중심단어
Hepatic vein obstruction, angioplasty, stent insertion, liver transplantation
임상소견
환자는 담도 무형성증으로 생후 1개월 째 Kasai 수술을, 생후 5개월 째 간이식 수술을 받았다. 간이식 수술은 사체 부분 축소 간이식 수술이었으며, 공여자의 장골 정맥을 이용하여 간정맥과 간문맥의 성형술이 함께 시행되었다. 수술 후 6개월 째 환자는 보호자에 의해 복부 팽만과 전신 컨디션 악화를 호소하며 내원하였다. 환자는 혈액 검사 상 이전에는 큰 이상 소견이 없었으나 내원 당시 혈소판 수치 106,000/mm^3, international normalized ratio (INR) 2.49, albumin 3.1g/dL, total bilirubin 2.5mg/dL, aspartate transa minase (AST) 146U/L, alanine transaminase (ALT) 181U/L로 악화되어 있었다.
진단명
Post-transplantation obstruction hepatic venous
영상소견
복부 초음파 검사에서 간정맥의 중심 부위에 에코성의 충만결손 병변이 관찰되며 이는 혈전으로 생각되었다. 도플러 검사 상 간 정맥 내의 혈류 신호가 감지되지 않았다 (Fig. 1).
Fig. 1
A Doppler ultrasonography of an 11-month-old male patient revealed no flow signal within the hepatic vein. Note the echogenic filling defect in the central portion of the hepatic vein near the anastomosis site, which is presumed to be a thrombus (arrow).
시술방법 및 재료
초음파 유도 하에 환자의 우측 내경정맥을 천자한 뒤 혈관초를 삽입하고 5 Fr 혈관조영술용 카테터를 이용하여 간정맥 선택을 시도하였으나 실패하였다. 이어 초음파 유도 하에 22G 천자침을 이용하여 경피경간 경로를 통해 간정맥을 천자한 뒤 0.018 inch 유도철사를 삽입하고 이를 하대정맥까지 진입시켰다. 내경정맥 경로를 통해 올가미형 카테터를 하대정맥까지 진입시킨 뒤 경피경간 경로를 통해 삽입한 유도철사를 잡아 thru-and-thru technique을 이용하여 내경정맥에서 간정맥까지의 경로를 확보하였다 (Fig. 2A). 카테터 진입을 위해 3mm x 40mm 풍선 카테터 (Mustang; Boston Scientific, Natick, MA, USA)를 이용하여 혈관성형술을 시행하고 5 Fr 혈관조영술용 카테터를 삽입한 뒤 간정맥 조영술을 시행하였다. 간정맥 조영술 상 초음파 소견과 유사하게 간정맥 중심부위에 충만결손 병변이 관찰되며 간정맥에서 우심방으로의 조영제 유입은 관찰되지 않았다 (Fig. 2B). 우심방과 간정맥 사이의 압력 차이는 24mmHg로 측정되었다. 간정맥 폐쇄를 해소하기 위해 6mm x 40mm 풍선 카테터 (Mustang)를 이용하여 혈관성형술을 시행하고 다시 시행한 간정맥 조영술에서도 간정맥 폐쇄가 지속적으로 관찰되어 14mm x 30mm 자가확장형 스텐트 (Zilver; Cook, Bloomington, IN, USA)를 삽입하고 8mm x 40mm 풍선 카테터 (Mustang)을 이용하여 다시 혈관성형술을 시행하였다. 이후 시행한 간정맥 조영술 상 간정맥에서 우심방으로의 혈류가 회복되었으며 압력 차이가 5mmHg로 측정되었다 (Fig. 2C).
Fig. 2
A. After percutaneous transhepatic access of the occluded hepatic vein, a 0.018-inch guide wire was passed to inferior vena cava and snared with a goose-neck snare catheter to secure access route between the right atrium and the hepatic vein.
B. On hepatic venography, there was complete occlusion of the hepatic vein at the anastomosis site with a thrombus which was seen as a filling defect (arrow).
C. After stent insertion (14mm x 30mm) and balloon angioplasty (8mm x 40mm) at the anastomosis site, the flow from the hepatic vein to the right atrium restored, and the pressure gradient dropped from 24mmHg to 5mmHg.
