중심단어
Bronchopleural fistula, Stent, Pneumonectomy
임상소견
8개월전 폐결핵에 의한 반복적인 객혈로 우상엽절제술을 시행받은 환자로 수술 후 생긴 기관지흉막루로 인해 농흉이 발생하였음. 농흉은 보존적 치료에 반응하지 않고 점차 악화되었으며 우하엽에 괴사성 폐렴이 동반되어 5개월전에 우측 폐절제술을 시행하였고 기관지흉막루에 대해서는 심장막을 이용하여 보강하였음. 이후에도 농흉이 지속되며 수술시 삽입한 흉관을 통한 배액량이 감소하지 않았고 기관지내시경상에서 기관지흉막루를 통해 고름이 기관지로 유입되는 것을 관찰할 수 있었음. 기관지흉막루를 통하여 정상 기관지 측으로 유입되는 고름에 의하여 성대에 손상이 오고, 기관지흉막루를 통해 공기가 새어 발성이 제대로 되지 않는 문제가 있어 시술이 의뢰되었음.
진단명
우상엽절제술과 폐절제술 뒤 발생한 기관지흉막루
영상소견
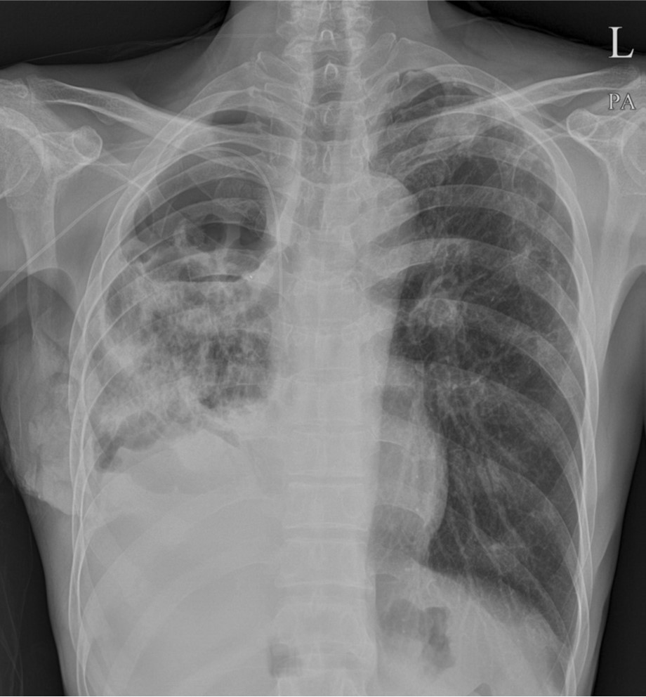
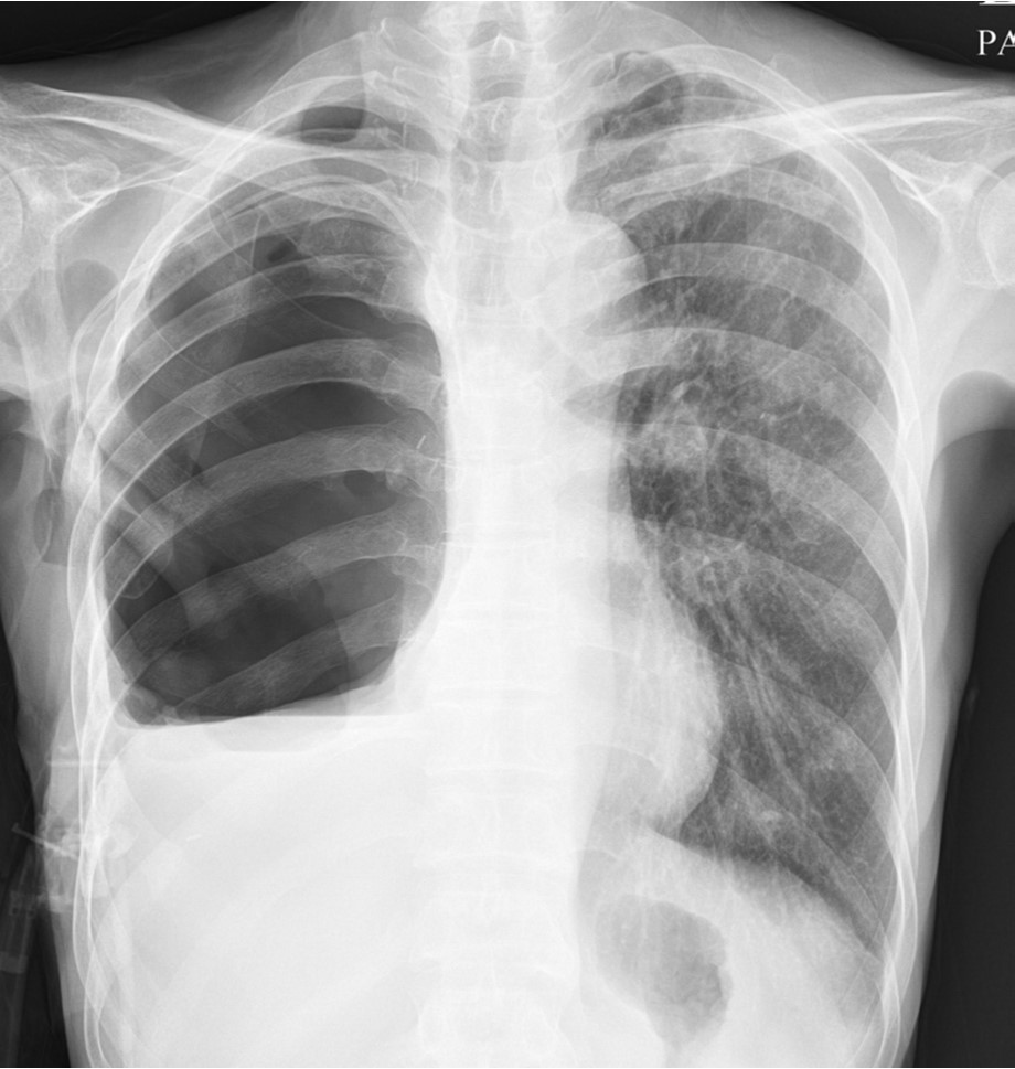
우상엽 절제술을 시행하고 2개월 후 단순흉부촬영에서 우상엽이 있던 공간으로 dead space가 남아있으며 우하엽에 경계가 불분명한 국소경화가 있음(Fig. 1). 흉부 전산화 단층 촬영 관상면 영상에서 우측 주기관지로부터 분지한 우상엽기관지가 deadspace와 연결되어 있음 (Fig. 2). 우측 폐 절제술 시행 후 단순흉부촬영에서 액체가 저류되어 있고 흉관이 삽입되어 있으며 (Fig. 3) 기관지내시경에서 고름이 deadspace로부터 기관지내로 유입되고 있음 (Fig. 4).
Fig. 1.
Chest radiograph after right upper lobectomy show deadspace of right thoracic cavity and multifocal consolidation at right lower lobe.
