중심단어
Trauma, adrenal hemorrhage, embolization
임상소견
특별한 기저질환이 없었던 환자로 5m 높이에서 낙상으로 인하여 응급실로 내원하였다. 환자의 활력징후는 안정적이 었고 혈색소 수치 역시 11.2g/dL로 확인되었으나, 간기능 수치 증가가 관찰이 되어 복부 고형장기에 대한 평가의 필요성이 있었고 복부 전산화단층촬영을 시행하였다.
진단명
Post-traumatic adrenal hemorrhage
영상소견
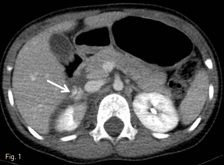
조영제를 사용한 복부 전산화단층촬영 상 오른쪽 간엽에 간열상이 확인되었고, 오른쪽 부신의 열상과 활동성 출혈 및 후복막 혈종이 확인되었다 (Fig.1).
Fig. 1
Contrast-enhanced CT demonstrates active bleeding at the right adrenal gland with ipsilateral hematoma in retroperitoneum.
시술방법 및 재료
초음파 유도하 우측 총대퇴동맥을 천자하여 4 Fr sheath (Terumo, Tokyo, Japan)를 삽입하였고, 4 Fr pig-tail catheter (Cook, Bloomington, USA)를 통한 대동맥조 영술 상 부신동맥은 확인되지 않았다. 이에 부신동맥 기시부 확인을 위해 4 Fr cobra catheter (Terumo, Tokyo, Japan)을 사용하여 오른쪽 신장동맥조영술을 시행하였으나 역시 부신동맥은 확인되지 않았다. 이후 4 Fr cobra catheter을 사용한 오른쪽 아래가로막동맥조영술에서 상, 중, 하 부신동맥 모두 확인되며 이와 함께 조영제의 혈관 외 유출을 확인할 수 있었다 (Fig. 2).
부신동맥에 대한 색전을 계획하였고 상, 중 부신동맥은 직경이 너무 작아 microcatheter를 통한 초 선택은 제한이 있을 것으로 판단되어 상, 중 부신동맥의 분지를 포함하는 오른쪽 아래가로동맥에 대한 색전을 계획하였다. 이에 2.0 Fr microcatheter (Progreat; Terumo, Tokyo, Japan)을 이용하여 오른쪽 아래가로막동맥을 초 선택 하였고 N-butyl-2-cyanoacrylate (histoacryl; B.Braun, Tuttlingen, Germany)와 Lipiodol (Guerbet, Paris, France) 1:4 혼합물을 이
용하여 색전술을 시행하였다.
이후 4Fr cobra catheter를 통한 추적 오른쪽 아래가로막동맥조영술에서 상, 중 부신동맥에 대한 색전은 잘 확인되나, 하 부신동맥을 통한 혈류 흐름이 확인되었다 (Fig. 3A). 이에 하 부신동맥에 대한 보다 자세한 평가를 위해 microcatheter를 사용하여 하 부신동맥을 초 선택하였고, 선택적 조영술 상에서 오른쪽 부신의 하부 실질이 확인되나, 활동성 출혈이 있는지 여부는 확실히 배제할 수 없었다. 이에 Gelfoam (Alicon, Zhejiang, China)을 이용하여 색전을 시행하였다. 그러나 시술 과정 중 작은 가성동맥류가 확인되어 (Fig. 3B), NBCA와 Lipiodol 혼합물을 사용하여 추가 색전술을 시행하였다. 이후 추적 오른쪽 아래가로막동맥조영술에서 혈관 외 유출이 없음을 확인하고 시술을 종료하였다 (Fig. 4).
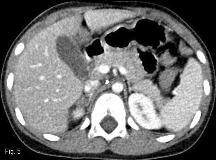
1개월 뒤 추적 복부 전산화단층촬영 상 오른쪽 부신경색과 함께 후복막 혈종의 감소 (Fig. 5) 를 확인할 수 있었고 환자는 시술 후 부신기능부전등의 합병증은 관찰되지 않았다.
