중심단어
지속발기증 (Priapism), 동맥해면체루(Arteriocavernosal fistula), 자가혈전색전술(Autologous blood clot embolization)
임상소견
특이 과거력 없는 13세 남환으로 철봉에서 떨어지면서 회음부(perineum)를 부딪힌 이후 혈뇨로 내원하였다. 도뇨관 유치(foley catheter indwelling) 시도하였으나 실패하였고, 소변이 나오지 않아 시행한 역행성 요로 조영술(Retrograde urethrogram)(Fig. 1)에서 요로 파열 (urethral rupture)이 관찰되어 방광루(cystostomy)를 형성하였다. 지속발기증(priapism) 소견을 보여 CT(Fig. 2) 및 도플러 초음파(Fig. 3)를 시행하였고 양측 음경 동맥해면체(arteriocavernosal fistula)가 관찰되었다.
진단명
외상후 과혈류성 지속발기증(Post-traumatic high-flow type priapism)
영상소견
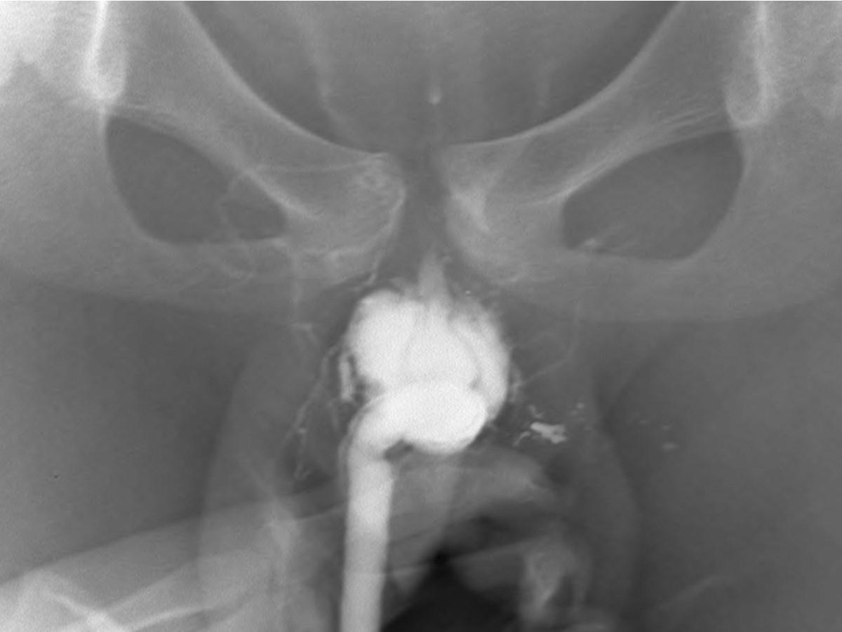
역행성 요로 조영술(Retrograde urethrogram)에서 조영제가 구부요도(bulbous urethra)주위로 새어나가는 소견이 보였다(Fig, 1).
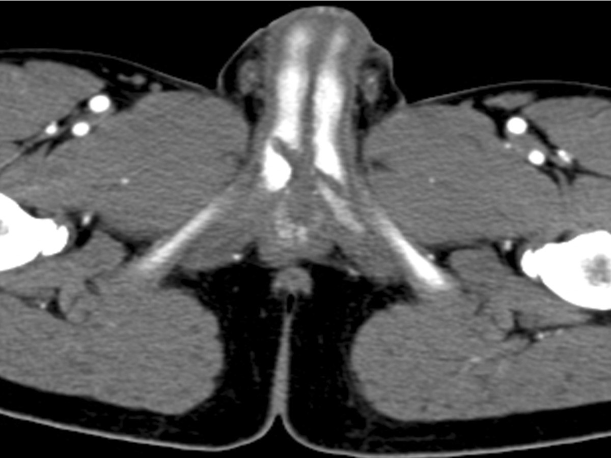
지속발기증(priapism)이 있어 CT를 촬영하였고 구부요도 (bulbous urethra) 부위의 양쪽 음경해면체에 사선모양으로 연결되는 선 모양의 낮은 감쇄 병변이 보여 양측 음경해면체의 파열(bilateral corpus cavernosal rupture)을 의심하였다(Fig. 2).
도플러 초음파검사를 시행하였을 때, 요도해면체(corpus spongiosum)와 양측 음경해면체(corpus cavernosum)에 혈종(hematoma) 및 음경 동맥해면체루(arteriocavernosal fistula)가 구부요도(bulbous urethra)부위에서 관찰되었다(Fig. 3A, B).
Fig. 1.
Fig. 1. Retrograde urethrogram after trauma shows a large amount of contrast material extravasation around bulbous urethra without flow into the prostatic urethra or bladder.
Fig. 2.
Fig. 2. Axial image with contrast enhanced CT scan following cystostomy demonstrates linear low density lesion penetrating both corpus cavenosum at the bulbous urethral level of proximal penis.
Fig. 3.
Axial image with gray-scale (A) and color Doppler (B) US demonstrates bilateral cavernous hematomas with feeding cavernosal arteries at the bulbous urethral level of proximal penis.