Fig. 2.
Coronal CT image shows a bronchopleural fistula between right upper lobar bronchus and deadspace.
Fig. 3.
Chest radiograph obtained after pneumonectomy revealed chest tube and fluid retention in the right thoracic cavity.
Fig. 4.
Bronchoscopic view revealed the pus flows into normal bronchus through bronchopleural fistula
시술방법 및 재료
First intervention - Supine position에서 xylocaine spray로 국소마취를 실시하고 bronchoscopic guidance 하에 0.035 inch guide wire (Terumo, Tokyo, Japan)를 left main bronchus 이하 부위까지 위치시켰다. 사용한 스텐트 (S&G biotech, Korea)는 실리콘으로 코팅된 니티놀 재질의 retrievable self-expandable covered stent 였으며 22 mm 직경을 갖는 tracheal part와 14mm 직경의 bronchial part로 나누어지고 두 부분 사이에는 점진적으로 직경이 좁아지는 flexible part가 존재하였으며 총 길이는 90 mm였다. 15 F introducer를 이용하여 stent의 distal end가 left main bronchus에 위치하고 flexible part 가 carina 부분에 위치하도록 삽입하였다. 시술 후 fluoroscopy 상에서 carina 부분에 위치하고 있는 flexible part가 호흡에 따라 일부 collapse 되고 있었다 (Fig. 5).
