중심단어
Inferior vena cava thrombosis, thrombectomy, thrombolysis, stent
임상소견
환자는 우측 간세포암 및 하대정맥 침윤으로 진단되어 내원 1년 전 우간절제술 및 하대정맥 이식술을 시행 받으신 분임. 내원 5일전부터 시작된 복부통증으로 응급실 내원하여 전산화 단층 촬영(CT)을 시행한 결과 급성 충수돌기 염이 진단되었으며 간내부 및 간하부 하대정맥에 광범위한 혈전증이 발견 되었음. 이후 복강경하 충수돌기 제거술을 시행 받고 경과 관찰하던 도중 양측 다리에 부종 발생하였음.
진단명
Diffuse thromobosis in inferior vena cava (IVC) graft.
영상소견
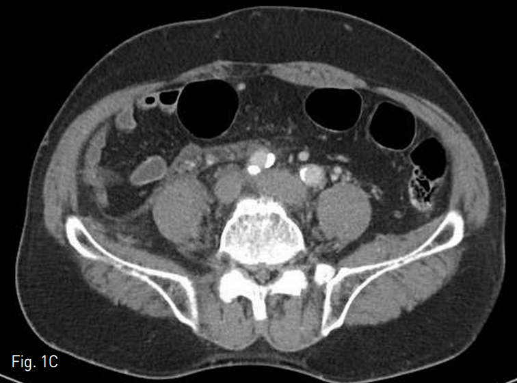
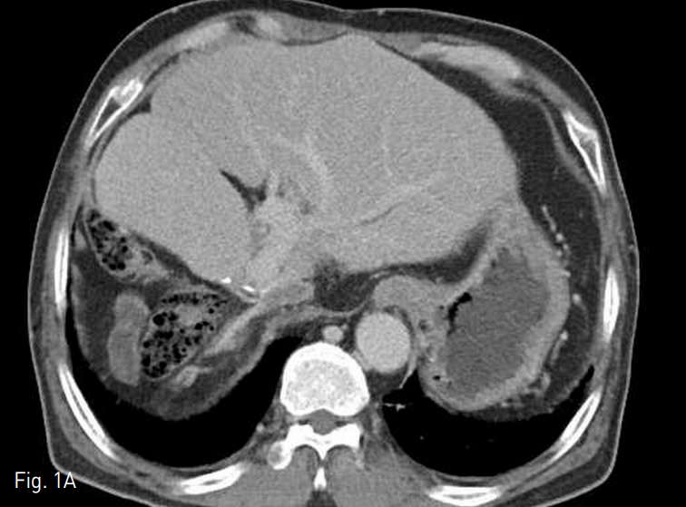
복부 전산화 단층촬영에서 간내부와 간하부의 하대정맥을 따라서 광범위한 혈전이 관찰되었고 양측 신 정맥과 장골정맥까지 혈전증이 동반되어 있었음 (Fig. 1).
Fig. 1
Diffuse thromobosis are in intrahepatic IVC (A), left renal vein (B), and both iliac veins (C)
시술방법 및 재료
초음파 유도하에 오른쪽 총대퇴정맥을 천자하였고, 5 Fr cobra catheter (Cook, Bloomington, IN, USA)를 삽입하여 정맥조영술을 시행한 결과 혈전으로 폐색되어 있는 간하부 하대정맥과 양측 신정맥 내부의 혈전 및 다수의 측부 순환들이 관찰되었다 (Fig. 2). 왼쪽 총대퇴정맥에 11 Fr arrow long sheath (Johnson & Johnson Medical, New Brunswic, Canada)를 삽입하여 왼쪽 장골 정맥과 하대정맥 내에 있던 혈전을 흡인하였고, 6 Fr fogarty balloon catheter (Edward Lifesciences, Irvine, CA, USA)을 이용하여 왼쪽 장골 정맥에 유착되어 있던 혈전도 제거하였다 (Fig. 3). 왼쪽 장골 정맥과 하대정맥 내에 잔재하는 혈전에 대해서는 MCIS thrombolysis catheter (Cook, Bloomington, IN, USA)를 삽입하여 밤 사이 12시간 동안 시간당 80,000 unit의 속도로 urokinase를 투여해서 혈전 용해술을 시행하였으며, 동시에 양측 총대퇴정맥 sheath를 통하여 heparin을 시간당 150 unit을 각각 투여하였다. 간내부 하대정맥의 혈전으로 인해 하대정맥 필터 삽입술은 시행하지 않았다.