추적관찰
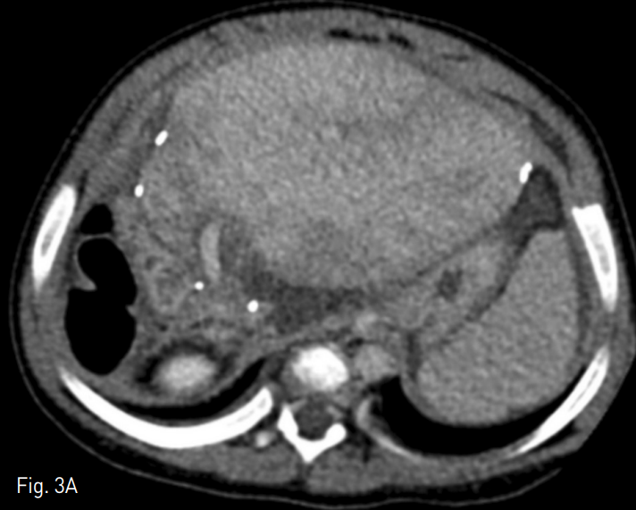
시술 후 환자의 컨디션과 혈액 검사 소견 호전되어 퇴원하였으나 시술 2주 후 다시 복부 팽만과 식이 섭취감소를 호소하며 내원하였다. 혈액 검사 소견 상 혈소판 수치 혈소판 수치 106,000/mm3, INR 1.82, albumin 3.4g/dL, total bilirubin 1.1mg/dL, AST 48U/L, ALT 49U/L로 첫 시술 전 보다는 정도가 낮으나 악화되어 있었다. 전산화 단층 촬영 상 간실질의 울혈을 시사하는 간실질의 불균질한 조영 증강이 관찰되었으며, 스텐트 내 충만결손 병변은 관찰되지 않았다(Fig. 3). 다시 환자의 내경정맥을 통해 5 Fr 혈관조영술용 카테터를 삽입하여 간정맥 내로 진입하였으며, 조영제 주입 시 혈류 정체와 함께 스텐트의 끝 주변으로 협착이 관찰되었으며 압력 차이는 19mmHg로 측정되었다 (Fig. 4A). 간정맥 협착 해소를 위해 14mm x 30mm 자가확장형 스텐트 (Zilver)를 삽입하고 8mm x 40mm 풍선 카테터 (Mustang)을 이용하여 혈관성형술을 시행하였다. 이후 시행한 간정맥 조영술 상 우심방으로의 혈류가 회복되었으며 압력 차이가 3mmHg로 줄어들었다 (Fig. 4B).
이후 환자는 외래에서 추적 관찰 중이며 두 번째 시술 후 8주 째 특이 이상 소견 및 증상 호소 없는 상태이다.
Fig. 3
A. Contrast-enhanced computed tomography revealed geographic hepatic parenchymal enhancement which reflects hepatic conges tion.
B. There was no filling defect or thrombosis in the hepatic vein and the stent (arrow).
Fig. 4
A. On contrast injection after catheter access to the hepatic vein via transjugular route, there was persistent stenosis at the anastomosis site (arrow) which is not covered by the previously inserted stent.
B. After additional stent inser tion (14mm x 30mm) and balloon angioplas ty (8mm x 40mm) at the anastomosis site the flow via the newly inserted stent (arrowheads: stent markers) to the right atrium restored, and the pressure gradient dropped from 19mmHg to 3mmHg.
고찰
간이식 후 발생하는 간정맥 협착 혹은 폐쇄는 흔히 부분 간이식 수술 후에 발생하며 보고에 따라 1%-4%의 발생율을 보인다. 간정맥 협착 혹은 폐쇄는 간의 울혈을 야기하며, 임상적으로 불응성 복수 혹은 흉수, 또는 간기능 검사 이상으로 나타날 수 있다. 병변은 일반적으로 간정맥 자체 보다는 문합 부위에서 발생하며, 임상적으로 간정맥 이상이 의심될 시에는 영상 검사를 함께 시행할 수 있다. 도플러 초음파에서는 지속적으로 단상의 파형을 보이거나 초당 10cm 이하의 느린 혈류를 보일 수 있으며, 전산화 단층 촬영에서는 간정맥이 조영 증강 되지 않거나 간정맥에 주변 혈관과 비교하여 50% 이상의 협착이 보일 수 있으며, 간실질에서는 특이적인 불균질한 조영 증강 양상을 보일 수 있다. 임상적인 확진을 위해서는 경정맥, 혹은 경피경간 경로를 통한 간정맥 조영술을 시행할 수 있으며, 조영제의 정체, 간정맥 폐쇄 혹은 협착부 전후에 3-5mmHg이상의 압력 차이가 있는 경우 진단할 수 있다.
