중심단어
Hepatic artery aneurysm, coil embolization
임상소견
Esophageal cancer로 수술을 위해 시행한 검사에서 우연히 hepatic artery의 aneurysm이 발견. 수술장에서 esophagectomy 후 stomach을 흉곽으로 끌어올리는 과정에서 문제가 될 가능성 있다고 보고 수술계획을 보류, 인터벤션 의뢰.
진단명
Hepatic artery aneurysm
영상소견
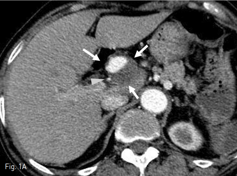
CT에서 proper hepatic artery에 wide neck을 가지고 있는 직경 3cm의 aneurysm이 있으며, 내부는 일부 thrombi로 차있음 (Fig. 1).
Fig. 1
Axial (A) and Coronal (B) CT images showed partially thrombosed aneurysm (arrow) at the proper hepatic artery (arrow head).
시술방법 및 재료
우선, 동맥류의 정확한 모양을 확인하기 위해서, 우측총대퇴동맥에 5 Fr sheath를 retrograde insertion 한 후 RH catheter를 이용해서 common hepatic artery의 DSA (Fig. 2A)와 cone-beam CT(Fig. 2B)를 시행함. Properhepatic artery의 직경은 약 2.8mm, 길이는 1.8cm, aneurysm의 neck은 1.3cm 정도임. 동맥류의 coil embolization시행으로 hepatic arterial supply에 문제가 발생하면 간수치의 상승으로 환자의 수술 스케줄이 지연될 것이라 생각함. 이에 proper hepatic artery를 보존하기 위해서 balloon-assisted coil embolization을 계획함. 우측총대퇴동맥 sheath를 8 Fr sheath로 교체한 후, 8 Fr guiding catheter를 common hepatic artery까지 진입시킴. Y-connector 3개를 연결시켰고 heparin이 섞인 N/S로 guiding catheter 내부가 계속 flushing되도록 함. Microcatheter와 guide wire를 이용하여 proper hepatic artery aneurysm을 지나 우측 간동맥 peripheral portion까지 도달 한 후, 길이 300cm의 0.014 wire로 교체하고 micro balloon을 삽입하여 aneurysm neck에 위치시킴. Balloon에 의한 proper hepatic artery손상을 최소화하기 위해, proper hepatic artery의 직경보다 작은 2.5mm x 2cm balloon을 사용함. 이후 동맥류 내부에 골고루 coiling
이 되도록 2.5 Fr Renegade (straight type)과 2.5Fr Renegade STS (angled ty pe)를 동시에 insertion하여 두 개의 catheter tip이 각각 동맥류 내부의 다른 위치에 위치하도록 navigation시킴 (Fig 2C). Balloon을 inflation시킨 후, 2개의 microcatheter를 통하여 interlock coils을 사용하여 embolization 시작함. Aneurysm neck으로 coil이 빠져 나오지 않도록 interlock coils을 사용하여 아주 주의 깊게 coil packing을 진행함. 최종적으로 직경 14mm ~3mm 크기의 interlock coils을 모두 24개를 사용하여 동맥류의 내부를 완전히 채움. Follow up celiac angiography에서 동맥류은 coiling packing되어 flow는 전혀 보이지 않았고, proper hepatic artery 의 flow는 유지되어 liver쪽으로 perfusion이 이루어지고 있는 것을 볼 수 있음 (Fig. 2E). Proper hepatic artery가 약간 가늘어 보이나, balloon inflation에 의한 vasospasm의 영향을 고려했을 때, 시간이 지나면 좀 더 좋아질 것으로 생각하고 시술 종료함.
Fig. 2. Balloon-assisted coil embolization
A. DSA images showed partially thrombosed aneurysm (arrow) at the proper hepatic artery.
B. Size, neck, 3-dimentional shape, and other additional information about the aneurysm could be obtained by using volume rendered image (left side) and MIP image (right side) of Cone-beam CT.
C. Two microcatheters (arrows) were inserted into the aneurysm. 2.5mm x 2cm balloon (arrowheads) was located at the aneurysm neck. After inflating balloon catheter, coiling was started through microcatheters.
D. The aneurysm was densely packed with total 24 interlock coils
E. F/U angiography showed intact hepatic arterial perfusion without blood flow into the aneurysm.
추적관찰
Coil embolization 후 LFT는 전혀 이상이 없었으며, 이에 환자는 무사히 수술을 진행할 수 있었음. 수술 후 시행한 follow up chest CT에서 cover된 복부영상을 참조해보면 간동맥의 flow는 원활한 것을 확인할 수 있었음.
