중심단어
Minimal invasive treatment, infected pancreatic necrosis, acute pancreatitis
임상소견
만성알코올의존 외 다른 기저질환이 없는 환자로 2일 전 시작한 복통과 발열을 주소로 응급실로 내원함. 생체징후는 안정되어 있었으나 39도의 고열과 함께 증상의 호전 없이 악화되는 통증이 지속되었음.
진단명
급성 괴사성 췌장염, 감염성 췌장 괴사
영상소견
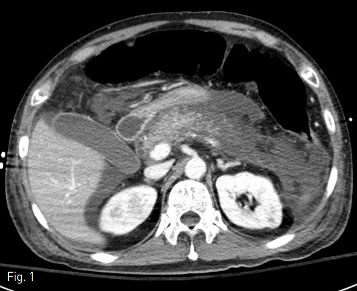
응급실 내원 후 시행한 전산화 단층촬영에서 비교적 정상실질의 고음영이 유지되어 있는 췌장 두부와는 달리 췌장 경부, 체부에는 경계가 정확히 그려지지 않는 저음영 구역이 보이고 있으며 조영 증강의 정도도 떨어지는 것이 보임. 이와 더불어 췌장주위구역과 전방콩팥 주위공간에 구획화된 액체 저류가 있고 오른 결장주위 공간으로도 액체 저류가 보이고 있음. 해당 액체 저류들이 경계가 매우 잘 그려지는 격막에 둘리싸여 있지는 않았으나 주변 복막이 상대적으로 두꺼워 보이면서 미약한 조영 증강도 보이고 있어 감염된 액체 저류의 가능성이 있을 것으로 생각되었음. 이와 더불어 장이 전체적으로 공기에 의해 늘어나 있는데 장마비가 동반되어 있는 것으로 보임. 이와 같은 소견은 급성 괴사성 췌장염과 이에 동반된 췌장 주위 액체 저류의 소견임 (Fig. 1). 전산화 단층촬영에서 방사선비투과성 담석은 보이지 않았으며 췌장 동맥의 거짓동맥류도 없었음.
Fig. 1
Contrast-enhanced axial CT scan shows diffuse pancreas parenchymal swelling, decreased enhancement of pancreas body and tail portion, and peripancreatic acute necrotic collection, other fluid collection at right anterior pararenal space. In conclusion, these findings are compatible with acute necrotizing pancreatitis with associated acute necrotic and peripancreatic fluid collection.
시술방법 및 재료
초음파 유도하에 왼쪽 측와위에서 췌장 미부 주위 액체 저류를 조준하여 22 gauge Chiba needle로 천자하였음. 조영제를 주입하여 액체 저류 안에 들어온 것을 확인하고 차례로 확장기를 진입시킨 후 18 Fr Thal-Quick chest tube (Cook, Bloomington, IN,USA)를 거치하였음 (Fig. 2). 이후 냄새가 나는 연갈색의 농이 배액되어, 카테터를 배액용기에 연결한 후 시술을 종료 함. 이후 2개월간 11번 동안 혈관조영실을 방문하여 평균 8000cc정도의 생리 식염수를 이용한 적극적인 세척과 함께 50cc 관장용 주사기로 흡인하여 괴사 제거술을 시행하였음 (Fig. 3). 출혈을 피하기 위해, 괴사 제거술은 흡인으로 쉽게 제거되는 괴사물 정도에 대해서만 국한하여 시행하였으며, 과도한 유도철사의 움직임은 최소화하였음. 흡인물에서 육안으로 신선 혈액이 확인되는 경우는 바로 시술을 종료하였음. 2개월 뒤 추적 전산화 단층촬영술 축상면 영상에서 삽입되어 있는 도관과 함께 주변 괴사 조직과 액체 저류가 양이 매우 감소한 것을 확인하였음 (Fig. 4). 당시에도 거짓동맥류 등의 중요 합병증은 보이지 않았음. 이에 14 Fr MSL catheter (Cook, Bloomington, IN, USA)로 교체하여 배액을 마무리하기로 하였음. 이후 조영제를 주입하였을 때 소장과의 샛길이 보였고 통제된 샛길 (controlled fistula)를 형성하기 위해 1주일간 카테터를 유지하기로 하였음. 1주일 뒤에 환자 이전의 발열 및 복통 증상이 호전되어 다시 악화되지 않음을 확인한 후 유도철사와 5 Fr KMP catheter (Cook, Bloomin gton, IN, USA)를 이용하여 샛길의 경로를 조영제로 확인하고 4mm MicroNester (Cook, Bloomington, IN,USA)와 Histoacryl (B. Braun, Melsungen, Germany),
Lipiodol Ultra Fluride (Guerbet, Roissy, France)의 혼합물을 이용하여 색전술을 시행하였음. 이후 조영제를 주입하였을 때 더 이상 소장으로의 샛길은 보이지 않아 Nelaton catheter를 이전의 삽입경로에 일시적으로 거치한 후 시술을 종료하였음 (Fig. 5).
