중심단어
Ectopic varix, embolization
임상소견
기저질환으로 간경화 및 간성뇌증이 있는 환자로 토혈을 주소로 내원하였으며 시행한 컴퓨터단층촬영에서 십이지장 제이부에 이소성 정맥류가 관찰되었다. 응급상부위장관 내시경상 급성 출혈이 확인되나 출혈 부위가 명확하지 않아 내시경적 치료는 시행하지 못하였다.
진단명
십이지장 제이부에 발생한 이소성 정맥류
영상소견
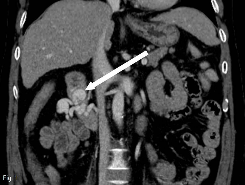
컴퓨터단층촬영상 최대 직경 약 2cm의 낭성 확장 두개를 포함한 정맥류가 십이지장 제이부에 관찰이 되었으나 활동성 출혈은 관찰되지 않았다 (Fig. 1).
Fig. 1
Contrast enhanced CT scan shows duodenal varices (white arrow).
시술방법 및 재료
초음파 유도하 우측 간문맥을 천자하여 5 Fr sheath (Terumo, Tokyo, Japan)를 삽입하였고, pig-tail catheter (Cook, Bloomington, USA)을 이용하여 시행한 간문맥 조영술 시행하였다. 간문맥 조영술상 최대 직경 2cm의 낭성 확장 및 두 개의 영양혈관을 가진 정맥류가 확인되었다 (Fig. 2A). 이후 5 Fr cobra catheter (Terumo, Tokyo, Japan) 및 2.2 Fr microcatheter (Progreat; Terumo, Tokyo, Japan)을 이용하여 아래쪽 영향혈관을 초선택 하였고, 시행한 조영술 상 오른쪽 신정맥을 경유하여 하부대정맥으로 배액되는 문맥전신단락 (portosyste mic shunt)도 확인되었다 (Fig. 2B).
이에 N-buty1-2-cyanoacrylate (Histoacryl; B. Braun, Tuttlingen, Germany)와 Lipiodol(Guerbet, Paris, France) 1:2 혼합물을 이용하여 색전술을 시행하였고, 이 과정 중 색전물질 일부가 문맥전신단락을 통해 유출되는 것이 확인되었다. 그러나 이후 추적 조영술에서 문맥전신단락을 통한 조영제 유출은 확인되지 않아 PVA particle (Contour; Boston scientific, Natick, USA)를 통한 추가 색전술을 시행하였고 microcoils 5개 (Interlock and Tornado; Cook, Bloomington, USA)을 이용하여 영양혈관의 근위부에 색전술을 시행하였다 (Fig. 3).
또한 상부 영양혈관을 마이크로 카테터로 초선택하여 조영술을 시행하였고 (Fig. 4), 시행한 조영술 상 조영제의 저류가 관찰되어 glue와 Lipiodol 혼합물을 이용해 색전술을 시행하였다.
시술 후 시행한 간문맥조영술 상에서 십이지장 정맥류로의 혈류가 관찰되지 않았다 (Fig. 5). 이에 경피적 문맥 천자 경로에 대하여 glue와 lipiodol 혼합물을 통한 색전 후 시술을 종료하였다.
시술 하루 후에 시행한 상부위장관 내시경상 출혈 소견은 확인되지 않았으며, 약 7개월간 외래 추적 상에서 위장관 출혈의 증상은 확인되지 않았다.
Fig. 2
A. Initial portogram shows duodenal varices with two feeding vessels and cystic dilatation
B. After superselection for inferior feeding vessel, portogram shows duodenal varices with portosystemic shunt, via right renal vein (black arrow).
Fig. 3
After embolization for inferior feeding vessel, variceal blood flow was no longer visible
Fig. 4
After superselection for superior feeding vessel, portogram shows contrast congestion at ectopic varices.
Fig. 5
After embolization for duodenal varices, follow up portogram shows non-visualization of ectopic varices with patent portal vein flow.
고찰
이소성 정맥류란 위식도 또는 직장 이외에 흔하지 않은 부위에 발생하는 정맥류를 뜻하는 것으로 위장관 출혈의 2%-5%를 차지한다. 또한 이는 식도 정맥류에 비해 출혈 위험이 4배 이상이고 대량 출혈 시 사망률이 40% 보고될 정도로 치명적인 질환이다. 이소성 정맥류의 원인은 간문맥항 진증 (portal hypertension) 등의 전신적 원인에 의해서도 발생하지만, 내장 정맥 부분적 폐색에 의해서도 발생된다.
이중 십이지장 정맥류 제일 또는 제2부에 주로 발생하며, 주로 간문맥이나 상간정맥에서 기원하는 영향 혈관을 가지며, 이중 일부는 문맥전신단락을 통해 하대정맥으로 배액되는 경로도 가지고 있다.
이소성 정맥류에 대해서는 아직 정립된 치료법은 없으며 주로 출혈의 위치 및 양상 그리고 간문맥항진증의 원인 등 다양한 요소에 의해서 치료가 바뀔 수 있다. 과거에는 이에 대해 수술적 치료를 우선 하였으나, 최근 내시경적 치료나 인터벤션이 이를 대체하고 있다. 정맥류가 내시경이 접근 가능한 위치에 있다면 내시경을 통해 지혈 또는 경화치료가 시행된다.
이에 대한 인터벤션적 치료는 최근 경내정맥 간내문정맥 단락술(transjugular intrahepatic portosystemic shunt, TIPS)이 많이 시행되고 있으며, 이는 식도 정맥류의 치료에서는 내시경보다 재출혈률의 감소가 효과적이라고 알려져 있으며 십이지장에서 발생한 정맥류에 서도 사망률을 줄일 수 있는 방법으로 알려지고 있다. 하지만 경내정맥 간내문정맥 단락술 같은 경우는 간성뇌증이 동반되거나 허혈성 간질환이 있는 경우에는 시행할 수 없다.
다른 치료법으로는 경피적 색전술이 있으며 경피적 색전술의 경우 주로 경간 접근을 이용하여 직접적으로 이소성 정맥류에 도달하여 정맥류를 막는 방법으로 시술의 성공률은 80%로 높으나 5개월 내 재발 확률이 65%로 높게 관찰된다.
이 환자의 경우 내시경으로 도달하기 힘든 위치에 정맥류가 위치하고 있으며, 간내문정맥 단락술의 경우 간성뇌증 환자에서 금기이기 때문에 위의 두 방법으로 치료가 힘들다. 이런 경우 과다 출혈에 의한 저혈량성 쇼크를 방지하기 위하여 경피적 색전술을 시행하여 환자의 증상을 호전 시킬 수 있다.
참고문헌
1. Akhter NM, Haskal ZJ, Diagnosis and management of ectopic varices. Gastrointest Interv 2012;1:3-10.
2. Saad WE, Lippert A, Saad NE, et al. Ectopic varices: anatomical classification, hemodynamic classification, and hemodynamic-based management. Tech Vasc Interv Radiol. 2013 Jun;16(2):158-175.
3. Park SB, Lee SH, Kim JH, et al. Successful treatment of duodenal variceal bleeding by endoscopic clipping. Clin Endosc. 2013 Jul;46(4):403-406.
4. Kang HY, Lee WK, Kim YH, et al. Ruptured duodenal varices arising from the main portal vein successfully treated with endoscopic injection sclerotherapy: a case report. Korean J Hepatol. 2011 Jun;17(2):152-156.
Citations
Citations to this article as recorded by
