중심단어
Iliac vein, Aneurysm, Stent-graft
한글 초록
원발성 외장골정맥 aneurysm은 매우 드문 질환이다. 우리는 야뇨 증상으로 내원한 40세 남성에서 발견된 외장골 정맥 aneurysm을 스텐트-그라프트 설치술로 치료한 증례를 보고하고자 한다. CT와 정맥 조영술을 통해 5.6 X 5.2 X 7.4 cm 크기의 외장골정맥 aneurysm을 확인하였으며, 스텐트-크라프트 설치 후 추적 관찰에서 aneurysm은 거의 완전히 사라졌다.
영문 초록
Primary venous aneurysms are very rare vascular malformation. We report a case of a 40-year-old male who was admitted for nocturia due to compression of bladder by giant aneurysm of external iliac vein. CT and venography showed an aneurysm of the left external iliac vein measuring 5.6 X 5.2 X 7.4 cm. Aneurysms almost completely disappeared in follow-up after stent-graft placement.
Introduction
정맥에 생기는 aneurysm은 흔하지 않은 질환으로 주로 목정맥(cervical vein), 흉부 정맥(thoracic vein)에서 발생하며, 장골 정맥의 aneurysm은 매우 드물다. 장골 정맥 aneurysm의 증상은 골반장기의 압박, 국소 혈전증, 혈전색전증, 또는 파열에 의해서 발생한다. 이러한 정맥 aneurysm은 외과적 수술에 의해 치료되어왔다. 우리는 원인을 알 수 없는 원발성 외장골정맥 aneurysm으로 인한 방광 압박 증상을 호소하는 환자에서 성공적인 혈관 내 치료를 보고하고자 한다.
Case report
증례
40세/ 남자
임상소견
2년 전부터 시작된 야뇨증상으로 비뇨기과 외래에 내원하였으며, 시행한 신체검진상에서 좌측 하복부에 종괴가 촉진되었다.
진단명
Giant External Iliac Vein Aneurysm
영상소견
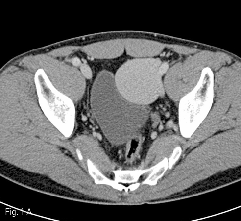
야뇨증상과 좌측 하복부 종괴에 대한 평가를 위해 시행한 CT에서 좌측 골반강에 약 5.6 X 5.2 X 7.4 cm 크기의 경계가 뚜렷하고 조영증강을 보이는 병변이 있으며, 방광의 전외측을 압박하고 있었다. 이 병변은 외장골 정맥과 연결되어 있고, 외장골 정맥과 동일한 정도의 조영증강을 보였다 (Fig. 1A). 좌측 하지에서 시행한 정맥조영술에서 좌측 외장골 정맥에서 기인하는 saccular aneurysm이 확진되었다 (Fig. 1B).
시술방법 및 재료
좌측 오금 정맥을 초음파 유도하에 천자한 후, 7-Fr long sheath (Destination, Terumo, New Jersey, USA)를 삽입하고, 5-Fr 도관을 좌측 외장골 정맥 원위부에 위치시켜 혈관 조영술을 시행하였다. 좌측 외장골 정맥류의 위치를 확인하고, 12-Fr long sheath (Flexor, Cook, Indiana, USA)로 교체하여 14.5 mm X 10 cm 와 14.5 mm X 7 cm 크기의 스텐트-그라프트 (Excluder, Gore, Arizona, USA)를 충분히 겹쳐서 위치시키고, 14 mm X 4 cm 풍선카테터를 이용하여 확장시켰다. 시술 후 외장골 정맥의 aneurysm 내로 조영제의 누출이 없음을 확인하고 시술을 마쳤다. (Fig. 2)
추적관찰
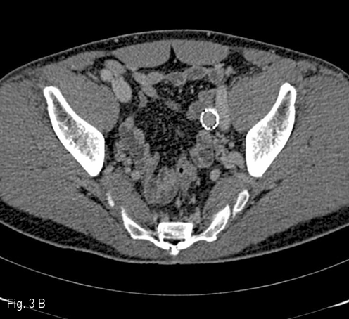
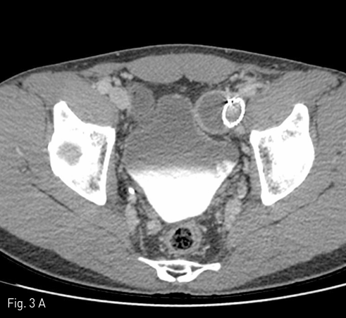
좌측 외장골정맥 aneurysm에 대한 스텐트-그라프트 설치 8개월 뒤 CT 상 aneurysm의 크기가 약 3.5 X 3.3 X 3.0 cm로 감소하였으며 (Fig. 3A), 3년 5개월 뒤 CT에서 aneurysm이 거의 남아 있지 않았다 (Fig. 3B)
Fig 1A
(A) CT shows enhanced mass lesion associated with the left external iliac vein.
