
시술방법 및 재료
좌측 총대퇴동맥을 천자한 후 0.035-inch guidewire(Terumo, Tokyo, Japan)와 5F cobra catheter(Cook, Bloomington, USA)를 이용하여, 카테타를 우측 외장골동맥에 위치시킨 후 우측 하지 혈관 조영술을 실시하였다. 혈관조영술상 우측 총대퇴동맥의 내측대퇴회선동맥 기시부 직상방에서 기시하는 다엽성의 가성동맥류가 관찰되었다. 이를 동축기법을 이용하여 2.0F microcatheter(Progreat, Terumo, Tokyo, Japan)와 0.014-inch guidewire(Boston scientific, Natick, USA)를 이용하여 가성동맥류 내로 진입하였으나, 좁은 목으로 인해 미세카테타가 충분히 안정적으로 진입되지 않았다. 그리하여 21G Chiba needle(A&A medical, Seoul, Korea)로 초음파 유도하 에 가성동맥류를 경피적 천자하여 3% Thromboject(Omega, Canada)을 주입했으나 빠른 혈류속도로 인해 색전이 유발되지 않았다. 우하지 혈관으로의 색전물질 유출을 막기 위해 좁은 목에 5F Cobra catheter를 걸고 다시 fluoroscopy 유도 하에 N-butyl-2-cyanoacrylate(Histoacryl, B. Braun, Melsungen, Germany)와 리피오돌 1:4 혼합액 5ml를 천천히 주입하면서 가성동맥류에 대한 색전술을 시행하였다. 시술 직후 우하지 원위부로의 색전물질 이동 확인을 위해 오른 하지에 대한 혈관조영술을 실시하였으나 족부 혈관까지 이상 소견 발견되지 않아 시술을 종료하였다.
시술 12일 후 시행한 하지 CT 혈관조영술상 가성동맥류는 내부에 glue cast로 채워져 소실되었고, 우하지의 혈류공급에 이상이 없으며, 원위 이동된 색전물질이 없음을 확인하였다. 같은 날 시행한 color doppler 초음파상 가성동맥류는 색전되었고, 우측 총대퇴동맥과 내측대퇴회선동맥으로의 혈류 공급에 이상이 없음을 확인하였다.
고찰
총대퇴동맥은 가장 흔히 사용되고 있는 접근 경로로 시술 중 발생하는 합병증의 빈도가 가장 높아 이에 대한 진단과 치료가 필수적이라 하겠다. 흔한 합병증으로는 혈종, 서혜부와 후복막강의 비통제성 출혈, 가성동맥류, 동정맥루, 동맥박리 등이 있고, 그 외 원위부 색전, 신경손상, 농양 등이 있다. 합병증 발생의 위험인자는 시술과정 중의 요소와 부주의가 가장 큰 요소이고 이외에 잘못된 출혈부 압박 및 응고장치의 잘못된 사용, 환자의 출혈인자 등이 포함된다.
가성동맥류는 인터벤션 시술 후 0.2-8%까지 다양하게 보고되고 있다. 천자 부위에 부종, 통증, 종괴 등에 의해 환자가 인지하게 되고 영상의학적 일차 진단방법은 color Doppler US이다. 이를 통해 가성동맥류의 크기, 총대퇴동맥과의 연결성, 혈류유입과 혈전의 유무 그리고 다엽성을 확인할 수 있다.
이에 대한 치료는 일차적으로 초음파 유도 하의 수기 압박이다. 하지만 이는 환자가 통증을 견디지 못하는 경우가 있고, 혈액응고 장애가 있는 환자에게는 30-40% 정도의 실패 확률이 있다. 최근 초음파 유도 하 thrombin 주입이 각광 받고 있는데, 이는 쉽고 안전한 방법이기 때문이다. 하지동맥으로 thrombin의 유입을 방지하기 위해 초음파 유도 하에 바늘을 가성동맥류의 정중앙에 위치시키고, 혈전이 생성되는 시간을 고려하여 여러 번 나누어 주입하는 방법이 추천된다. 이러한 초음파 유도 하 시술이 어려운 경우 stent graft의 설치나 coil을 이용한 색전술도 시도되고 있다.
이전 발표된 논문에서는 thrombin에 의한 가성동맥류의 치료 성공률은 99-100%로 보고하였으나, 본 증례의 경우는 thrombin을 이용한 치료는 실패하여 추가적으로 glue를 이용한 색전술을 시도하였다. Gulati 등은 증례보고에서 내장기관의 거짓동맥류에 대해서 유입혈관과 거짓동맥류간의 연결 경로를 차단한 후 glue를 이용한 색전술을 보고하였다. 따라서 총대퇴동맥과 같이 stent 삽입이 부적절한 부위에 생긴 가성동맥류 치료로 thrombin을 통한 색전술이 실패한 경우 유입혈관으로의 색전물질 유출을 막는 시술과 동반하여 glue를 통한 색전술도 고려해볼 수 있겠다.
참고문헌
1. Tsetis D. Endovascular Treatment of Complications of Femoral Arterial Access. Cardiovasc Intervent Radiol 2010; 33:457-468.
