중심단어
Radiofrequency ablation, pulmonary metastasis
한글 초록
61세 남자 환자의 0.7cm 폐전이암에 대해 고주파 소작술을 시행한 증례로, cone beam CT guide하에 2개의 Octopus eleectrode(STARmed, Kyeonggi-do, Korea)를 사용하였으며, Lidocaine 국소 마취와 Midazolam으로 통증 조절 하였으며, 시술 직후 주요 합병증은 없었고, 2개월 뒤 시행한 흉부 전산화 단층촬영에서 local tumor progreesion은 관찰되지 않았다.
영문 초록
61 year old man with 0.7cm subcentimeter pulmonary metastasis treated with cone beam CT guided radiogrequency ablation. Two Octopus eleectrode(STARmed, Kyeonggi-do, Korea) covered the lesion. Lidocaine and Midazolam were used for pain control. There was no immediate post procedure complication on CBCT. After 2months, follow up chest CT scan did not show the local tumor progression.
Introduction
원발성 폐암 혹은 폐전이암에 대한 고주파 소작술은 근치적 혹은 고식적 치료로서 안전하며, 효과적인 치료가 될 수 있음이 여러 연구에서 밝혀지고 있다. 특히 여러 기저질환들로 인해 수술이 불가한 환자군에서 실제적 유용성이 크다고 할 수 있겠다. 2015년 7월부터 보건복지부에서 신의료 기술로 채택됨에 따라 국내에서 적용이 가능해졌기에 이에 대한 경험을 소개하고자 한다.
Case report
증례
61세 / 남자
임상소견
HBV 보균자로 다수의 간암에 대해 수차례 간동맥 화학 색전술 및 고주파 소작술 받고 추적 관찰도중 양측 폐에 발생한 2개의 결절에 대해 절제술 후 간암의 폐전이암으로 병리진단을 받았던 환자로 이후 새롭게 발견된 우측폐 상엽에 0.7cm가량의 전이암에 대해 환자 수술 거부하여 고주파 소작술 의뢰되었다.
진단명
Pulmonary metastasis of hepatocellular carcinoma in right upper lobe
영상소견
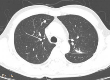
폐전이암 절제술 후 추적검사상 흉부 전산화 단층촬영에서 우측 폐 상엽에 0.7cm가량의 조영 증강되는 폐결절이 새롭게 관찰 되었다.(Fig. 1)
시술방법 및 재료
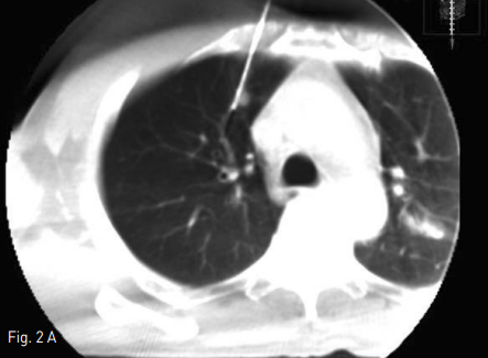
Supine position에서 시행한 cone beam CT(CBCT)상 right lung의 upper lobe에 위치하는 약 7mm 지름의 결절은 관찰가능하였다. 통증조절을 위해 Lidocaine국소 마취와 Midazolam 2mg i.v. 하였다. CBCT guide 하에 2개의 2.5cm Octopus electrode(STARmed, Kyeonggi-do, Korea)를 병변에 삽입하였으며, 이중 upper electrode가 병변을 관통한 상태였고, lower electrode는 제거하였다(Fig.2). 12분간 RF ablation을 시행하였으며, CBCT상 병변 주변으로 ground glass opacty(GGO)가 형성된 것을 확인하였다 (Fig. 3). 마지막 CBCT상 RF ablation 으로 인한 volume loss로 인하여 mediastinal pleura 가 병변쪽으로 deviation된 것이 관찰되었고, 출혈, 기흉 등의 합병증은 없었다. 시술 중 통증은 경미하였다.
