중심단어
Right anterior portal vein, Stenosis, Stent
임상소견
간세포암으로 진단받고 좌엽절제술(Left lobectomy)을 시행받은 환자로 우전간문맥(right anterior portal vein)의 협착이 발견되어 우전간문맥에 대한 스텐트삽입술이 의뢰됨.
진단명
Right anterior portal vein stenosis
영상소견
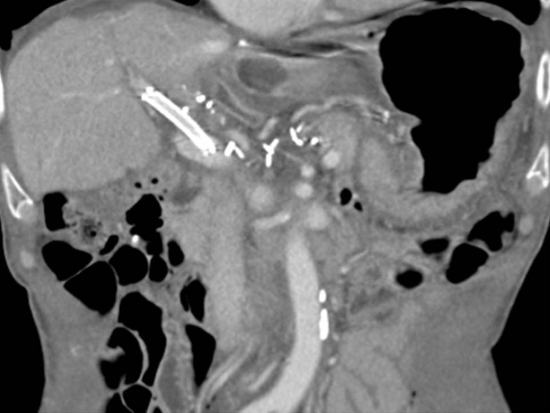
복부 CT 문맥기 영상에서 재구성한 관상면 영상에서, 우전간문맥(right anteriorportal vein)의심한 협착이 보임(Fig 1).
시술방법 및 재료
초음파 유도하에 비장정맥(splenic vein)을 천자하여, 8Fr sheath를 삽입하였음. Sheath를 통한 간문맥조영술(splenoportography)에서, 우전문맥(right anterior portal vein)의 심한 협착을 확인하였음(Fig. 2A). 이후 guidewire를 사용하여 우전문맥을 선택한 뒤, 6x40mm의 Stent(Zilver; Cook Medical, Bloomington, IN)를 삽입하였고, 남은 병변에 대해서 6x40mm balloon(Ultrathin Diamond;Boston Scientific, Natric, MA)을 이용하여 혈관성형술을 시행하였음. 이후 시행한 간문맥 조영술(Portal venography)에서 협착의 호전을 확인할 수 있었음(Fig. 2B). 삽입한 sheath의 지혈을 위해서, Histoacry(N-butyl-cyanoacrylate, B.Braun,Germany)과 lipiodol(Lipiodol Ultrafluid, Andre Guerbet, Aulnay-sous-bois, France)의 혼합(mixture, 1:4) 2cc로 tract embolization한 후 시술을 종료하였음.
1주일 후 시행한 복부 CT에서 우전간문맥의 스탠트는 혈류가 잘 유지 되었음(Fig. 3).
고찰
간문맥협착은 췌장염(pancreatitis), 간경화(cirrhosis), 게실염(diverticulitis), 담도암(cholangiocarcinoma), 수술 등의 원인에 의해 발생 할 수 있으며, 간문맥 고혈압(portal hypertension)과 간의 혈류 감소를 일으킨다.
고식적인 치료에는 anticoagulants, shunts, bypass surgery and transplants등이 있으며, 인터벤션 치료는 풍선혈관확장술 및 스텐트설치술을 시행하며 일부 연구에서는 수술적 방법보다 결과가 좋은 것으로 나타났다.
일반적으로 간문맥(portal vein)을 천자해 8Fr guiding sheath의 tip을 협착이 있는 문맥의 입구에 위치시킨다. 이 방법은 삽관(catheterizing)에 안정성이 있고, guidewire, balloon 및 stent의 진입이 안전하며 시술 중 언제든 정맥조영술(venography)이 가능하다는 장점이 있다.
비장 정맥으로 접근하는 방법은 본 증례처럼 간문맥으로 접근이 어려울 경우 유용하다. 간문맥 접근에 비해 병변까지의 경로가 길어 비장정맥과 간문맥 사이의 심한 변형이 있는 경우 카테터 조작이 힘들고, 합병증으로 출혈이 생길 수 있는 단점이 있다.
비장은 complex channel로 전체 실질조직(parenchymal tissue)이 연결된 과혈관성 조직(hypervascular organ)으로 비장천자(splenic puncture site)의 출혈이나 비장내 혈종(intrasplenic hematoma)으로 인해 문맥고혈압(portal hypertention), 비장비대(splenomegaly), 혈소판 감소증(thrombocytopenia) 같은 주요한 합병증이 일어날 수 있다. Liang 등에 따르면 문맥계(portal venous system)의 비장을 통한 삽관(transsplenicportal vein catheterization)을 시행한 환자에서 비장 내 혈종이나, 혈복강이 생겨 결국 수혈이 필요한 경우에 이를 수 있다고 한다.
그러나 Probst 등에 의해 compressed absorbable gelatin sponge로 비장의 천자로를 plugging하여 출혈을 막는 방법이 소개된 이후 비장을 통한 문맥조영술(splenoportography)은 안전한 시술로 인정되어 경피적 간내 문맥 접근(percutaneous transhepatic approach)과 같은 고식적인 방법으로 접근이 어려울 경우 그 대안으로 시행해 볼 수 있다.
참고문헌
1. Chu HH, Kim HC, Jae HJ et al., Percutaneous Transsplenic Access to the Portal Vein for Management of Vascular Complication in Patients with Chronic Liver Disease.Cardiovasc Intervent Radiol. 2011 Dec 10. [Epub ahead of print]
2. Cheng YF, Ou HY, Tsang LL et al. Interventional percutaneous trans-splenic approach in the management of portal venous occlusion after living donor liver transplantation.Liver Transpl. 2009;15(10):1378-1380.
3. Liang HL, Yang CF, Pan HB, Chen CK, Chang JM.Percutaneous transsplenic catheterization of the portal venous system.ActaRadiol. 1997;38(2):292-295.
Fig. 1.
Fig.1 Coronal reformatted image from portal venous phase CT scan shows severe stenosis of right ant. portal vein(arrow).
Fig. 2. A
Fig. 2A Splenoportography shows severe stenosis of right ant. Portal vein(arrow).
Fig. 2. B
Fig. 2B Right ant.Portal vein stenosis was resolved after stent placement and PTA.
Fig. 3.
Fig. 3. Follow up CT after 1 day demonstrates good patency of portal stent.
Citations
Citations to this article as recorded by
