중심단어
Transsplenic approach, abscess, drainage
임상소견
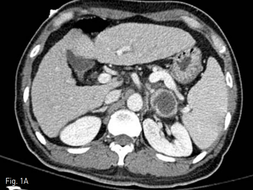
위 정맥류에 대하여 내시정적 정맥류 차단술 시행 후 발열을 주소로 내원하였다. 혈액 배양 검사에서 Streptococcus angimosus 동정되어 Ceftizoxime 투여 후 음전되었으나 발열 지속되어 복부 전산화 단층촬영술을 시행하였다.
진단명
Abscess at left anterior pararenal space
영상소견
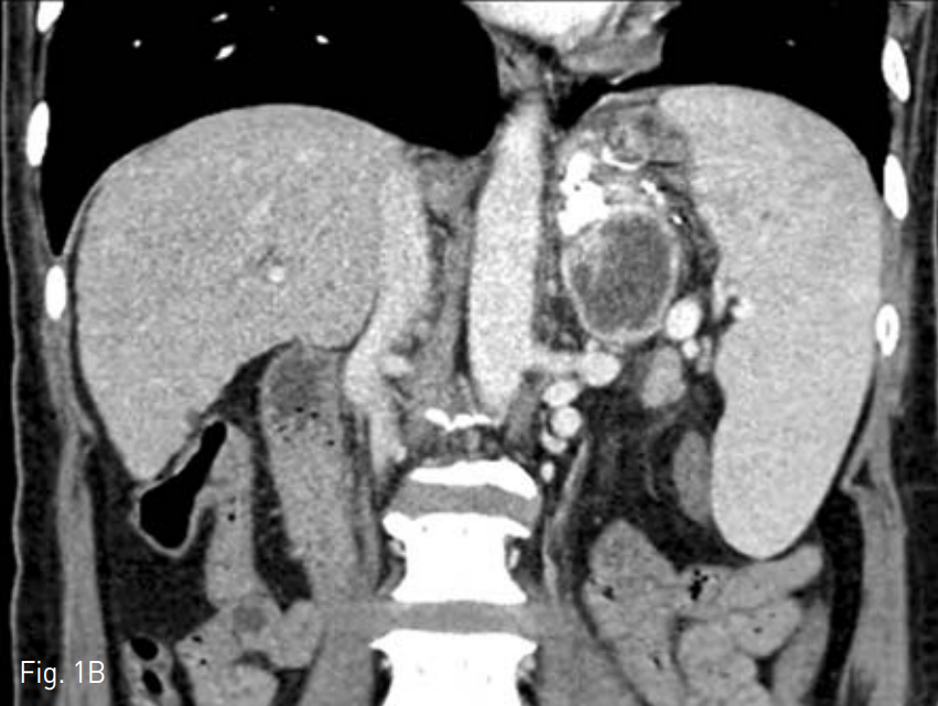
조영증강 전산화 단층촬영술 상 위 기저부에 정맥류 차단술을 시행한 것이 관찰되며 이와 이어지면서 좌측 전방 신 주위 공간에 4cm 크기의 농양이 관찰되었다(Fig. 1A, B).
Fig. 1
Contrast enhanced axial (A) and coronal (B) CT scan shows 4cm sized abscess at left anterior pararenal space.
시술방법 및 재료
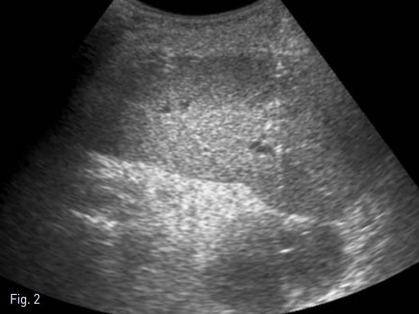
리도카인으로 국소마취를 시행한 후 초음파 유도 하에 비장문에 위치한 농양을 비장을 겅유하이 18G Chiba needle로 천자하였다(Fig. 2). 0.035-inch 유도철사(Terumo, Tokyo, Japan)을 삽입한 뒤 이를 따라 8.5-Fr pigtail catheter(Cook, Bloomington, IN, USA)를 삽입하여(Fig. 3) 40cc의 고름을 배액 하였다.
Fig. 2
Gray scale ultrasound image shows linear hyperechoic Chiba needle inserted through the spleen.
Fig. 3
Final fluoroscopic image shows adequate placement of drainage catheter within the contrast filled abscess cavity.