다음 날 시행한 정맥조영술에서 하대정맥에 있던 혈전의 양은 상당히 녹았으나 신정맥 상방으로 여전히 약간의 혈전 남아있었으며 신장하부 하대정맥 의 상방, 후방 부위에 혈전이 남아있었다. 또한 오른쪽 장골 정맥에 혈전이 새로이 발생하였고, MCIS thrombolysiscatheter (Cook, Bloomington, IN, USA) 삽입 부위 하방으로 보이는 총대퇴정맥의 혈전도 여전히 남아 있었다 (Fig. 4). 이런 잔류 혈전들은 다시 흡인하였고, 오른쪽 총대퇴정맥 내의 혈전은 6 Fr fogarty balloon catheter (Edward Lifesciences, Irvine, CA, USA)를 이용하여 혈전제거술을 시행하였다.
찌그러져 있던 하대정맥 이식편에는 6 mm x 4 cm balloon catheter (Mustang, Boston Scientific, Natick, MA, USA)를 사용하여 확장시켰고, 22 mm x 6 cm stent graft (S&G, Sung-nam, Korea)를 위치시킨 후 14 mm x 4 cm balloon (Mustang, Boston Scientific, Natick, MA, USA)으로 최대한 확장시켰다. 마지막으로 시행한 정맥조영술에서 혈류가 개선되었으며, 측부 순환들도 보이지 않았다 (Fig. 5).
Fig. 2
Infrahepatic IVC is obstructed due to thromobosis, on inferior vena cavogram.
Fig. 3
A. Left iliac vein thrombus was removed using 6 Fr fogarty balloon catheter.
B. Aspiration thrombectomy was also done in left iliac vein.
Fig. 4
A. Follow up venography after overnight thrombolysis shows Remnant thrombosis in infrahepatic IVC.
B. Aspiration thrombectomy was performed again.
Fig. 5
A. 22 mm x 6 cm stent was inserted in IVC graft.
B. Follow up venography shows improved blood flow and disappeared collateral circulations.
고찰
하대정맥 혈전증을 일으키는 원인에는 하대 정맥의 선천성 기형과 후천적 원인으로 크게 구분할 수 있겠으며, 후천적 원인으로 악성 종양에 의한 혈전 형성능의 변화, 일차성 하대정맥 종양 및 다른 암에 의한 하대정맥 침윤 등에 의해 발생할 수 있다. 외상에 의한 외부압력 혹은 혈관 내벽 손상으로 인해서도 혈전증이 발생할 수 있다. 복부 수술은 하대정맥 혈전증의 중요한 원인 중 하나이며, 이번 증례와 같이 간 절제술 및 간 이식술로 인한 직접적인 하대정맥 수술에 의해서도 혈전증이 생길 수 있다. 그 외에도 신장 이식술 및 췌장, 장이식술 등의 다른 복부 수술 및 하지 수술도 원인이 될 수 있다.
하대정맥 혈전증의 치료에는 여러 가지 방법이 쓰이지만 치료법 결정을 위해서는 급성/만성인지, 특발성/이차성인 지를 고려해야 한다. 경정맥 항응고제 치료는 헤파린을 주로 사용하며, 색전증의 위험성을 줄이고, 추가적 혈전 형성을 막는 역할을 한다. 급성 하대정맥혈전증의 신속한 치료에는 부적절하지만 원위부 정맥판막 기능의 유지 및 만성 정맥 부전과 혈전 후 증후군 의 장기 위험성을 낮추는 장점이 있다. Urokinase, streptokinase, tissue plasminogen activator를 이용한 경정맥 혈전용해술은 헤파린을 사용한 항응고제 치료보다 더 효과적이지만 신속한 치료에 항상 성공적이지만은 않고, 출혈의 위험성을 높이는 단점이 있다.