Fig. 2
Contrast accumulation through 5 Fr yellow sheath insertion after ultrasonograhy guided 22-gauge Chiba needle puncture (A). Up to 18 Fr rigid dilator was advanced coaxially over the 0.035 inch hydrophilic guide wire, progressively (B). 18 Fr Thal-Quick chest tube (Cook, Bloomington, IN, USA) was placed (C). The final catheter position can be confir med radiographically with contrast material (D).
Fig. 3
The patient underwent massive saline irrigation (average total volume of normal saline: 8000cc) and aspiration necrosectomy using 50cc enema syringes. Procedure was performed eleven times in two months (A). Decreased extent of contrast accumulation at fluid cavity compared wi th ini tial fluoroscopic image (B).
Fig. 4
Contrast-enhanced axial CT scan on 2 months after initial CT scan shows markedly decreased extent of previous walled-off necrosis, remaining small amount of fluid collection along the drainage catheter at left anterior pararenal space.
Fig. 5
Fistula between fluid cavity and jejunum was noted (A). Successful navigation to fistula tract was done with 0.035inch hydrophilic guide wire and 5 Fr KMP catheter (Cook, Bloomington, IN, USA) (B). Controlled fistula tract was embolized with 4mm Tornado (Cook, Blooming ton, IN, USA) and Histoacryl (B. Braun, Melsungen, Germany), Lipiodol Ultra Fluride (Guerbet, Roissy, France) mixture. Post-embolization tubogram showed no demonstation of previous fistula. Nelaton catheter was deployed to formation of con trolled fistula (C). 1 week later, bedside removal of Nelaton catheter was done.
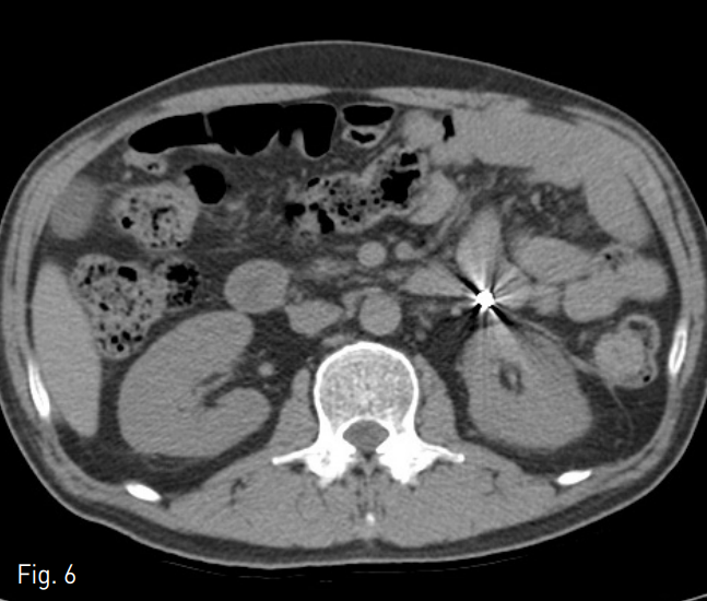
추적관찰
마지막 시술 3주 뒤 외래에서 시행한 경과 관찰 비조영 전산화 단층촬영에서 이전에 보이던 췌장주위구역과 전방콩팥주위공간에 구획화된 액체 저류나 오른 결장주위 공간의 액체 저류는 보이지 않음. 이전 색전술이 시행된 소장의 주위로도 누출을 시사하는 비정상 액체 저류는 보이지 않았음 (Fig. 6).
Fig. 6
Contrast-enhanced axial CT scan on 2 months after tract embolization shows nearly disappeared state of previously demonstrated walled-off necrosis and fluid collection at anterior perirenal space. There is no evidence of recurrence of jejunal fistula, too.
고찰
췌장염은 조직학적 형태에 따라서 간질성 췌장염과 괴사성 췌장염으로 분류된다. 급성 췌장염의 80-90%를 차지하는 간질성 췌장염은 대부분 보존적 치료만으로도 호전된다. 그러나 급성 췌장염의 10-20%를 차지하는 괴사성 췌장염은 사망률이 14-25%에 이르고, 괴사성 췌장염의 20-35%에서 감염이 동반될 수 있어 사망률이 더욱 증가된다. 특히 이들 환자에서 괴사된 췌장 부위의 이차적인 감염은 패혈증과 다장기 부전으로 발전되므로 정확한 진단과 중재적 시술이나 수술적 치료를 필요로 한다. 괴사성 췌장염에서 이차적 감염은 어느 시기에도 발생할 수 있지만 보통 증상 발현 약 2-4주 후에 주로 발생한다. 복부 영상에서 췌장 괴사 부위에 공기음영이 관찰되면 강력하게 감염을 의심할 수 있고, 괴사 조직이나 주위 수액의 균 동정으로 감염을 증명할 수 있다. 균 감염은 복부 전산화 단층촬영 또는 초음파 유도하 세침흡인을 통하여 진단될 수 있고, 이 시술의 진단 정확도는 89-100%로 높다.