Reintervention - 호흡에 따라 스텐트의 모양이 유지되지 못함에 따라 일주일 후 스텐트를 제거하고 flexible part의 구조를 보강한 스텐트를 삽입하였다. 스텐트 제거를 위한 bronchoscopy상에서 carina 부분에 놓여있던 flexible part의 실리콘 코팅에 hole이 생긴 것을 확인할 수 있었으며 (Fig, 6) 13 F sheath와 hook wire를 이용하여 스텐트를 제거하였다. 새로 삽입한 스텐트는 tracheal part 의 직경이 24 mm, bronchial part의 직경이 14nm, 총 길이는 90 mm였으며 시술 후 fluoroscopy 상에서 호흡에 따른 collapse 없이 flexible part에서 스텐트의 직경이 잘 유지되고 있었다 (Fig. 7). 시술 후 15일째 단순흉부촬영에서 스텐트의 migration, collapse 등의 문제가 발생하지 않은 것을 확인할 수 있었다 (Fig. 8).
Fig. 5.
Chest radiograph after stent insertion shows repetitive collapse of stent
Fig. 6.
Bronchoscopic image after stent insertion shows a defect of flexible part which is located at carina.
Fig. 7.
Chest radiograph immediately after reintervention shows good patency of stent
Fig. 8.
Chest radiograph 15 days after reintervention shows no change of stent patency and location at airway
고찰
기관지흉막루는 폐 절제술후에 생길 수 있는 심각한 합병증으로 폐 절제술 후 1~28%에서 발생하며 이에 따른 사망률도 18~50%에 달하는 것으로 알려져 있다. 주요한 사망원인은 기관지흉막루에 의하여 농흉이 정상 폐조직에까지 폐렴을 일으키는 것이다. 수술 후 합병증에 의한 기관지흉막루가 있을 때 수술적인 기관지 흉막루의 보강은 가장 먼저 시도되는 치료법이며, 기관지흉막루의 크기가 작은 경우 다양한 내시경적 치료법이 있지만 5mm 이상의 크기에서 높은 성공률을 보인 치료법은 없다. 스텐트를 이용한 기관지흉막루의 치료에 대한 증례보고에서 수술적 치료가 불가능한 환자 상태 및 기관지흉막루의 크기가 커서 내시경적 치료가 불가능한 경우에서 있어서 스텐트의 삽입이 효과적 대안이 될 수 있음을 보여주고 있다.
본 증례는 우상엽절제술 후 기관지흉막루가 발생하였고, 농흉이 보존적 치료로 조절되지 않아 폐 절제술을 시행하였고 기관지흉막루는 심막을 이용하여 보강하였지만 농흉으로 인하여 기관지흉막루의 완전한 폐쇄가 이루어지지 않았던 경우이다. 이러한 경우에 있어서 본 증례에서는 자가 팽창성 피막형 스텐트를 기관부터 좌측 기관지까지 위치시켜 우상엽기관지에 생긴 기관지흉막루와의 연결을 차단하였다. 이때 스텐트의 tracheal part와 bronchial part를 연결하는 flexible part의 구조에 따라 호흡 시 스텐트에 가해지는 반복적인 변형의 정도가 변하게 되고 호흡에 따른 스텐트의 변형이 큰 경우 실리콘 피막에 손상이 생길 수 있음을 알 수 있었다.
수술적 치료와 내시경적 치료가 어려운 기관지흉막루 환자에서 기관기관지 스텐트의 삽입은 기존의 치료법을 대체 및 보조할 수 있는 유용한 방법이다.
참고문헌
1. Andreetti C, D'Andrilli A, Ibrahim M, et al. Effective treatment of post-pneumonectomy bronchopleural fistula by conical fully covered self-expandable stent. Interact Cardiovasc Thorac Surg 2012; 14: 420-423.
2. Dutau H, Breen DP, Gomez C. et al. The integrated place of tracheobronchial stents in the multidisciplinary management of large post-pneumonectomy fistulas: our experience using a novel customised conical self-expandable metallic stent. Eur J Cardiothorac Surg 2011; 39:185-189.
3. Tsukada H, Osada H. Use of a modified Dumon stent for postoperative bronchopleural fistula. Ann Thorac Surg 2005; 80:1928-1930. Ann Thorac Surg. 2005 Nov;80(5):1928-30.
Citations
Citations to this article as recorded by
