중심단어
Percutaneous drainage, limited accessibility, preexisting surgical drain
임상소견
건강검진상 발견한 진행성위암에 대해 위전절제술을 시행받은 지 10일 째 되었을 때, 십이지장 절단 끝과 식도소장문합부위 주변으로 거치해 놓은 Jackson-Pratt 배액관으로의 배액량이 줄고 39도 이상의 열이 나기 시작하여 배액관 검사 및 교체가 의뢰됨.
영상소견
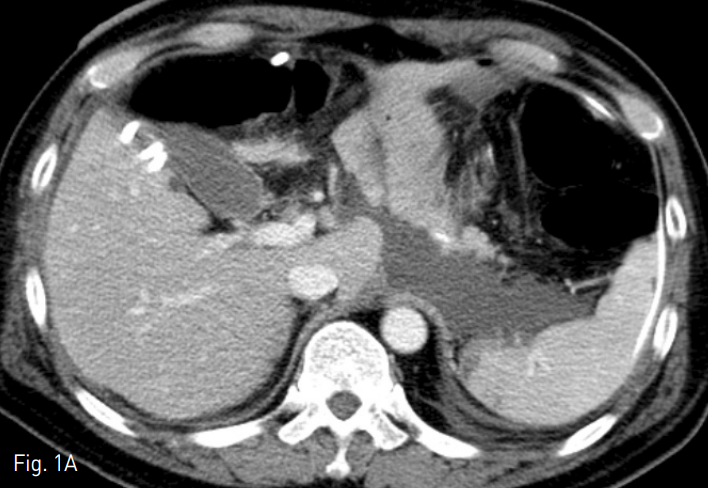
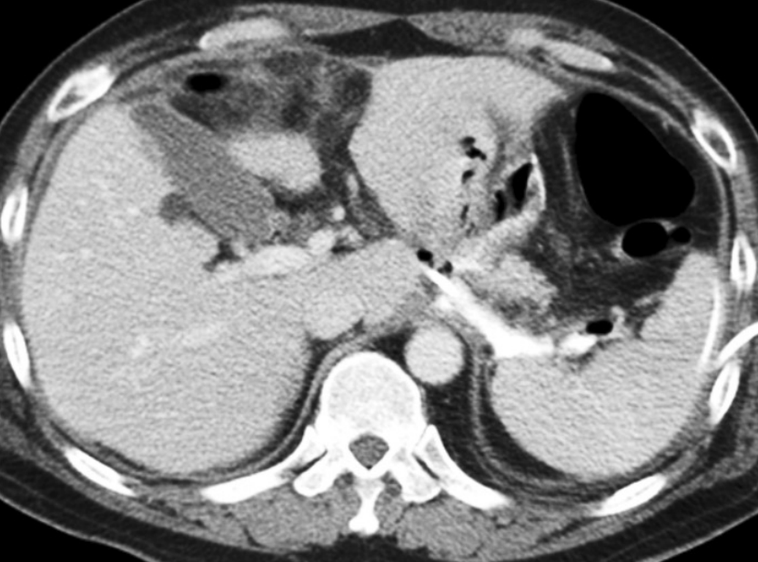
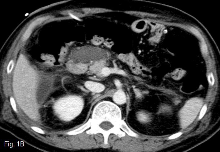
수술 후 10일 째에 시행한 전산화단층촬영에서 식도 소장문합부위 하방과 췌장후방구역, 십이지장 절단 끝의 앞쪽으로 구획화된 액체 저류가 있고 오른 결장주위 공간으로도 액체저류가 있음. 해당 액체 저류들은 미약한 조영 증강이 동반되어 있어 감염된 액체 저류의 가능성이 있고, 이와 같은 소견은 식도소장문합부위 또는 십이지장 절단 끝의 누출 가능성을 시사하는 소견임 (Fig. 1).
해당 부위 주변으로 Jackson-Pratt관이 거치되어 있으나 효과적인 배액이 안되고 있는 것을 알 수 있으며 복부단순촬영에서 해당 관은 복강 내에서 매우 구불구불한 형태로 보이고 있으며 중간 부위에서는 U자 모양의 회전 부위도 보이고 있어 단순히 유도철사를 이용한 카테터 교환은 어려울 것으로 생각되었음 (Fig. 2).