감염성 췌장 괴사에 환자에서 초기에는 항생제 투여와 보존적 치료를 하여 괴사 제거술을 가능하면 최대한 지연하고 임상적 상황이 악화되거나 패혈증으로 진행하는 소견이 보이면 괴사 부위의 배액술과 괴사 제거술이 시행될 수 있다. 급성 췌장염 발병 후 4-6주가 지나면 정상췌장과 괴사된 췌장의 경계구분이 분명해지고 괴사 부분이 액화되므로 괴사 제거술이 용이하고 괴사제거술의 합병증을 최소화 할 수 있다. 최근에는 개복수술에 따르는 높은 사망률과 합병증을 줄이고, 대부분 패혈증과 다발성 장기 부전에 의한 중증 췌장염 환자들에게 수술 스트레스를 최소화하기 위해서 다양한 경로를 통한 최소침습 시술들이 시행되고 있고 기존의 개복 수술보다 더 좋은 결과들을 보고하고 있다. 지금까지 보고된 괴사성 췌장염에 대한 최소 침습 술식은 경피적 배액법, 내시경적 배액법, 복강경을 이용한 괴사 제거술 등이 있다. 그 중 경피적 중재 방사선적 치료는 12-30 Fr 대구경의 경피 도관을 좌측 복벽을 통하여 후복강내의 병변 부위에 삽입하여 적극적인 세척과 함께 배액하는 방법이다. 후복막접근 방식은 일반적으로 오염과 장관 유출을 피할 수 있고, 후에 더 큰 내경을 가진 도관 접근을 위한 초석이 될 수 있어 많이 이용되고 있다. 체계적인 문헌 검토로 보고한 경피적 배액술을 받은 381명의 괴사성 췌장염 환자에서 17.4%의 사망률을 보고하였고, 변연절제술 없이도 경피적 배액만으로 치료할 수 있다고 보고하였다. 필요에 따라서는 이 통로 를 통하여 내시경을 삽입하여 괴사된 물질을 제거할 수 있고, 수술의 가교 역할로 이용 될 수 있다. 본 증례는 급성췌장염과 동반된 감염성 췌장 괴사와 액체 저류가 있는 환자에서 경피적 배액술만으로 개복술 없이 치료하였고, 또한 급성췌장염의 합병증으로 생긴 소장과의 샛길 또한 인터벤션을 통해 성공적으로 색전술을 시행하여 임상적인 성공을 거둔 경우이다.
참고문헌
1. Uhl W, Warshaw A, Imrie C, et al. IAP guidelines for the surgical management of acute pancreatitis. Pancreatology 2002;2:565-573.
2. Werner J, Feuerbach S, Uhl W, et al. Management of acute pancreatitis: from surgery to interventional intensive care. Gut 2005;54:426-436.
3. Rodriguez JR, Razo AO, Targarona J, et al. Debridement and closed packing for sterile or infected necrotizing pancreatitis: insights into indications and outcomes in 167 patients. Ann Surg 2008;247:294-299.
4. Howard TJ, Patel JB, Zyromski N, et al. Declining morbidity and mortality rates in the surgical management of pancreatic necrosis. J Gastrointest Surg 2007;11:43-49.
5. Clancy TE, Benoit EP, Ashley SW. Current management of acute pancreatitis. J Gastrointest Surg 2005;9:440-452.
6. Parikh PY, Pitt HA, Kilbane M, et al. Pancreatic necrosectomy: North American mortality is much lower than expected. J Am Coll Surg 2009;209:712-719.
7. Connor S, Raraty MG, Howes N, et al. Surgery in the treatment of acute pancreatitis: minimal access pancreatic necrosectomy. Scand J Surg 2005;94:135-142.
8. Navaneethan U, Vege SS, Chari ST, Baron TH. Minimally invasive techniques in pancreatic necrosis. Pancreas 2009; 38:867-875.
9. Van Brunschot S, Bakker OJ, Besselink MG, et al. Treatment of necrotizing pancreatitis. Clin Gastroenterol Hepatol 2012;10:1190-1201.
10. Van Santvoort HC, Besselink MG, Bakker OJ, et al. A step-up approach or open necrosectomy for necrotizing pancreatitis. N Engl J Med 2010;362:1491-1502.
Citations
Citations to this article as recorded by