Fig. 2
Right inferior phrenic artery (RIPA) arteriogram reveals superior (black arrow), middle (white arrow) and inferior (arrow head) adrenal arteries originated from RIPA and extravasation of contrast medium.
Fig. 3
A. After embolization of theright superior and middle adrenal arteries, follow up RPIA arteriogram shows intact right inferior adrenal artery. And we couldn' t exclude the possibility of the active bleeding of right inferior adrenal artery. So we took preven tive embolization about the right inferior adrenal gland with gelfoam.
B. While taking embolization of right inferior adrenal artery, we found out the pseudoaneurysm (arrow) at the right inferior adrenal artery. So we took additional embolization about the pseudoaneurysm with mixture of Lipiodol and NBCA.
Fig. 4
After embolization, the extravasation of contrast medium no more was deteted.
Fig. 5
Follow-up CT obtained 1 month after embolization reveals decrease in amount of retroperitoneal hematoma with infarction of right adrenal gland.
고찰
복부 전산단층촬영의 촬영빈도가 올라감에 따라 복부 둔상이나 심하지 않은 외상에서 예상하지 못했던 부신 손상의 발견빈도가 올라가고 있다. 부신 출혈을 일으키는 기전에 대한 설명은 세 가지가 있는데 부신의 위치가 척추와 간 사이에 있어 압박받을 수 있다는 것, 하대정맥의 압박에 의한 부신 내 정맥압 상승 그리고 감속 손상에 따른 작은 혈관들의 전단과 부신 피막의 천공이 그것이다.
부신 내 대량출혈이 생길 수 있는 것은 상, 중, 하 부신동맥을 통한 복잡한 혈관공급과 관련이 있을 수 있다. 각각의 동맥은 10개에서 20개의 작은 분지를 내게 되고 이것들은 부신의 바깥 편에서 서로 교통을 하며, 일부는 직접 수질을 가로지르게 된다. 그래서 이러한 혈관 중 한 가지에 대해 색전술을 하더라도 같은 편의 부신에 경색이 쉽게 일어나지 않는다. 부신출혈 환자의 치료는 환자의 혈역학적 안정성과 부신 손상의 정도에 따라서 다양하게 이루어지나, 최근 미세침습적인 경도관 색전술이 많이 사용되고 있다.
여러 문헌에 대해 조사해 보았을 때, 부신출혈로 인해 경도관 색전술을 받은 소아 환자의 증례는 찾을 수 없었다. 증례 환자의 경우, 모든 부신동맥들은 오른쪽 아래가로막동맥에서 기원을 하였고 조영제의 혈관외 유출이 발견되었다. 상, 중, 하 부신동맥을 모두 색전하였고, 이로 인해 부신 경색이 발생하였으나 부신기능부전등의 합병증은 관찰되지 않았다.
참고문헌
1. Dinc H, Simesek A, Ozyavuz R, Ozgur GK, Gumele HR. Endovascular treatment of massive retroperitoneal haemorrhage due to inferior adrenal artery injury: a case report. ActaRadiol 2002; 43: 326-328.
2. Ikeda O, Urata J, Araki Y, et al. Acute adrenalhemorrhage after blunt trauma. Abdom Imaging 2007; 32: 248-252.
3. Velmahos GC, Chahwan S, Falabella A, et al. Angiographicembolization forintraperitoneal and retroperitoneal injuries. WordJ Surg 2000; 24: 539-545.
4. Rammelt S, Mucha D, Amlang M, et al. Bilateraladrenal hemorrhage in blunt abdominal trauma. J Trauma 2000; 48: 332-335.
5. NikihilAgrawal, SudhakarRao, Rene Zellweger, et al. Adrenal pseudoaneurysm due to blunt trauma. Indian J Surg 2013; 75: 115-157.
6. Amy M. Fowler, John F. Burda, Seung Kwon Kim. Adrenal Artery Embolization: Anatomy, Indications, and Technical Considerations. AJR 2013; 201: 190-201.
Citations
Citations to this article as recorded by
