중심단어
Superior vesical artery embolization, hematuria, radiation induced hemorrhagic cystitis
임상소견
약 8년 전 자궁경부암으로 방사선치료 하였던 환자로, 내원 1개월 전부터 육안적 혈뇨 지속되고, hemoglobin 6.6g/dL으로 감소함.
진단명
Radiation induced hemorrhagic cystitis
영상소견
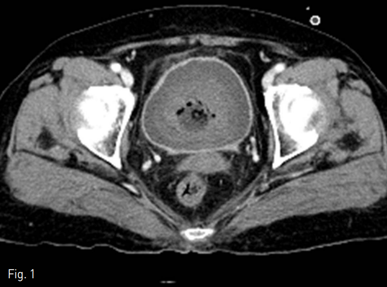
외부 병원에서 시행한 조영 증강 전 복부 CT영상에서 방광 내부에 blood clot 의심되는 소견 있음. 본원에서 시행한 조영 증강 후 복부 CT영상에서 방광벽이 두껍고 조영증강되며 방광주변에 fat strand 관찰되었음 (Fig. 1). 방광내시경에서 blood clot은 관찰되었으나 active bleeding focus는 없었음.
Fig. 1
The post contrast abdominal CT image reveals wall thickening and enhancement of the bladder with perivesical fat strand.
시술방법 및 재료
우측 총대퇴동맥을 천자하여 5 Fr sheath (Terumo, Tokyo, Japan)를 삽입한 후, pigtail catheter (Cook, Bloomington, USA)를 복부 대동맥에 위치시키고 시행한 골반동맥조영술에서 양측 총장골동맥 및 내장골동맥에 혈관 외 유출은 없었음. 5 Fr Yashiro catheter (Terumo, Tokyo, Japan)를 이용하여 좌측 내장골동맥을 선택하여 혈관조영술을 시행하였을 때, 뚜렷한 조영제의 혈관 외 유출은 보이지 않았으나 왼쪽 상방광동맥이 다소 발달되어 있어 (Fig. 2) 이를 미세도관(Progreat, Terumo, Tokyo, Japan)과 미세유도철사(GT wire, Terumo, Tokyo, Japan)로 초선택한 다음 gelfoam으로 색전하였음. 이후 오른쪽 내장골동맥을 선택하려 하였으나 severe atherosclerosis로 실패함.
이후 경과관찰에서 혈뇨 호전되었으나 7일 후 재발하여 좌측 총대퇴동맥을 천자하여 시행한 양측 총장골동맥 및 내장골동맥 혈관조영술에서도 뚜렷한 조영제의 혈관 외 유출은 보이지 않았음. 그러나 여전히 양측 상방광동맥이 다소 발달되어 보여 gelfoam을 이용한 동일한 방법으로 색전하였음 (Fig. 3). 이후 경과관찰에서 혈뇨 보이지 않고 hemoglobin 수치 정상화되어 퇴원함.
Fig. 2
The left internal iliac angiogram shows no evidence of extravasation of contrast media in the superior vesical artery (arrow).
Fig. 3
Hematuria was recurred 7 days after procedure. The selective right superior vesical angiogram shows hypervascularization without extravasation of contrast media. Both superior vesical arteries were embolized with gelfoam slurry.
고찰
출혈성 방광염은 방사선 치료, 약물, 감염, 면역억제 등에 의해 발생하는 질환으로, 치료가 어렵고, 치료 후에도 재발이 빈번하다. 이 중에서 방사선 조사로 인한 출혈성 방광염은 골반 부위에 방사선 치료를 받은 후 6개월에서 수 년 내 발생하여 현미경적 혈뇨에서부터 육안적 혈뇨까지 다양하게 나타날 수 있다. 혈뇨가 지속되는 경우 생명을 위협할 수 있어 색전술이 필요하다. CT에서는 급성일 경우 국소적 혹은 광범위하게 방광벽이 불규칙하게 두꺼워진 소견을 보이며 팽창성이 줄어든다. 또한 초음파와 CT에서 방광주위로 혈류가 증가하고 방광내부에 혈전이 보이기도 한다. MR에서는 T2강조영상에서 높은 신호를 보이며 주위에 부종과 염증소견이 관찰되고 혈괴와 방광벽이 구분되어 보인다. 만성 출혈성 방광염에서는 방광이 섬유화되어 작아져 있고 수신증이 관찰될 수 있다.
혈관 조영술로 출혈이 있는 혈관을 선택하여 젤폼, 코일, 실리콘 풍선 등 다양한 색전물질을 사용하여 근본적으로 혈뇨를 치료할 수 있다. 본 증례는 출혈성 방광염 환자에서 심한 혈뇨가 지속되어 색전술을 시행하였고 첫 시술 후에 증상 호전이 빠르게 나타났으나 재발하여 재시술하게 되었고 그 이후 빠른 호전을 보였다.
참고문헌
1. Palandri F, Bonifazi F, Rossi C et al. Successful treatment of severe hemorrhagic cystitis with selective vesical artery embolization. Bone Marrow Transplant 2005; 35:529-530.
2. De Berardinis E, Vicini P, Salvatori F, Sciarra A, Gentile V, Di Silverio F. Superselective embolization of bladder arteries in the treatment of intractable bladder haemorrhage. Int J Urol 2005; 12:503-505.
3. Anne D, Jean-Pierre C, Nicolas K et al. Outcome of transcatheter arterial embolization for bladder and prostate hemorrhage. J Urol 2010; 183:1942-1953.
Citations
Citations to this article as recorded by
