중심
Duodenal varix, mesenterorenal shunt, embolization, CARTO
임상소견
간암과 간경화로 간이식술을 받음. 수술 16일째에 대량의 흑색변이 발견되고 혈액검사에서 혈색소 감소(hemoglobin 11.3g/dL → 9.1g/dL) 가 확인되어 소화관 내시경 검사를 받았음. 내시경 검사상 십이지장 상부하행각 (superior descending angle)에서 출혈을 동반한 궤양이 발견되어 발견 당일과 4일 후 두 차례에 걸쳐 hemoclip을 이용한 내시경적 결찰술 및 경화요법으로 치료했으나(Fig. 1) 혹색변과 혈색소 감소는 교정되지 않아 지속적인 수혈요법을 받고 있었음.
Fig. 1
Duodenal ulcer-like lesion with current bleeding is seen at superior descending angle of duodenum. Endoscopic hemostasis with hemoclip was attempted for the lesion.
진단명
Duodenal varix with current bleeding
영상소견
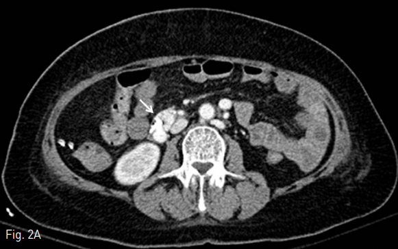
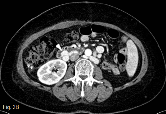
마지막 내시경적 치료 이후에 검사한 전산화 단층촬영 (CT, Computed Tomography)에서 십이지장 제3부와 제4부에 걸쳐 hemoclipping된 십이지장 정맥류가 있음 (Fig. 2A-C). 십이지장 정맥류는 상장간막정맥에서 기시하여 좌측 부신장정맥으로 연결되는 장간막신장정맥단락(mesenterorenal shunt)에 위치했음.
Fig. 2
A. Varix with hemoclipping (arrow) is seen at the 3rd/4th portion of duodenum.
B-C. Duodenal varix (arrowhead) is connected with tortuous and dilated mesenterorenal shunt (open arrow). The mesenterorenal shunt starts from superior mesenteric vein and drains to left accessory renal vein (not seen on this image).
시술방법 및 재료
초음파 유도 하에 우측 총대퇴정맥을 천자하여 9 Fr TIPS sheath를 삽입한 다음 좌측 부신장정맥으로 유입되는 장간막신장정맥단락내로 5 Fr KMP catheter를 통해 진입함. 9 Fr TIPS sheath를 장간막신장정맥단락 입구까지 진입시킨 후에 micrewire (Transend, Boston Scientific) + 2.4 Fr microcatheter (Renegade, Boston Scientific)를 사용하여 혈류방향에 역행하여(retrograde a pproach) 십이지장 제3부와 제4부에 있는 정맥류까지 진입하고 정맥조영술을 시행하여 십이지장 정맥류를 확인함 (Fig. 3A).
Sheath를 통하여 추가로 2번째 microcatheter를 장간막신장정맥단락의 중간 부위까지 진입시킨 후에 유출정맥을 Interlock Detachable Coil (Boston Scientific) 4ea, Nester coil (Cook Medical) 6ea로 색전술을 시행함 (Fig. 3B).
유출정맥에 대한 코일 색전술 후 정맥류 내부로 microcatheter tip을 넣어 gelatin sponge particle (Cali-Gel,Hangzhou Alicon Pharm)로 색전술을 시행했으며 이후 시행한 정맥조영술에서 남아있는 정맥류가 관찰되어 NBCA (Histoacryl, B Braun) : iodized oil (Lipiodol, Guerbet) 1 : 3 mixture 4cc로 추가적인 색전술을 시행함 (Fig. 3C).
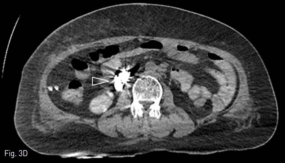
색전술 직후에 시행한 추적 전산화 단층촬영에서 십이지장 정맥류가 방사선비투과성 Lipiodol로 완전 충전된 것을 확인함 (Fig. 3D).
Fig. 3
A. The venogram of mesenterorenal shunt shows duodenal varix. A microcatheter is advanced into the duodenal varix through tortuous mes en terorenal shunt (arrow). The hemoclips (arrowhead) applied to varix is seen around the varix.
B. Embolization with microcoils (open arrow) was done for draining vein of mesenterorenal shunt which is distal to duodenal varix.
C. Complete occlusion of duodenal varix is achieved after NBCA casting (open arrowhead).
D. The duodenal varix is completely filled with radiopaque lipiodol (open arrowhead) on follow-up CT scan.
추적관찰
시술 후부터 혈색소 감소는 수혈치료에 반응하여 호전되었으며 흑색변도 줄어들어 며칠 뒤에는 정상으로 확인됨.
고찰
십이지장 정맥류는 이소성 정맥류의 한 종류로 간문맥고혈압 환자의 0.4%에서 발생하는 드문 합병증 중 하나이다. 십이지장 팽대부가 가장 흔한 호발 부위이고 십이지장 제2부에서 두 번째로 많으며 원위부에서는 드물다. 출혈이 동반되는 경우는 드문 것으로 알려져있다.
십이지장 정맥류에 대한 정형화된 치료법은 아직까지 확립되지 않았지만 일차적인 치료법으로 내시경 정맥류 결찰술 (endoscopic variceal ligation)이나 내시경 경화요법 (endoscopic injection sclerotherapy)과 같은 내시경적 치료법이 널리 받아들여 지고 있다. 그러나 조직 손상, 천공 등의 위험이 존재하고 내시경 치료만으로는 장시간 동안의 지혈효과를 기대하기 어려우며 특히 직경 15mm 이상의 정맥류는 내시경 결찰술로 치료가 어렵다.
위와 같은 이유로 내시경적 치료 실패나 내시경적 치료의 적응증이 되지 않는 십이지장 정맥류 치료로 TIPS (경정맥 간내 문맥정맥 단락술, Transjugular Intrahepatic Portosystemic Shunt)나 BRTO (역행성 경정맥 풍선 폐쇄술, Balloon-occluded Retrograde Transvenous Obliteration), 혈관색전술 이 시행될 수 있다. 최근 vascular plug나 coil 을 이용한 PARTO (Plug-Assisted RetrogradeTransvenous Obliteration), CARTO (Coil-Assisted Retrograde Transvenous Obliteration)등의 gastric varix 치료법이 발표되고 있으며 이를 duodenum 등에 발생한 varix의 치료에도 응용할 수 있다.
참고문헌
1. Helmy A, Al Kahtani K, Al Fadda M. Updates in the pathogenesis, diagnosis and management of ectopic varices. Hepatol Int. 2008;2:322-334.
2. Edward W. Lee, Sammy Saab, Antoinette S. Gomes, Ronald Busuttil, Justin McWilliams, Francisco Durazo, Steven-Huy Han, Leonard Goldstein, Bashir A. Tafti,John Moriarty, Christopher T. Loh and Stephen T. Kee. Coil-Assisted Retrograde Transvenous Obliteration
(CARTO) for the Treatment of Portal Hypertensive Variceal Bleeding: Preliminary Results. Clin Transl Gastroenterol. 2014;Oct;5(10): e61.
Citations
Citations to this article as recorded by
