중심단어
Superior vesical artery, Embolization, Postpartum
임상소견
내원 1일 전 외부 병원에서 제왕절개술로 출산한 이후 지속적인 복부 팽만 및 생체 징후 불안정을 주소로 본원으로 내원함. 내원 당시 hemoglobin 수치는 8.1g/dL이었고, 초기 혈압은 114/80mmHg, 맥박은 124/min이였음.
진단명
Laceration of superior vesical artery during Cesarean section.
영상소견
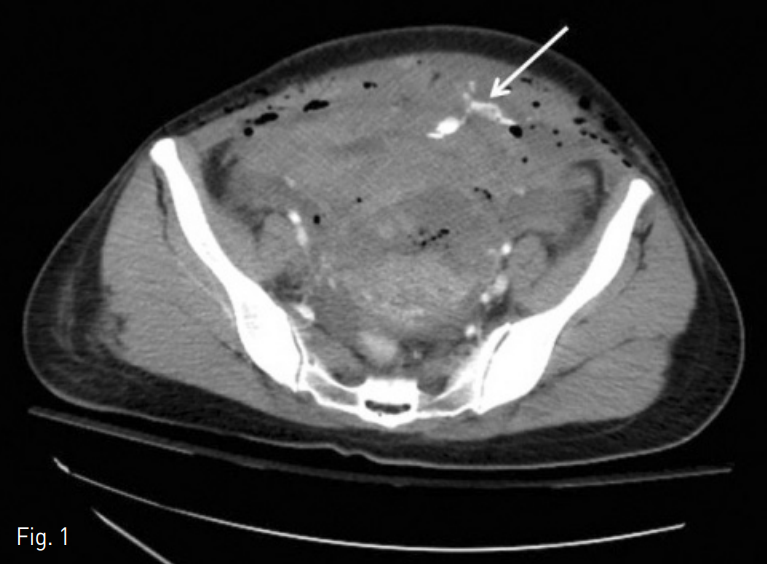
내원 당시 시행한 CT angiogram상 좌전방부 골반강에 조영제의 유출 (Fig. 1)과 주변부에 많은 양의 혈종 소견이 보였음. 하복벽에는 Cesarean section에 의한 것으로 보이는 피부종이 보였음.
Fig. 1
Axial CT angiogram shows an extravasation of the contrast media (arrow) in the left anterior pelvic cavity.
시술방법 및 재료
우측 총대퇴동맥을 천자한 후, 5 Fr sheath (Terumo, Tokyo, Japan)를 거치 시켰다. 이후 0.035 inch guide wire (Terumo, Tokyo, Japan)} 5 Fr pigtail catheter (Cook,Bloomington, IN,USA)를 이용하여 골반 동맥 조영술을 시행하였으며, 좌측 내장골동맥 분지에서 기시하는 분지에서 발생하고 있는 조영제의 유출 (Fig. 2A)을 확인하였다. 이어 5 Fr Cobra catheter (Cook, Bloomington, IN,USA)를 이용하여 좌측 내장골동맥을 선택한 후 시행한 조영술에서 동일 부위에 좌측 상방광동맥에서 기인한 조영제의 유출을 확인하였다. 2.2 Fr microcatheter (Progreat; Terumo, Tokyo, Japan)를 통해 좌측 상방광동맥을 초선택한 후 histoacryl glue (B. Braun, Melsungen AG, Germany)와 리피오돌 1 : 3 혼합액 1 cc를 이용하여 색전술을 시행하였다 (Fig. 2B). 색전술 후 다시 좌 내장골동맥 조영술에서 더 이상 조영제의 유출은 보이지 않았다 (Fig. 2C).
Fig. 2
A. Initial pelvic angiogram shows extravasation of contrast media (arrow in A) from the left superior vesical artery in left pelvic cavity.
B. We performed histoacryl (arrow in B) embolization with 1:3 mix ratio after superselection.
C. Post-embolization pelvic angiogram shows complete occlusion of bleeding focus.
고찰
산과적 출혈은 질분만 또는 제왕절개 후 6주 안에 발생하는 출혈로서 3~5%에서 치명적인 산과적 응급 상황이다. 산과적 출혈에 대한 치료가 발전하였 지만 아직도 5대 모성 사망 원인의 하나이다. 산과적 출혈의 정의는 다양하지만 일반적으로 정상분만 후 500mL, 이상 출혈이 있거나, 제왕절개 후 적어도 1,000mL의 출혈이 있는 경우로 정의된다 (1). 가장 흔한 원인은 자궁근육무력증이며, 그 외에 vaginal laceration, 혈종, 잔류태반, 자궁파열 또는 자궁내번증, 혈액응고장애, 전치태반, 유착태반 등이 있다. 제왕절개의 증가와 이에 따른 자궁반흔의 증가로 인해 태반형성의 장애에 의한 출혈이 증가하고 있다. 분만 후 출혈의 빈도는 1~11%로 다양하게 보고되었다. 보존치료에도 출혈이 계속되면 자궁 내 풍선 tamponade, internal iliac artery uterine artery ligation, hy sterectomy 등의 수술적 치료를 하게 된다. 수술적 치료는 전신마취를 요하며, 수술과 관련된 감염, 출혈, 요관손상 등의 합병증과 이로 인한 모성 이환율과 사망률이 증가한다. 또한 internal iliac artery나 uterine artery ligation은 골반강 내의 풍부한 측부순환 때문에 지혈 효과가 떨어지는 경우가 있으며, hysterectomy는 영구 불임을 초래한다. 이와 비교하여 internal iliac artery 또는 uterine artery의 경피적 색전술은 자궁과 생식능력을 보존하면서 수술적 치료보다 덜 침습적이고 이환율도 적은 효과적인 치료법이다. 출혈 동맥의 직접적인 소견은 조영제의 혈관 외 유출이며, 일반적으로 분당 0.5~1 cc의 출혈이 있을 때 혈관 조영술에 의해 인지된다. 산후 출혈시 흔하게 출혈하는 동맥으로는 uterine artery, pudendal artery, vaginal artery 등이며 드물게 inferior epigastric artery가 보고되었다 (2).
Superior vesical artery bleeding에 의한 postpartum hemorrhage는 매우 드문 경우로 Cheong등이 postpartum hemorrhage (PPH) control을 위해 시행했던 117명의 pelvic arterial embolization 환자 중 PPH의 superior vesical
artery 가 원인으로 2명 (1.7%)이 보고되었다(3).
따라서 PPH 환자의 pelvic arterial embolization을 시행할 때에는 드문 원인의 하나로 본 증례와 같이 superior vesical artery에 의한 bleeding도 고려해볼 수 있다.
참고문헌
1. Lee NK, KIM S, Lee JW, Sol YL, Kim CW, Hyun Sung K, et al. Postpartum hemorrhage: clinical and radiologic aspects. Eur J Radiol 2010;74:50-59.
2. Ko SF, Lin H, Ng SH, Lee TY, Wan YL. Postpartum hemorrhage with concurrent massive inferior epigastric artery bleeding after cesarean delivery. Am J Obstet Gynecol 2002;187:243-244.
3. Cheong JY, Kong TW, Son JH, Won JH, Yang JI, Kim HS. Outcome of pelvic arterial embolization for postpartum hemorrhage: A retrospective review of 117 cases. Obstet Gynecol Sci 2014;57:17-27.
Citations
Citations to this article as recorded by