Fig. 1
A-B. Contrast-enhanced axial CT scan shows localized fluid collection in extent of inferior aspect of esophagojejunostomy site, retropancreatic area, anterior aspect of duodenal stump, and right paracolic gutter.
Fig. 2
A-B. An erect abdominal plain radiograph shows Jackson-Pratt drainage catheter with tortuous passageway including U-turn course (annotated with blue colored line).
시술방법 및 재료
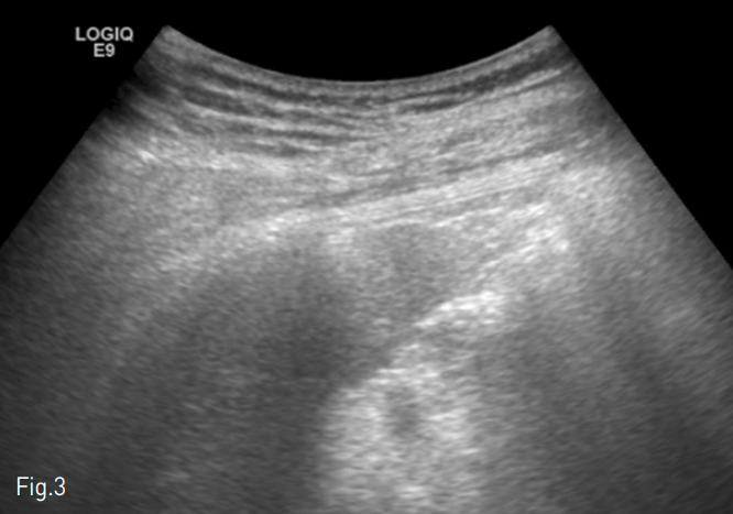
카테터의 U자 모양의 회전부위를 지나면서 피부 아래 공간의 경로가 최단거리이자 직선 경로가 되는 지점을 조준하여 초음파 유도하에 22 gauge Chiba needle로 카테터를 천자하였음 (Fig. 3). 그 후 조심스럽게 바늘을 뒤로 빼면서 hair wire를 초음파와 투시 유도하에 조정하여 바늘이 카테터 바깥 공간에 위치하는 지 확인하였음 (Fig. 4). 이후에 hair wire가 카테터 바깥 공간의 성숙 경로 (maturated tract)를 따라 진입시키고 yellow sheath로 교체하여 조영제를 주입하였을 때 액체 저류가 조영되는 것이 보임 (Fig. 5). 0.035 inch hydrophilic guidewire를 진입시킨 후 8.5 Fr multi-sidehole biliary drainage catheter (Cook, Bloomington, IN, USA)를 거치하였음 (Fig. 6). 이후 50cc 정도의 냄새가 나는 연노란색의 농이 배액되어, 카테터를 배액용기에 연결한 후 시술을 종료함.
Fig. 3
Gray scale ultrasound image shows linear hyperechoic Jackson-Pratt drainage catheter at the subcutaneous peritoneal area.
Fig. 4
Ultrasonography and fluoroscopy guided 22 gauge Chiba needle is inserted in to the Jackson Pratt drainage catheter induced maturation tract directly on anteroposterior (A) and right 45 degree oblique (B) fluor oscopy images. Hair wire in the Jack son-Pratt drainage catheter induced matur ation tract on fluoroscopic image (C).
Fig. 5
Contrast material is infused to visualize localized fluid collection through 5 Fr yellow sheath.
Demonstration of localized fluid collection around esophagojejunostomy site and anterior aspect of duodenal stump.
These findings were correlated with CT findings.
Fig. 6
8.5 Fr multi-sidehole biliary drainage catheter (Cook, Bloomington, IN, USA) was deployed.
추적관찰 소견
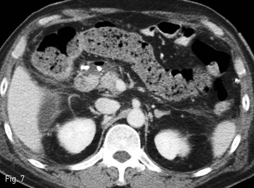
시술 1일 뒤 시행한 경과 관찰 전산화단층촬영에서 이전에 보이던 문합부위 주변과 십이지장 절단 끝에 액체저류는 보이지 않았음 (Fig. 7). 그 외 동맥류 등의 수술의 합병증 없이 퇴원하고 외래로 항암치료 계획함.
Fig. 7
Contrast-enhanced axial CT scans on 1 week after the procedure show markedly decreased extent of fluid collection with PCD catheter insertion.