Fig 1B
(B) Venography shows contrast filling in the aneurysm originated from the left external iliac vein.
Fig 2
After stent-graft placement, venography shows successful exclusion of aneurysm from the left external iliac vein.
Fig 3A
At 8 (A) and 41 (B) months follow-up CT show a gradual decrease in size and complete disappearance of aneurysm.
Fig 3B
At 8 (A) and 41 (B) months follow-up CT show a gradual decrease in size and complete disappearance of aneurysm.
고찰
정맥에서 발생하는 aneurysm은 매우 드문 혈관 질환으로 원인을 알 수 없는 경우 원발성으로 분류하며, 외상이나 원위부 동정맥루 등의 원인이 있는 경우 속발 성으로 분류하게 된다. Thompson 등의 연구에서 원위부 동정맥류로 인한 하지 정맥 aneurysm의 가장 흔한 위치는 외장골 정맥으로 알려져 있다. 동정맥루로 인하여 정맥으로 유입된 동맥혈이 정맥을 확장시키고 주변 정맥을 압박하여 폐쇄시키게 된다. 시간이 지남에 따라, 증가된 혈류와 압력으로 인해 정맥벽이 약해지고 aneurysm을 형성하게 된다. 하지에 생긴 정맥 aneurysm은 주변에 국소적인 압박을 초래할 수 있으며, 때로는 연조직 종양이나 탈장으로 오인하게 된다. 때로는 심부정맥혈전증이나, 하지부종, 폐혈전색전증을 일으킬 수 있다. Gillespie 등은 정맥 aneurysm 환 자의 10%에서 심부정맥혈전증을 가지며, 다른 10%에서 폐색전증을 가진다고 보고하였다. 정맥 aneurysm의 치료는 전통적으로 결찰 (ligation), 접선 절제술 (tangential excision), 정맥 패치, 또는 완전 절제 및 혈관이식술과 같은 수술적 접근법을 필요로 하였다. 그러나 본 증례와 같이 증상을 가진 거대 정맥 aneurysm에서 스텐트-크라프트 설치술을 통하여 aneurysm으로 가는 혈류를 차단할 수 있었으며, 추적관찰시에 aneurysm의 크기가 현저히 감소하여 외과적 치료와 같은 효과를 얻을 수 있음을 확인하였다.
참고문헌
1. Thompson NW, Lindenauer SM. Central venous aneurysms and arteriovenous fistulas. Ann Surg 1969;170:852-856
2. Gillespie DL, Villavicencio JL, Gallagher C, et al. Presentation and management of venous aneurysms. J Vasc Surg 1997;26: 845-852 78
3. Kuhlencordt PJ, Linsenmeyer U, Rademacher A, et al. Large external iliac vein aneurysm in a patient with a post-traumatic femoral arteriovenous fistula. J Vasc Surg 2008;47:205-208
Citations
Citations to this article as recorded by