추적관찰
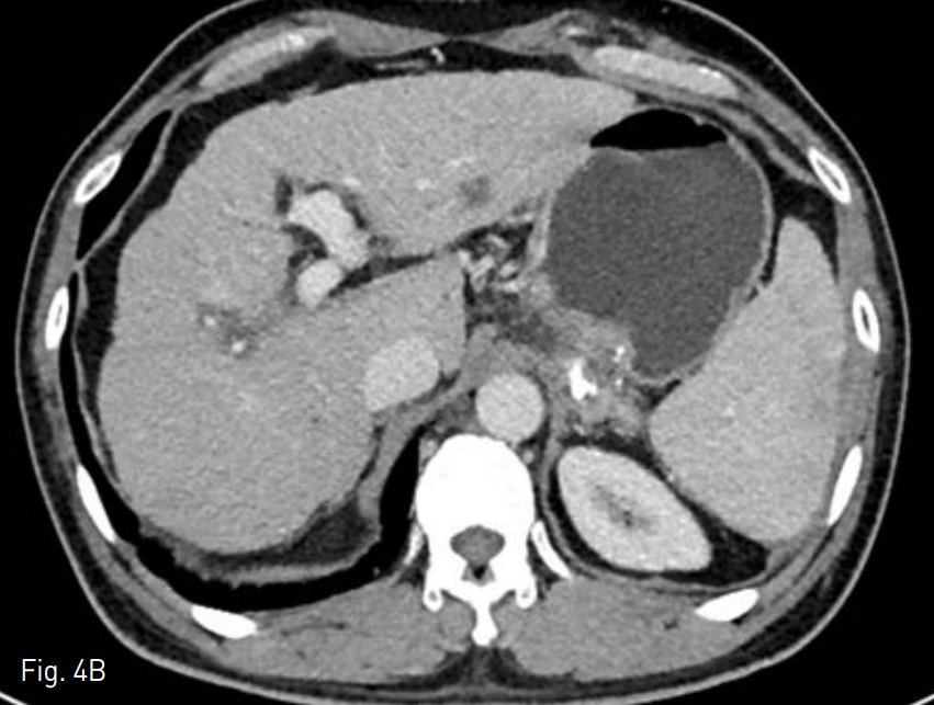
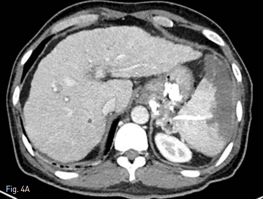
이후 발열은 관찰되지 않고 배액양이 5cc 이하로 감소하였으며 배액관을 통해 시행한 관조영술상 농양강이 허탈 되어 배액관을 제거하였다. 시술 1주일 후 촬영한 조영증강 전산화 단충촬영술에서 허탈된 농양강과 함께 비장에 경색으로 의심되는 쐐기 모양의 저음영의 영역이 관찰되었으나(Fig. 4A) 3개월 뒤 시행한 검사에서 저음영의 영역은 사라진 것을 관잘할 수 있었다(Fig. 4B).
Fig. 4
A. Contrast enhanced CT scans obtained a week after the procedure shows decreased amount of abscess. Notice the wedge shaped low density lesion in the spleen, suggesting splenic infarction
B. Contrast enhanced CT scans 3 months after the procedure shows disappearance of low density lesion in the spleen.
고찰
농양은 고름이 국소적으로 모인 것이 조직이나 장기내부 또는 제한된 공간 내에 발생한 것이다. 경구 또는 경정맥 항생제는 능양의 내부에서 세군의 증식을 억제할 만큼 충분한 농도에 도달하기 힘들기 때문에 농양 치료에 있어서 내용물의 완전한 배액이 필수적이다. 특히 초음파 유도하 또는 전산화 단충환영술 유도하의 경피적 배액술은 농양의 치료에서 안전하고 효과적이므로 최근 광범위하게 이용되고 있다.
대부분의 농양은 복잡하지 않은 접근 방법으로 경피적으로 배액을 시도할 수 있다. 하지만 농양의 위치나 주변 구조물들에 의해 접근이 힘든 경우가 있다. 특히 본 케이스와 같은 비장문이나 심와부, 췌장 주변에 농양이 위치해 있을 경우 소장과 대장, 장간막 혈관과 후복막 혈관 등을 피해야 하기 때문에 더욱 접근이 힘들다. 이런 경우 간경유 접근, 위경유 접근, 십이지장 경유 접근, 간비장길을 통한 접근, 좌측 또는 우측 전방 신장 곁 공간을 통한 접근, 척추주위 접근의 방법을 시도해 볼 수 있다. 하지만 본 케이스에서는 위, 비장, 좌측 신장과 함께 비장혈관이 농양을 둘러싸고 있어 위와 같은 접근 방법을 시도하는데 제한이 있었고, 대체수단 으로 비장경유 접근법을 시도해 보았다.
비장은 많은 양의 혈액이 공급되는 기관으로 출혈의 가능성으로 인해 인터벤션에서는 사용이 제한되었으나 최근 문맥계 인터벤션에서 하나의 접근방법으로 사용되고 있다. 비장을 통한 인터벤션에서 발생할 수 있는 합병증으로서는 비장 내 또는 피막하 혈종, 경색, 혈복강, 흉수 등이 11.1~ 16.7%에서 발생할 수 있다. 본 케이스에는 출혈의 소견은 관찰되지 않았고. 시술 후 비장경색이 발생하였으나 경과 관찰 영상에서 회복이 된 것을 확인하였다.
결론적으로 접근이 제한된 위치에 존재하는 농양의 경피적 배액술에서 비장경유 접근법은 타 접근법이 제한될 경우 대체 수단으로 사용될 수 있을 것으로 생각된다.
참고문헌
1. 대한인터벤션영상의학회. 인터벤션 영상의학 제2판. 2014:585-595.
2. Michael MM, Debra AG, Mannudeep KK, et al. The inaccessible or undrainable abscess: how to drain it. RadioGraphics. 2004; 24:717-735.
3. Chu HH, Kim HC, Jae HJ, et al. Percutaneous transsplenic access to the portal vein for management of vascular complication in patients with chronic liver disease. Cardiovasc Intervent Radiol. 2012;35:1388-1395.
4. Liang HL, Yang CF, Pan HB, et al. Percutaneous transsplenic catheterization of the portal venous system. Acta Radiol. 1997;38:292-295.
Citations
Citations to this article as recorded by
