중심단어
Bronchobiliary fistula, embolization, NBCA
임상소견
간세포암으로 다른 병원에서 간동맥화학색전술(transcatheter arterial chemo-embolization, TACE)을 받은 후 기관지담관루(bronchcobiliary fistula)가 생겨 내원 6개월 전 경피경간담즙배액술(Percutaneous Transhepatic Bile Drainage, PTBD) 시행하고 경과관찰 중이었다. 내원 4개월 전 기침, 황록색 객담 증가하여 PTBD tube를 교체한 후 증상이 호전되었으나 내원 1개월 전 촬영한 복부 전산화 단층 촬영상 우측 하부 폐야에 경화(consolidation) 소견과 우측 흉막 삼출액 소견 보여 입원함.
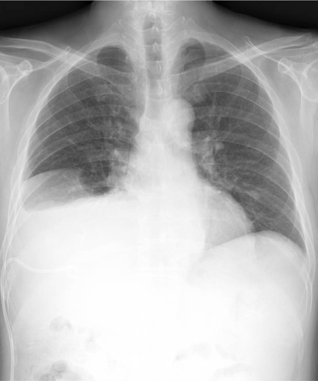
Fig. 1.
Fig. Chest x-ray shows right pleural effusion. Note that PTBD tube was inserted in right intrahepatic duct.
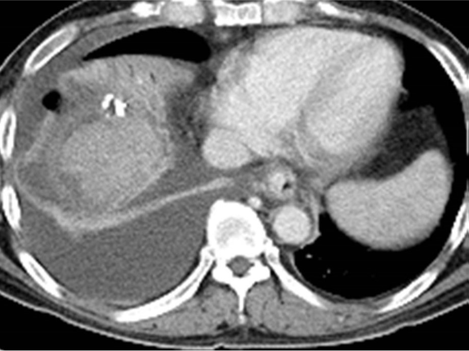
Fig. 2.
Fig. 2. Abdominal CT scan shows Rt. pleural effusion and right lower lobe consolidation.
진단명
post TACE bronchobiliary fistula
영상소견
입원 당시 흉부 방사선촬영에서 우측 하부 폐야에 경화소견과 우측 흉막 삼출 소견 보임.
시술방법 및 재료
우측 PTBD tube를 통해 8 Fr sheath를 삽입한 후, 조영제를 넣어 담도와 기관지의 연결을 확인하였다(Fig 3A). 그 뒤, 5F Park's bright catheter를 사용하여 기관지와 연결된 담도 B8 분지에 guidewire를 진입시켰다. NBCA(N-butyl-2-cyanoacrylate, Histoacryl, B. Braun, Melsungen, Germany)와 lipiodol(Guerbet, Aulnay-sous-Bois, France)을 1:1로 섞은 용액 2cc을 해당 담도에 주입하고 8.5F pigtail cathter를 유치한 후 시술을 마쳤다. 그후 환자의 증상은 호전되었으나, 계속 객담이 남아있어서 3일 뒤 같은 방법으로 NBCA와 lipiodol의 혼합용액 7cc를 주입하였다(Fig 3B). 환자의 증상은 호전되었고, 한달 뒤 시행한 CT에서 흉막삼출은 감소하였다(Fig 4).
Fig. 3
A. Tubography before NBCA embolization shows brochopulmonary fistula between B8 duct and right lower lobe bronchus(arrow).
B. Tubography after NBCA embolization shows good contrast passage to duodenum. Note retained lipiodol and NBCA mixture (arrowheads).
Fig. 4.
Follow up CT shows decrease of right pleural effusion and retained NBCA and lipiodol mixture(arrow).
고찰
기관지담관루는 손상된 횡격막을 통해 담도계와 기관지 사이에 연결이 생기는 매우 드문 질환 중의 하나이다. 후천적 기관지담관루의 원인으로는 개발도상국에서는 기생충 감염이 흔하나 선진국에서는 이전 담도 수술로 인한 외상과 담도 폐쇄가 가장 큰 비중을 차지하고 있다. 기관지담관루의 증상으로는 담즙성 객담(biloptysis)이 대표적이며 이는 진단에 있어 특징적이다. 이밖에도 발열, 기침, 흉통, 호흡곤란, 황달이 동반되는 경우가 있다.
기관지담관루는 치료가 지연될 경우 담즙에 의해 심각한 폐손상과 괴사성 폐렴 등의 합병증을 일으킬 수 있어 치료가 지연될 경우 높은 사망률을 보이는 것으로 보고되어 있으나 아직 정해진 표준 치료는 없다. 전통적으로 기관지담관루를 포함한 간과 폐의 조직 절제술과 함께 횡격막하 농양 배액술 등의 수술적인 치료가 많이 시행되었으나 의학기술의 발전과 보다 비침습적인 치료를 선호하는 경향에 따라 최근에는 비수술적 치료가 우선적으로 시행되고 있다. 비수술적 치료 방법에는 내시경적 역행성 담췌간조영술 또는 경피경간담도 조영술을 통한 담도 배액술, 발룬 확장술,괄약근 절개술, 금속성 스텐트 삽입 등이 있다.
본 증례에서 는 경피경간담도조영술을 통한 담도 배액술 후 증상이 재발한 기관지담관루에 대하여 glue와 lipiodol을 섞은 용액으로 색전술을 시도하였다. 이전 PTBD tube를 통해 기관지와 연결된 담도를 색전하였으며 시술 한달 후에 시행한 복부 전산화 단층촬영상 우하엽의 경화, 삼출액 소견이 크게 감소한 것을 확인할 수 있었다.
참고문헌
1. Gugenheim J, Ciardullo M, Traynor 0, Bismuth H. Bronchobiliary fistulas in adults. Ann Surg 1988;207:90-94
2. Kaido T, Kano M, Suzaki S, Yanagibashi, K, Shiota M. Bronchobiliary fistula after hepatectomy for hepatocellular carcinoma. Digestive Disease and Science 2006;51:1117-1121
3. Schwartz ML, Coyle MJ, Aldrete JS, Keller FS. Bronchobiliary fistula: complete percutaneous treatment with biliary drainage and stricture dilation. Radiology 1988;168:751-752
4. Liao GQ, Wang H, Zhu GY, Zhu KB, Lv FX, Tai S. Management of aquired bronchobiliary fistula: A systematic literature review of 68 cases published in 30 years. World J Gastroenterol 2011;17:3842-3849
Citations
Citations to this article as recorded by
