중심단어
Portal venous stent placement, transjugular intrahepatic portosystemic shunt
한글 초록
췌장암의 종양혈전으로 인한 간문맥 폐색이 있는 환자에서 카테터 배액으로 조절되지 않는 복수가 있었다. 경정맥 간내 문맥 정맥 단락술(TIPS) 경로를 이용한 간 문맥 스텐트 삽입술을 시행하였다. 이후 배액되는 복수의 양 줄어들어 카테터를 제거하였다. 문맥협착에 의한 문맥압 항진증 치료에 간문맥 스텐트 삽입술은 안전하고 효과적인 치료방법이고, 경피경간 접근이 난치성 복수 등에 의한 원인으로 어려울 때는 TIPS 경로를 이용하면 안전하게 시술할 수 있다.
영문 초록
A patient with hepatic portal vein obstruction due to pancreatic cancer thrombosis had ascites not controlled by catheter drainage. Hepatic portal vein stent insertion was done using TIPS pathway. The amount of ascites was reduced, therefore catheter was removed. Hepatic portal vein stent insertion is a safe and effective treatment in patients who has portal hypertension due to portal vein stenosis. In addition, in patient with refactory ascites, stent placement via TIPS pathway can be a safe alternative.
Introduction
문맥협착에 의한 문맥압 항진증 치료에 간문맥 스텐트 삽입술은 안전하고 효과적인 치료방법이고, 경피경 가 접근이 난치성 복수 등에 의한 원인으로 어려울 때는 TIPS 경로를 이용하면 안전하게 시술할 수 있다.
Case report
증례
79세/ 남자
임상소견
11개월 전 췌장암으로 유문부 보존 췌십이지장 절제 (Pylorus-preserving pancreaticoduodenectomy) 받은 환자로 특별한 증상 없이 지내다가 9개월전 추적 관찰 CT에서 재발암이 발견되었고 방사선치료와 항암 치료를 받았음. 2개월전 다량의 복수로 카테터 배액 시행하였으나 하루 1,150 cc 이상 배액이 지속되어 시행한 CT에서 재발암의 종양 혈전으로 인한 간문맥 폐색이 있었음.
진단명
Refractory ascites due to portal vein thrombosis in recurrent pancreatic cancer
영상소견
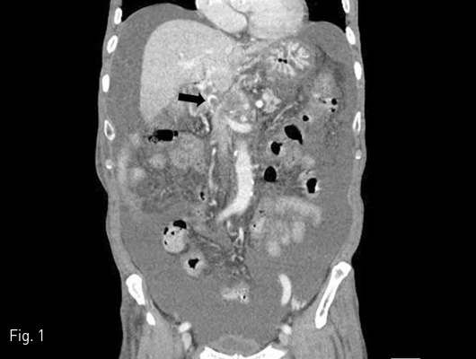
CT에서 재발암에 의한 종양혈전으로 간문맥 폐색이 있고 돼지꼬리형 카테터를 복강내 삽입하였음에도 조절되지 않는 다량의 복수가 있음(Fig. 1).
시술방법 및 재료
초음파 유도하 우측 경정맥을 천자하여 11 Fr sheath(Terumo, Tokyo, Japan)를 삽입하였고, 5 Fr angiographic catheter(Cook, Bloomington, Indiana)을 이용하여 간정맥 조영술 시행하였다. Transjugular intrahepatic portal access system (Cook)을 이용하여 우측 간정맥에서 우측 간문맥을 천자하여 간 문맥 조영술을 시행하였다. 간문맥 조영술에서 간문맥-장간막정맥 합류부에 심한 협착이 있었다 (Fig. 2). 이후 스텐트 진입을 위해 5 mm x 60 mm 풍선카테터 (Armada; Abbott Vascular, Santa Clara, California)를 이용하여 협착된 간문맥-장간막정맥 합류부와 우측 간정맥과 우측 간문맥 사이 간실질 통로를 혈관성형술을 시행한 후 10 mm x 68 mm self expandable bare metal stent (Wallstent; Boston Scientific, Natick, Massachusetts)를 주요 간문맥에서 상장간막정맥까지 설치하였다. 이후 8 mm x 40 mm 고기압 풍선카테터 (Conquest; Bard, Covington, Georgia)를 이용하여 다시 혈관성형술을 시행하였다 (Fig. 3). 이후 시행한 간문맥 조영술에서 간향성의 혈류가 회복되었다(Fig. 4).
추적관찰
시술 후 2주동안 경과관찰 결과 배액되는 복수의 양 (150cc/day)이 줄어들고 추적관찰 초음파에서도 복수 보이지 않아 돼지꼬리형 카테터를 제거함.
Fig 1
A contrast-enhanced CT scan shows recurrent pancreatic cancer which invaded the main portal vein (arrow), causing complete obliteration.
Fig 2
The portography via TIPS tract shows a filling defect (arrow) at the portomesenteric confluence, representing tumor thrombus.
Fig 3
A 10 mm x 68 mm, bare metal stent was deployed along the main portal vein to the superior mesenteric vein. Poststent dilatation was performed with an 8 mm x 40 mm balloon catheter.
Fig 4
Follow-up portogram shows favorable patency from the superior mesenteric vein to main portal vein.
고찰
간외 문맥압 항진증은 주로 간문부 종양, 문맥 재건술, 방사선 치료, 그리고 재발성 종양에 의한 문맥 협착이나 폐색이 원인이다. 문맥압 항진증의 증상으로는 위 장 출혈, 불응성 복수 및 혈소판 감소증이 있다. 이전에는 간외 간문맥 협착에 의한 문맥압 항진증을 공장 절제술이나 단락술을 이용하여 치료하였으나 최근에는 풍선카테터나 스텐트를 이용한 인터벤션 치료를 점점 더 많이 하고 있다. 인터벤션 치료를 위한 접근방법으로는 경피경간 문맥 (percutaneous transhepatic portal vein), 경회결장 문맥 (transileocolic portal vein) 그리고 경정맥 간내 문맥 정맥 단락 (transjugular intrahepatic portosystemic shunt, TIPS) 등을 이용한 방법이 있다. 1,2 본 증례에서는 시술시 치료에 불응하는 다량의 복수가 있어 출혈의 위험 때문에 경피경간 문맥 접근술을 시행할 수가 없었으므로 TIPS 경로를 이용하여 간문맥에 접근하였다. 일반적으로 경피경간 접근법은 응고장애, 복수, 간자색 반병 그리고 병적 비만에서 금기증이므로 이러한 환자에서는 TIPS 경로를 이용한 접근법이 대체방법으로 이용할 수 있다. 3 결론적으로 문맥협착에 의한 문맥압 항진증 치료에 간문맥 스텐트 삽입술은 안전하고 효과적인 치료방법이고, 경피경간 접근이 난치성 복수 등에 의한 원인으로 어려울 때는 TIPS 경로를 이용하면 안전하게 시술할 수 있다.
참고문헌
1. Sakurai K, Amano R, Yamamoto A, et al. Portal vein stenting to treat portal vein stenosis in a patient with malignant tumor and gastrointestinal bleeding. Int Surg 2014;99:91-95
2. Yamakado K, Nakatsuka A, Tanaka N, et al. Portal venous stent placement in patients with pancreatic and 82 biliary neoplasms invading portal veins and causing portal hypertension: initial experience. Radiology 2001;220:150-156
3. 대한인터벤션영상의학회. 인터벤션 영상의학. 2판. 일조각. 2014:577-578
Citations
Citations to this article as recorded by