약물적인 치료 외에 혈관 중재적 시술이 시도되기도 하며, 약물적 치료에 금기인 환자나 의인성 혹은 패혈성 혈전증에서 적응이 된다. 혈전제거술, 혈전용해술, 풍선 혈관성형술, 스텐트 삽입술 및 필터 삽입술 등이 있으며, 환자에 따라 복합적으로 시행된다. 흡인 카테터를 사용한 혈전 제거술은 자주 시행되는 시술이지만 완전히 혈전을 제거하지 못 하는 경우 재발의 위험성이 있다. 카테터를 이용한 혈전용해술을 시행할 경우에는 혈전 용해 카테터를 병변 부위에 삽입하여 전신적인 효과를 최소화하고, 병변 부위에만 국소적으로 작용하게 하는 이점이 있으며, 이후 이차적으로 혈관성혈술, 스텐트 삽입술, 원위부 필터 삽입을 가능하게 한다. 풍선 혈관성혈술과 스텐트 삽입술은 혈전용해술을 보완하는 역할을 하며, 중장기 개존률을 높이는 장점이 있다. 하대정맥 필터 삽입술은 신정맥 상방의 하대정맥에 필터를 삽입하여 원위부로부터의 혈전이 색전증을 일으키는 것을 방지하는 역할을 한다.
본 증례의 환자에서는 흡인 혈전 제거술을 시행하여 하대정맥 및 양측 장골정맥, 신정맥의 혈전을 감소시켰고, 남은 혈전에 대해서는 병변 위치에 카테터를 유지한 채로 밤 사이 혈전용해술을 시행하였으며, 오른쪽 장골 정맥에 새로이 발생한 혈전증에 대해서 다시 흡인 혈전 제거술을 시행하였으며, 하대정맥 이식편에 스텐트를 삽입하였다.
약물적 치료에 반응하지 않는 광범위한 혈전증 및 혈관 중재 시술의 시행이 어려운 경우이거나 추가적인 혈전 발생 예방을 위해서는 수술적 혈전제거술, 우회술등의 치료를 시도해 볼 수도 있겠다.
참고문헌
1. BJ McAree, ME O'Donnell, GJ Fitzmaurice, JA Reid, RAJ Spence and B Lee. Inferior vena cava thrombosis: A review of current practice. 2013 18: 32 Vasc Med
2. Andrew H. Sonin, MurrayJ. Mazer, Thomas A. Powers. Obstruction of the Inferior vena cava: A Multiple- Modality Demonstration of Causes, Manifestations, and Collateral pathway. RadioGraphics 1992; 12:309-322.
3. G. C. Sotiropoulosa, I.Fouzasa, A.Paula,S. Nadalina,E. P. Molmentia ,C.Valentin-Gamazo, A. Radtkea,H.K " ß uhlb,M. Malag'oa, C. E. Broelsch. Inferior vena cava Thrombosis After Right
Hepatectomy for Live Donor Liver Transplantation: A Major Donor Complication and a Satisfactory Treatment Modality. American Journal of Transplantation 2007; 7: 2836-2837.
4. Gavin Low, Ann M. Crockett, Katherine Leung, et al. Imaging of Vascular Complications and Their Consequences Following Transplantation in the Abdomen. RadioGraphics 2013;33:633-652.
5. Roberto Miraglia, Luigi Maruzzelli, Settimo Caruso, et al. Interventional Radiology Procedures in Pediatric Patients with Complications after Liver Transplantation. RadioGraphics 2009;29:567-584.
Citations
Citations to this article as recorded by