고찰
Hepatic artery aneurysm visceral aneurysm 중에서 splenic artery aneurysm 다음으로 흔한 것으로 알려져 있지만, incidence 자체가 워낙 드물기 때문에 Mayo Clinic에서 보고한 바로는 1980~1998년 사이에 전체 환자의 0.002%에서 확인되었다고 한다. 20세기 초에는 mycotic, bacterial endocarditis 등이 주된 원인이라 생각했지 만 현재는 atherosclesosis가 가장 흔한 것으로 생각하고 있고, arterial fibrodysplasia4 polyarteritis nodosa, and systemic lupus ery thematosus, Takayasu arteritis, Kawasaki disease 등의 각종 arteritis가 원인일 것으로 추정하고 있다. 또한, Marfan syndrome, Ehlers-Danlos syndrome, Osler-Weber-Rendu syndrome, and hereditary hemorrhagic telangiectasia등의 선천적 원인도 보고하고 있다. 다른 visceral aneurysm과 마찬가지로 hepatic artery aneurysm을 치료하는 이유는 rupture를 막기 위한 것이므로, 우연히 발견된 hepatic artery aneurysm의 경우 어떤 경우에 rupture의 가능성이 높은지를 알아야 하겠다. 지금까지의 보고를 종합해보면 크기가 2cm 이상의 경우 rupture의 가능성이 높아지므로 치료를 고려하는 것이 좋다고 하지만, 여전히 2~5cm 크기의 asymptomatic atherosclerotic hepatic artery aneurysm을 치료해야 할 것인가에 대해서는 controversy가 있다.
이 환자의 경우 3cm 크기의 우연히 발견된 asymptomatic hepatic artery aneurysm으로 환자의 나이를 고려해보면 치료를 하는 것에 대해 contr ov ersy 가 있겠지만, eso phageal cancer의 수술 도중 사람의 조작에 의해 rupture의 위험이 있을 것으로 생각하여 외과의사가 치료를 요청해온 증례라 하겠다. Wide neck aneurysm으로 coiling시 proper hepatic artery의 occlusion이 유발 될 수 있으며, 보통의 경우 proper hepatic artery가 시술로 인해 막히더라도 liver capsule을 통한 collateral flow, 간문맥을 통한 perfusion이 정상이라면 임상적으로 문제를 일으킬 정도의 간손상은 드물다. 하지만, 이 환자는 esophageal cancer에 대한 수술이 지연될 수 있기 때문에 neur ointervention 분야에서 intracranial aneurysm의 coiling에 종종 사용하는 balloon-assisted coil embolization technique hepaticarterial perfusion을 보존할 수 있었다. 물론, interlock coils을 사용했기 때문에, aneurysm 내부에서 모양을 만들면서 coil이 proper hepatic artery 쪽으로 빠져 나오는 것을 막을 수 있었다. 만약에 coronary artery intervention에 사용하는 stent-graft를 사용했다면, 보다 간단하게 시행할 수도 있었겠지만, aneurysm neck의 전후에 혈관이 분지하는
곳까지의 거리 (common hepatic artery에서 GDA가 분지하고 나서 aneurysm neck까지의 거리, aneurysm의 neck부터 right and left hepatic artery bifurcation까지의 거리)가 짧아서 stent-graft의 endoleak의 가능성이 높을 것으로 생각한다.
참고문헌
1. O’Driscoll, D, Olliff SP, Olliff, JFC, et al. Hepatic artery aneurysm. Br J Radiol. 1999;72:1018-1025.
2. Lal RB, Strohl JA, Piazza S, et al. Hepatic artery aneurysm. J Cardiovasc Surg. 1989;30:509-513.
3. Erskine JM. Hepatic artery aneurysm. Vasc Surg. 1973;7:106-125.
4. Abbas MA, Fowl RJ, Stone WM, et al. Hepatic artery aneurysm: factors that predict complications. J Vasc Surg 2003;38:41-45.
5. Senocak F, Cekirge S, Senocak ME, et al. Hepatic artery aneurysm in a 10-year-old boy as a complication of infective endocarditis. J Pediatr Surg. 1996;31:1570-1572.
6. Tarazov PG, Ryzhkov VK, Polysalov VN, et al. Extraorganic hepatic artery aneurysm (failure of transcatheter embolization) . HPB Surg. 1998; 11: 55-60.
7. Mays ET, Conti S, Fallahzadeh H, et al. Hepatic artery ligation. Surgery. 1979; 86: 536-543.
Citations
Citations to this article as recorded by
