중심단어
Effort-induced thrombosis, subclavian vein, catheter-directed thrombolysis, balloon angioplasty
임상소견
직업 때문에 주로 팔을 높이 들어 위쪽의 물건을 꺼내는 동작을 반복하는 자로 내원 한달 전부터 우측 상지의 부종이 있어 내원하였다. 약 1년 전에 무거운 물건을 들다가 우측 상지로 찢어지는 듯한 통증을 느낀 적이 있었지만 최근에 외상은 없었다. 이학적 검사에서 우측 상지의 부종 외에도 홍반성 색조 변화(erythematous change)가 있었다.
진단명
Effort-induced thrombosis of subclavian vein
영상소견
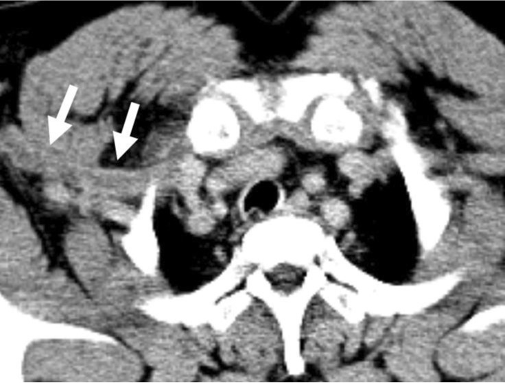
조영증강 CT에서 우측 쇄골하정 맥을 포함한 상지 심부정맥이 확장되어 있고 내부에는 혈전이 있었다(Fig. 1A-C). 우측 사각근간 삼각(interscalene triangle)에 의해 우측 쇄골하정맥이 명확하게 눌려진 소견은 없으며 우측늑쇄공간(costoclavicular space)도 좁아지거나 주변 구조물에 의해 눌려진 소견은 보이지 않아 반복적 인 작업에 의해 정맥이 눌린 노력혈전증( effort thrombosis)으로 생각하였다.
Fig. 1. A-C
Multiplan ar reconstructed images (A-C) shows contrast filling dtfecte (arrows) within right subclavian van.
시술방법 및 재료
우측 팔꿈치에서 상완정맥 (brachial vein)을 천자하여 6Fr A-sheath를 삽입한 후 시행한 상행정맥조영술(ascending venography)에서 상부 상완정맥 (high brachial vein)부터 쇄골하정맥까지 혈전으로 생각되는 충만결손(filling defect)이 있었고 중심정맥 이 폐쇄되어 있으면서 측부정맥(collateral vein)이 보였다(Fig. 2A). Sheath를 통해 11cm 길이의 multisidehole infusion catheter(Cook, Bloomington, U.S.A,)를 삽입하여 도관유도 혈전용해술(catheterdirected thrombolysis)을 시행하였다 (Fig. 2B). 시간당 10만 IU의 속도로 유로키나제(urokinase) 주입하였고 sheath의 side arm으로는 시간당 500unit 의 속도로 헤파린을 주입하였다. 총 28시간동안 280만 IU의 유로키나제를 주입한 후 다시 상행정맥조영술을 시행하였다. 이전에 보였던 심부정맥 혈전들은 거의 변화가 없었고 우측 쇄골하정맥에서 정맥조영 (venography)을 시행했을 때 쇄골하정맥이 심하게 협착되어 있었다(Fig. 3A). 하지만 좁아진 혈관을 통해 상대정맥(superior vena cava)으로 조영제가 통과하는 것이 보였다(Fig. 3B). 협착 부위를 guidewire로 통과시켜 풍선확장술 (balloon angioplasty) 을 시행하였다. 8mm x 4cm Ultrathin balloon catheter (Boston Scientific, Watertown, USA)를 사용하여 15기압까지 최대한 확장(full dilatation)시켰다. Waist 없이 쉽게 확장되어 12mm-4cm Ultrathin balloon catheter (Boston Scientific, Watertown, USA)를 사용하여 10기압까지 다시 확장시켰고 역시 waist는 보이지 않았다 (Fig. 3C). 이후 시행한 상행정맥조영술에서 측부정맥은 더 이상 보이지 않고 혈류는 좋은 상태였다 (Fig.3D).
시술 후 1년 동안 항응고요법 (anticoagulation treatment)으로 와파린 5mg을 복용하였다. 1년 후 시행한 조영증강 CT에서 쇄골하정맥을 포함한 우측 상지 심부정맥에 보였던 혈전은 없어졌고 부종도 호전되었다(Fig. 4).
Fig. 2.
A, Ascaiding venogram of right upper extremity demonstrates total occlusion of axillary and subclavian veins with multiple collateral vessels.
B, A 11cm - long infusion catheter with multiple sideholes was inserted into right axillary and subclavian veins for catheter -directed thrombolysis with urokinase.
Fig. 3.
A, Ascaiding venogram of right upper extremity after 28-hour continuous infusion of urokinase shows remained stenosis in subclavian van. Venogram dononstrates severe stenosis (arrow) in orifice of right subclavian vein. C, The stenotic segment of right subclavian vein was dilated with a 12mm-diamtered balloon cathete-. D, Completion venogram shows ndther significant residual stenosis nor collateral veins after balloon angioplasty.
Fig. 4.