추적관찰
2개월 뒤 시행한 흉부 전산화 단층촬영에서 시술부위의 GGO는 감소하였으며, 주변으로 local tumor progression을 시사하는 조영증강되는 결절은 관찰되지 않았다.
Fig 1A
Axial & coronal CT scan show a 0.7x0.5 cm sized enhancing solitary pulmonary nodule in right upper lobe.
Fig 1B
Axial & coronal CT scan show a 0.7x0.5 cm sized enhancing solitary pulmonary nodule in right upper lobe.
Fig 2A
Axial & sagittal cone beam CT (CBCT) scan show well targeted an electrode to the pulmonary nodule in RUL.
Fig 2B
Axial & sagittal cone beam CT (CBCT) scan show well targeted an electrode to the pulmonary nodule in RUL.
Fig 3A
Axial & sagittal CBCT scan show post procedure ground glass opacity with sufficient safety margin. Mild retraction of right anterior mediastinum to the lesion may be shown. There was no evidence of pneumothorax or hemothorax.
Fig 3B
Axial & sagittal CBCT scan show post procedure ground glass opacity with sufficient safety margin. Mild retraction of right anterior mediastinum to the lesion may be shown. There was no evidence of pneumothorax or hemothorax.
고찰
원발성 폐암 및 폐전이암에 대한 수술적 치료는 생존률을 증가시킬 수 있는 근치적 혹은 고식적 치료로 인정받고 있다. 그러나 많은 환자들이 심폐질환, 고령, 혹은 다른 여러 기저질환들로 인해 수술을 받지 못하며, 영상유도 하 소작술은 이런 환자군에서 좋은 대안이 될 수 있다. 아직까지 대규모 무작위 대조시험의 결과가 부재하나, 최근의 많은 연구들이 폐, 간, 신장, 유방, 뼈, 그리고 부신등의 고형암에 대하여 영상유도 하 소작술이 안전하며, 효과적인 치료법이 될 수 있음을 보여주고 있다. 영상유도 하 소작술에서 여러가지 방법이 있으나, 그 중, 고주파 소작술이 가장 많이 이용되는 방법이다. 본 증례에서는 lidocaine국소마취와 소량의 midazolam및 fentanyl 정맥투여로 시술 중 통증을 조절 할 수 있었고, CBCT 유도하에 시술 하였다. 폐의 고주파 소작술은 약 8-12%가량에서 주요 합병증이 병발할 수 있으며, 그 중, 기흉이 가장 많이 보고되고 있다. 그러나 흉관삽입을 요하는 정도의 기흉은 10%미만으로 보고 되고 있다. 그 외, 혈흉, 폐렴, 객혈, 폐렴등이 발생 할 수 있으므로, 시술 중 및 후에 주의를 기울일 필요가 있다.
참고문헌
1. Mauro MA, Mruphy KPJ, Thomson KR, Venbrux AC, Morgan RA. IMAGE-GUIDED INTERVENTIONS, 2nd ed. Philadelphia:Saunders. 2012:1145-1151
2. Hiraki T, Yamakado T,Ikeda O, et al. Percutaneous Radiofrequency Ablation for Pulmonary Metastases from Hepatocellular Carcinoma: Results of a Multicenter Study in Japan. J Vasc Interv Radiol 2011;22:741-748
3. Simon CJ, Dupuy DE, DiPetrillo TA, et al. Pulmonary Radiofrequency Ablation: Long-term Safety and Efficacy in 153 Patients. Radiology 2007;243:268-275
4. Chua TC, Sarkar A, Saxena A, Glenn D, Zhao J, Morris DL. Long-term outcome of image-guided percutaneous radiofrequency ablation of lung metastases: an open-labeled prospective trial of 148 patients. Ann Oncol 2010;21:2017-2022
Citations
Citations to this article as recorded by