고찰
복강 내 농양이나 액체 저류를 치료함에 있어 경피적 배액술은 중요한 위치를 차지하고 있으며, 따라서 안전한 경피적 접근 경로의 유무는 시술에 있어 매우 중요한 요소가 된다. 그 중에서도 수술 후에 생긴 복강 내 농양이나 액체 저류는 수술에 따른 해부학적 구조의 변형을 동반하고 있기 때문에 경피적 경로의 확보가 대부분 어려워질 수 있으며 대부분의 표적 병변들은 주변 중요한 장기들에 의해 둘러싸인 경우가 많아 더욱 어려운 상황이 된다. 이러한 배경에서 수술시에 거치한 예방적 배액관 경로를 통한 접근법은 경피적 배액술에서 큰 도움이 될 수 있다. 수술 후 발생한 액체 저류 및 농양에 대해, 이전에 거치되어 있던 수술 시의 배액관을 이용해 접근, 시술하는 방법은 1982년 Sacks 등에 의해 처음 제시되었으며 1986년 Zajko 등에 의해 적용되었다. 국내에서도 2006년 Kim 등에 의해 56 예의 횡경막하 공간과 36 예의 췌장 주변 공간에 시도된 바가 보고되었고 95%의 성공률을 보였다. 2013년 An 등에 의해서는 이전 배액관이 제거되었음에도 그 관으로 인해 형성된 성숙 경로에 대해서 천자하여 원하는 위치에 관을 위치시키는 방법으로 92.9%의 성공률을 보고한 바 있다. 본 증례는 이전 배액관이 유지되어 있는 상태지만, 그 배액관의 경로가 U 자 모양 회전을 비롯하여 매우 구불구불한 바, 직접 유도철사를 이용하여 카테터를 교체하기에는 경로가 유실될 가능성이 높은 상태였다. 이러한 상황에서 이전 배액관으로 인해 형성된 성숙 경로를 중간 부위에서 직접 천자하여 최대한 직선경로를 확보하여 성공적으로 카테터를 교체하고 배액을 함으로써 임상적인 성공을 거두었다. 만약 수술 시 거치된 배액관의 경로를 이용해야 하는 경우인데 그 경로가 매우 구불구불하여, 고식적으로 유도철사 유도하 카테터 교체시 경로를 유실할 위험이 있는 경우, 본 증례와 같은 방법을 시도해 보는 것이 도움이 될 것이다.
참고문헌
1. Maher MM, Gervais DA, Kalra MK, et al. The inaccessible or undrainable abscess: how to drain it. RadioGraphics 2004; 24: 717-735.
2. Gervais DA, Brown SD, Connolly SA, Brec SL, Harisinghani MG, Mueller PR. Percutaneous imagingguided abdominal and pelvic abscess drainage in children. RadioGraphics 2004;24:737-754.
3. Martin EC, Karlson KB, Fankuchen EI, Cooperman A, Casarella WJ. Percutaneous drainage of postoperative intraabdominal abscesses. AJR Am J Roentgenol 1982;138:13-15.
4. Levy M. Intraperitoneal drainage. Am J Surg 1984;147:309-314.
5. Dougherty SH, Simmons RL. The biology and practice of surgical drains. I. Curr Probl Surg 1992;29:559-623.
6. Memon MA, Memon B, Memon MI, Donohue JH. The uses and abuses of drains in abdominal surgery. Hosp Med 2002;63:282-288.
7. Sacks BA, Vine HS, Bartek S, Palestrant AM. Postoperative abscess drainage in patients with established sinus tracks or drains. Radiology 1982;142:537-538.
8. Zajko AB, Steed DL, Webster MW, Bron KM. Repositioning catheters in surgically drained abscesses. Am J Surg 1986;151:300-304.
9. Aassar OS, LaBerge JM, Gordon RL, et al. Percutaneous management of abscess and fistula following pancreaticoduodenectomy. Cardiovasc Intervent Radiol 1999;22:25-28.
10. Gervais DA, Hahn PF, O'Neill MJ, Mueller PR. Percutaneous abscess drainage in Crohn disease: technical success and short- and long-term outcomes during 14 years. Radiology 2002;222:645-651.
Citations
Citations to this article as recorded by