Axial CT image after one year shows good patency of right subclavian vein without evidence of residual thrombosis
고찰
쇄골하정맥의 노력혈전증은 종양과 같은 전신질환이나 반복적인 도관삽입에 의해 생기는 이차성 혈전증과 달리 일정한 원인 없이 자연적으로 생기는 일차성 혈전증으로 심부정맥 혈전증 중 약 3%정도로 드물게 발생하는 질환으로 알려져 있다, 정확한 원인은 알 수 없으나 반복적으로 팔을 사용하는 직업을 가지고 있거나 운동을 하는 사람에게서 주로 생기는 것으로 보아 흉곽출구(thoracic outlet)에서 쇄골하정맥이 반복적으로 눌리면서 생기는 것으로 보인다. 주로 나타나는 증상은 만성적으로 쇄골하정맥이 폐색될 경우 동측 상지에 동통, 부종, 청색증, 정맥확장 등의 증상들이 보이고 급성인 경우에는 상기 증상들이 더 심하게 나타날 수 있다. 진단을 위해서는 duplex 초음파검사,전산화단층촬영 또는 고식적 혈관조영 술을 시행할 수 있다. Duplex 초음파검사는 비침습적으로 정맥혈전증을 진단할 수 있고 반복 시행할 수 있을 뿐 아니라 혈전증 치료 후 추적관찰에도 용이하다. 혈관조영술의 경우는 정맥혈전증의 위치와 측부혈관을 확인할 수 있고 전산화단층촬영 혈관조영술의 경우 주변구조물과의 관계를 파악할 수 있다는 장점이 있지만 고식적 혈관조영술의 경우 침습적이라는단점이 있다.
노력혈전증의 치료에 있어서는 아직 확실히 정립된 치료는 없고 환자, 혈전증의 위치, 치료하는 병원에 따라 다르지만 좀더 적극적인 혈관내 치료 (endovascular treatment)를 하는 것이 요즘 추세이다. 도관유도 혈관용해술은 도관을 혈전이 있는 부위까지 위치시킨 후 도관을 통해 유로키나제를 지속적으로 투여하는 방법으로 혈전의 형성을 억제할 뿐 아니라 직접적으로 혈전을 용해시킬 수 있다.그 외 수술적으로 제 1 늑골 또는 쇄골을 부분적으로 절제하거 나 전삼각근, 쇄골하근, 늑쇄인대 등 흉곽출구를 구성하는 연부조직을 절단하여 정맥주위의 압박요인을 제거하는 외부감압술(extrinsic decompression)을 시행할 수 있으나 이에 대해서도 노력혈전증이 있는 모든 환자에서 시행해야 한다는 의견과 반복적 또는 지속적인 정맥협착이 있거나 증상이 지속되는 경우에 시행해야 한다는 의견이 논란 중에 있다. 풍선확장술 또는 스텐트 삽입을 통한 혈관성형술의 경우에는 일반적으로 수술을 통한 해부학적 감압술 없이 권장되지 않는다. 그 이유는 흉곽출구의 해부학적 구조물에 의한 외부압박(external compression)으로 인해 풍선확장술 시행 후 협착 재발과 스텐트 삽입 실패의 가능성이 높기 때문인 것으로 생각한다.
하지만 본 증례에서는 흉곽출구의 해부학적 이상소견 없이 쇄골하정맥에 혈전증이 있는 환자에서 도관유도 혈관용해술 후 수술을 통한 외부 감압술 없이 풍선확장술을 통해 쇄골하정맥의 협착을 교정하였고 1년 후 시행한 전산화단층촬영 혈관조영술에서 쇄골하정맥에 혈전증 재발소견은 보이지 않았다. 따라서 쇄골하정맥의 노력혈전증에 있어서 외부감압술 없이 혈관성형술을 하는 것은 권장되지 않았으나 본 증례와 같이 해부학적으로 흉곽출구가 좁아져 있어 풍선확장술을 시행하여도 혈전증에 의한 협착이 재발될 것이 강력히 의심되는 경우가 아니라면 혈관성형술보다 더 침습적인 수술을 통한 외부감압술 없이 풍선확장술을 통한 혈관성형술을 통해 협착을 교정할 수 있을 것으로 생각되며 추후 추적관찰을 통해 노력혈전증 재발에 의한 쇄골하정맥의 협착이 있을 때에 수술을 통한 외부감압술을 고려할 수 있을 것으로 생각한다.
참고문헌
1. 안관홍, 박장상, 문인성,김승남, 고용복. 쇄골하정맥의 노력 혈전증 . 대한 맥관외과학회지 1997;13:124-129
2. AbuRahma AF, Robinson PA. Effort subclavian vein thrombosis: evolution of management. J Endovasc Ther 2000;7:302-308
3. Smith RA, Dimitri SK. Diagnosis and management of subclavian vein thrombosis: three case reports and review of literature. Angiology 2008;59:100-106
4. Schneider DB, Dimuzio PJ, Martin ND, et al. Combination treatment of venous thoracic outlet syndrome: open surgical decompression and intraoperative angioplasty. J Vase Surg 2004;40:599-603
5. Schneider DB, Curry TK, Eichler CM, Messina LM, Gordon RL, Kerlan RK. Percutaneous mechanical thrombectomy for the management of venous thoracic outlet syndrome. J Endovasc Ther 2003;10:336-340
6. Urschel HC Jr, Razzuk MA. Paget-Schroetter syndrome: what is the best management? Ann Thorac Surg 2000;69:1663-1669
7. McGIinchey PG, Shamsuddin SA, Kidney JC. Effortinduced thrombosis of the subclavian vein--a case of Paget-Schroetter syndrome. Ulster Med J 2004;73:45-46
8. Divi V, Proct아 MC, Axelrod DA, Greenfield LJ. Thoracic outlet decompression for subclavian vein thrombosis: experience in 71 patients. Arch Surg 2005;140:54-57
Citations
Citations to this article as recorded by