시술방법 및 재료
초음파 유도하에 미세천자기구(Micro Vascular Access Device: Cook, Bloomington, USA)를 이용, 우측 대퇴동맥을 천자하여 0,035 inch hydrophilic guidewire를 대동맥에 위치시켰다. 4.0 F Yashiro catheter 카테터(Terumo, Tokyo, Japan)를 삽입하여 시행한 혈관촬영에서 좌측(Fig. 4A-C) 및 우측 (Fig.4D-F) 내음부동맥(internal pudendal artery)의 가지에서 음경 동맥해면체루(arteriocavernosal fistula)와 가성동맥류(pseudoaneurysm)가 확인되었다. Microcatheter를 이용하여 양측 내음부동맥의 동맥루를 superselection 한 뒤, 자가혈전색전술(autologous blood clot embolization) 및 젤폼 입자(gelfoam particle)를 이용하여 색전술을 시행하였다. 시술 후 시행한 혈관조영술에서 양측 내음부동맥에서의 혈관 외로의 조영제 유출이 사라진 것을 확인하였다.
시술 후 환자는 특이 합병증 없었고 지속발기증이 호전되었으며, 3일 후 시행한 도플러 초음파검사(Fig. 5)에서 음경 동맥해면체루의 감소된 혈류가 확인되었다.
Fig. 4.
Angiograms of left (A-C) and right (D-F) pudendal arteries show extravasation of contrast material (A, D), suggesting pseudoaneurysms at the base of the both corpus cavernosa. Angiograms obtained after successful embolization (C, F) show occlusion of the fistula.
Fig. 5.
Axial US scan obtained 3 days after embolization shows that the echo-texture of the corpora cavernosa is inhomogeneous and decreased in size, compared to previously detected cavernous hematoma.
고찰
지속발기증(Priapism)은 음경의 발기가 성적인 자극과 관계없이 4시간 이상 지속되는 상태로, 허혈성(ischemic type)과 비허혈성(non-ischemic type)으로 나눠지는데, 허혈성은 비허혈성에 비하여 더 흔하며 음경 정맥에서 나가는 혈류의 부적절함(inadequate venous outflow)으로 인해 산소화된 혈액이 음경해면체로 진입하지 못하여 생기는 저혈류성(low-flow type)이고, 비허혈성은 주로 외상에 의해 음경해면체동맥이 파열되어 생기는 과혈류성(high-flow type)이다. [1, 2] 도플러 초음파는 과혈류성 지속발기증에서 음경해면체동맥의 파열에 의한 동맥해면체루의 진단에 비침습적이며 정확한 검사이고, 혈관조영술 이후에 동맥루의 크기가 감소하는 것을 추적 관찰하기에도 용이하다. 과혈류성 지속발기증에 대한 치료 방법은 색전술, 외과적 결찰, 외부압박법, 경과관찰 등 다양한데, 그 중 선택적 동맥색전술이 가장 많이 행해지고 있다. [3-5] 이전의 연구에서 선택적 자가혈전 동맥색전술이 외상 후 과혈류성 지속발기증이 있는 소아의 치료에 유용하며 장기간 추적관찰에서 발기부전을 일으키지 않는 것으로 보고되었으며[4, 5] 젤폼을 이용한 색전술에서도 성공적이고 안전한 결과가 보고되어[6, 7] 이번 환자의 치료에 자가혈전 색전술 및 젤폼을 이용한 추가 색전술이 시행되었다. 자가혈전은 다음과 같은 이유에서 과혈류성 지속발기증의 색전물질로 적절한 것으로 생각된다. 첫째, 추가적인 비용이 없이 사용할 수 있는 색전물질이다. 둘째, 이물반응(foreign body reaction)의 위험이 적다. 셋째, 일시적인 색전물질로 해면체 동맥의 재개통(recanalization)이 가능하게 하여 이후의 정상 발기를 가능하게 한다. 넷째, 목표로 하지 않았던 색전술에 대한 혈전용해 및 반복적인 색전술이 가능하다.
외상에 의한 과혈류성 지속발기증은 흔하지 않은 질환이지만 이전의 연구에서 도플러 초음파의 진단적 유용성과 자가혈전 색전술(Autologous blood clot embolization)의 효과 및 안전성이 알려져 있다. 이번 증례의 환자에서도 이에 준한 진단 및 치료가 행하여졌으며 이후의 도플러 초음파 추적검사에서 동맥해면체루의 감소가 관찰되었다. 이후의 임상적 추적관찰을 통해 정상 발기기능이 유지되는지 확인이 필요하겠다.
참고문헌
1. Mazza MB, Chong ST, Knoepp U, Hoff C. Post-traumatic penile pseudoaneurysm causing high-flow priapism. Emerg Radiol 2012; 19:181-183
2. Nabinger GB, Burttet LM, Lucena IR, Neto BS, Berger M, Rosito TE. Child non-ischemic priapism, a conservative approach: Case report and updated review. Journal of Pediatric Urology 2013; 9: e99-e101
3. Bertolotto M, Quaia E, Mucelli FP, Ciampalini S, Forgacs B, Gattuccio I. Color Doppler Imaging of Posttraumatic Priapism before and after Selective Embolization. RadioGraphics 2003; 23:495-503
4. Crummy AB, Ishizuka J, Madsen PO Posttraumatic Priapism: Successful Treatment with Autologous Clot Embolization. AJR 1979; 133:329-330.
5. Cantasdemir M, Gulsen F, Solak S, Numan F. Posttraumatic high-flow priapism in children treated with autologous blood clot embolization: long-term results and review of the literature. Pediatr Radiol 2011;41:627-632.
6. Pieri S, Agresti P, La Pera G, et al. Post-traumatic high flow priapism percutaneously treated with transcatheter embolisation. Radiol Med 2005;110:370.
7. Poey C, Guy F, Rabia N, et al. Non traumatic highflow priapism: arterial embolization treatment. J Radiol 2006;87:115.
Citations
Citations to this article as recorded by