간정맥 협착 혹은 폐쇄는 이식 간의 기능 부전으로 이어질 수 있으며, 진단 후 시행할 수 있는 일차 치료법은 흔히 혈관 내 치료법인 혈관성형술 혹은 스텐트 삽입술이 있다. 일반적인 치료 전략은 혈관성형술을 일차치료로서 채택하고 반응하지 않는 경우 반복적인 혈관 성형술이나 스텐트 삽입술을 시행하는 것이다. 이러한 치료의 장기적인 효과에 대한 보고는 제한적이며, Kubo 등에 따르면 위와 같은 전략을 채용하였을 때 간정맥 일차 개통률은 1년, 5년에 각각 60%, 60%였으며 일차 보조 개통률 및 이차 개통률은 100%였다. 일차 치료로서 스텐트 삽입술은 혈관성형술에 비해 잘 시행되지 않으나 Ko 등의 보고에서는 4주 이내의 조기 간정맥 폐쇄에 있어서는 혈관성형술은 문합부 파열 등의 합병증을 일으킬 수 있고 조기의 혈관 폐쇄의 원인을 해소하지 못하기 때문에 일차 스텐트 삽입술을 이용할 수 있으며, 이에 따른 1년, 5년 일차 개통률은 각각 82.3%, 72.4% 였다.
소아 환자의 경우에는 부분 간이식, 축소 간이식 수술이 성인에 비해 흔히 이루어지며, 공여자와 수혜자 사이의 혈관 등 구조물의 크기 불일치가 흔하기 때문에 성인에 비해 간정맥을 포함한 혈관계 합병증이 더 흔한 것으로 알려져 있다. 치료에 있어서도 장기적인 간정맥 개통을 위해서는 혈관성형술을 일차적으로 시행하는 것이 일반적이며, 스텐트 삽입술의 경우 환자의 성장을 함께 고려하여야 할 것이며, 이와 관련하여 장기적인 영향을 알 수 없기 때문에 반복적인 혈관성형술에도 반응하지 않는 환자에 제한적으로 시행하여야 한다는 의견이 우세하다.
본 증례에서는 간기능 검사 이상으로 나타난 소아 간 이식 후 간정맥 폐쇄 환자에서 혈관성형술을 시행하였으나 반응하지 않아 스텐트 삽입술을 시행하였다. 그러나 스텐트가 협착 부위에 완벽히 삽입되지 않아 비교적 이른 시기에 증상의 재발이 일어났고 다시 협착 부위에 추가적인 스텐트 삽입술을 시행하였다. 이와 같은 소아 환자에서 의 스텐트 삽입술의 장기적인 효과에 대해 알려진 바는 제한적으로, 앞으로도 신중한 정기적인 환자 진료 및 평가가 중요할 것이다.
참고문헌
1. Darcy MD. Management of venous outflow complications after liver transplantation. Tech Vasc Interv Radiol 2007;10:240-245.
2. Ko GY, Sung KB, Yoon HK, et al. Endovascular treatment of hepatic venous outflow obstruction after living-donor liver transplantation. J Vasc Interv Radiol 2002;13:591-599.
3. Kubo T, Shibata T, Itoh K, et al. Outcome of percutaneous transhepatic venoplasty for hepatic venous outflow obstruction after living donor liver transplantation. Radiology 2006;239:285-290.
4. Wang SL, Sze DY, Busque S, et al. Treatment of hepatic venous outflow obstruction after piggyback liver transplantation. Radiology 2005;236:352-359.
5. Cheng YF, Chen CL, Huang TL, et al. Angioplasty treatment of hepatic vein stenosis in pediatric liver transplants: long-term results. Transpl Int 2005;18:556-561.
6. Sakamoto S, Egawa H, Kanazawa H, et al. Hepatic venous outflow obstruction in pediatric living donor liver transplantation using left-sided lobe grafts: Kyoto University experience. Liver Transpl 2010;16:1207-1214.
Citations
Citations to this article as recorded by