2. Owen R, Haslam P, Elliott S, Rose J, Loose H. Percutaneous Ablation of Peripheral Pseudoaneurysms Using Thrombin: A Simple and Effective Solution. Cardiovasc Intervent Radiol 2000; 23:441-446.
3. Gulati G, Gulati M, Makharia G, et al. Percutaneous Glue Embolization of a Visceral Artery Pseudoaneurysm in a Case of Sickle Cell Anemia. Cardiovasc Intervent Radiol 2006; 29:665-668.
Fig. 1. A
Fig. 1A, B. Axial contrast CT images (A, B) show a large pseudoaneurysm (arrow) originated from the right common femoral artery with a narrow aneurismal neck (open arrow).
Fig. 1. B
Fig. 1A, B. Axial contrast CT images (A, B) show a large pseudoaneurysm (arrow) originated from the right common femoral artery with a narrow aneurismal neck (open arrow).
Fig. 2. A
Fig. 2A. Initial right common femoral angiogram shows a pseudoaneurysm in the right common femoral artery.
Fig. 2. B
Fig. 2B. Percutaneous glue embolization was tried after blocking the opening of the aneurismal neck with a 5F Cobra catheter, but failed.
Fig. 2. C
Fig. 2C, D. Final right lower extremity angiograms show complete obliteration of pseudoaneurysm in the right common femoral artery with no embolism to the distal part of the right lower extremity arteries.
Fig. 2. D
Fig. 2C, D. Final right lower extremity angiograms show complete obliteration of pseudoaneurysm in the right common femoral artery with no embolism to the distal part of the right lower extremity arteries.
Fig. 3. A
Fig. 3A, B. 3D volume rendering with left anterior oblique projection image (A) obtained 12 days after procedure shows glue complex (arrow) in the pseudoaneurysm with no residual filling of contrast media. Also, color doppler US (B) obtained the same day shows complete obliteration of pseudoaneurysm(asterisk) with the patent common femoral and medial circumflex femoral arteries.
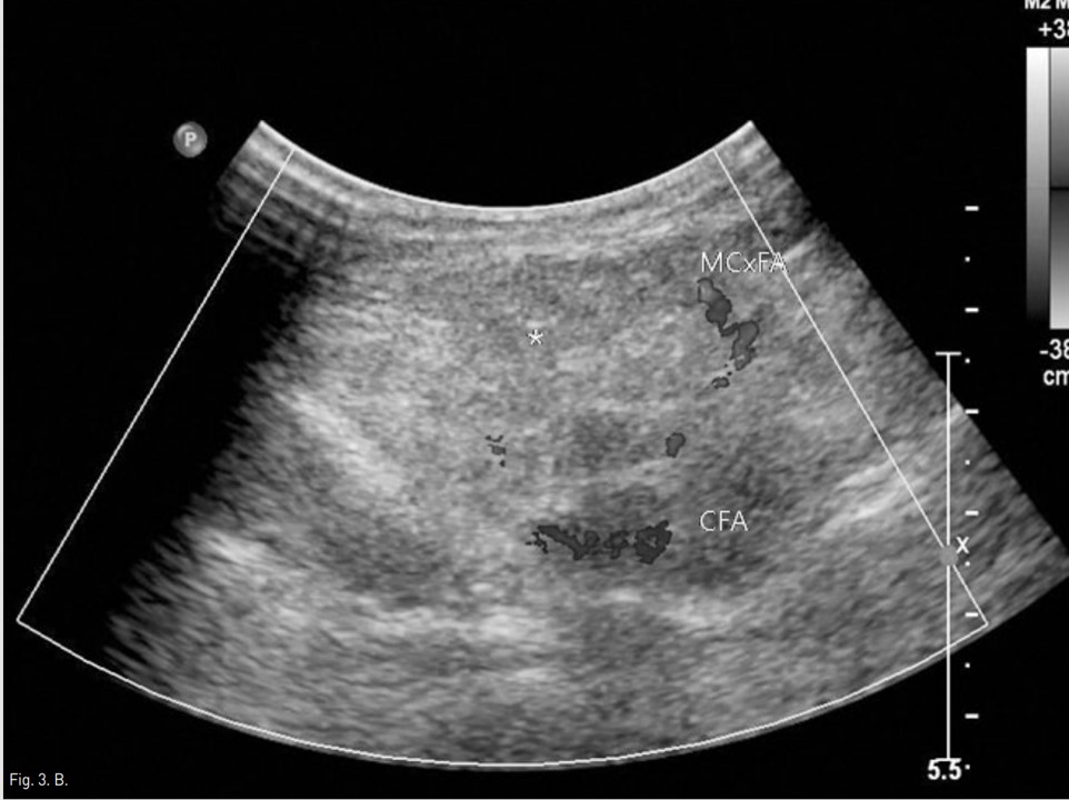
Fig. 3. B
Fig. 3A, B. 3D volume rendering with left anterior oblique projection image (A) obtained 12 days after procedure shows glue complex (arrow) in the pseudoaneurysm with no residual filling of contrast media. Also, color doppler US (B) obtained the same day shows complete obliteration of pseudoaneurysm(asterisk) with the patent common femoral and medial circumflex femoral arteries.
Citations
Citations to this article as recorded by
