중심단어
Pseudoaneurysm, pancreas transplantation, stent-graft
한글 초록
췌장 이식 후 발생하는 합병증 중 가장 심각한 결과를 초래하고 graft loss의 위험성을 지닌 것은 혈관 합병증이며, 특히 동맥 문합부를 침범하는 경우이다. 혈관 합병증 중 가성동맥류는 드물지만 심한 복강 내 출혈 등의 심각한 임상 경과를 보일 수 있다.
1년 전 췌장 이식을 받고, 6개월 전부터 거부반응으로 치료받고 있던 25세 여자 환자가 혈변 및 혈압 저하를 호소하였으며 CT상 우측 외장골동맥의 가성동맥류 및 췌장이식 편의 공기 음영을 동반한 괴사 소견을 보였다. 혈관조영술에서도 CT와 마찬가지의 결과를 보였으며, 이에 대해 stent graft를 설치하였다. 환자는 추적관찰상 stent graft는 잘 유지되어 있으며 새롭게 발생한 가성동맥류 등은 없었다.
영문 초록
The most serious and potentially graftthreatening complication after pancreatic transplantation is vascular complication, especially in the case of an arterial anastomosis. Among these complications, pseudoaneurysms are rare, but can cause severe clinical course such as intraabdominal hemorrhage. A 25-year old female patient underwent pancreas transplantation one year before and has been treated for rejection for 6 months. She had complaints of hematochezia and decreased blood pressure. CT findings showed necrotic transplanted pancreas graft with adjacent pseudoaneurysm of the right external iliac artery. A stent graft was placed for the pseudoaneurysm and the patient had well maintained stent graft and no newly developed pseudoaneurysm during the follow up.
Introduction
췌장 이식 후 발생하는 혈관 합병증 중 가장 흔한 것은 동맥이나 정맥의 혈전이며, 이들은 early graft loss의 원인으로 알려져 있다. 다른 혈관 합병증 중 가성동맥류는 드물게 보고되고 있다. 본 증례는 거부반응으로 인해 이식편 괴사가 발생하며 인접한 동맥문합부에 가성동맥류가 발생하여 stent graft로 치료한 증례이다.
Case report
증례
25세/여자
임상소견
1년 전 췌장이식을 받은 25세 여자 환자로 내원 당일부터 혈변과 혈압 저하 소견을 보였다. 환자는 type 1 DM으로 췌장 이식 (pancreas transplantation alone)을 받았으며, 수술 당시 exocrine pancreas는 enteric drainage로 문합하였다. 환자는 6개월 전 이식편 조직검사상 급성 거부반응으로 진단받아 치료중이었다.
진단명
Pseudoaneurysm due to necrotic transplanted pancreas graft
영상소견
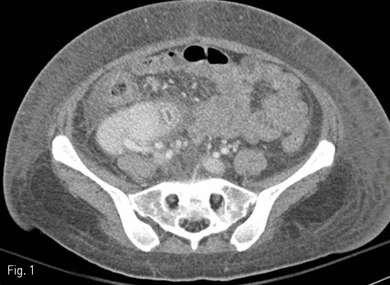
7개월 전 routine follow up으로 시행한 CT 상 우하 복부에 있는 췌장이식 편은 약간 swelling되어 있으나 조영증강은 유지되어 있다(Fig. 1)
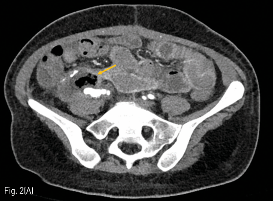
내원 당일 시행한 CT상 췌장 이식 편은 조영증강이 되지 않으며 안에 necrosis로 생각되는 air bubble이 있다 (Fig. 2A). 또한 이와 인접하여 이식편과 문합되어 있는 proximal right external iliac artery에 가성 동맥류가 있다(Fig. 2B).
시술방법 및 재료
혈관조영술 상 right proximal external iliac artery에 saccular pseudoaneurysmal dilatation 이 보였다 (Fig. 3A). 이에 대해 8 mm x 3 cm stent graft (SEAL GRAFT EXTENSION, S&G Biotech, Seongnam, Korea)를 삽입하였으며 (Fig. 3B), 8mm x 20mm and 10mm x 20mm Mustang balloon (Boston Scientific, Marlborough, MA, USA)로 post stenting ballooning을 시행하였다. Completion iliac angiography 상 작은 residual pseudoaneurysmal lesion이 있으나 active bleeding 소견은 없었다(Fig. 3C).
추적관찰
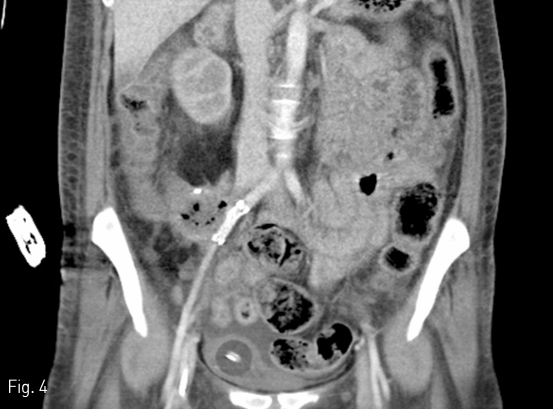
이후 혈변 등의 증상은 호전되었고, 2개월 후 추적관찰한 CT 상 stent graft는 patent 하게 유지되고 있으며 이전의 outpouching 하는 가성동맥류는 더 이상 보이지 않는다. 이식편의 air bubble 소견은 지속적으로 남아 있으나 오랜 기간 추적관찰 영상에서 변화 없이 유지되며, 임상적으로 감염을 시사하는 소견이 없는 상태이다. (Fig 4)
Fig 1
On routine follow up CT performed 6 months before the onset of symptoms showed enhancement of transplanted pancreas graft.
Fig 2A
(A, B) On contrast-enhanced CT scan after the development of symptom, there was necrosis (arrow) of transplanted pancreas graft with pseudoaneurysm formation in adjacent proximal right external iliac artery.
Fig 2B
(A, B) On contrast-enhanced CT scan after the development of symptom, there was necrosis (arrow) of transplanted pancreas graft with pseudoaneurysm formation in adjacent proximal right external iliac artery.
Fig 3A
(A, B, C) Stent graft was placed for pseudoaneurysm of right external iliac artery. Completion angiography showed a small residual pseudoaneurysmal lesion without evidence of active bleeding.
Fig 3B
(A, B, C) Stent graft was placed for pseudoaneurysm of right external iliac artery. Completion angiography showed a small residual pseudoaneurysmal lesion without evidence of active bleeding.
Fig 3C
(A, B, C) Stent graft was placed for pseudoaneurysm of right external iliac artery. Completion angiography showed a small residual pseudoaneurysmal lesion without evidence of active bleeding.
Fig 4
On follow up CT followed up 2 months later, the stent graft remained patent and there is no recurrence of pseudoaneurysm.
고찰
위장관출혈은 고형장기 이식을 받은 환자들에서 발생할 수 있으며, 기존의 한 연구에 따르면 0.9% 빈도의 하부 위장관 출혈이 보고된 바 있다. 췌장 이식을 받은 환자에서는 위궤양, 미란성 식도염 또는 위염, Mallory-Weiss tear 등의 원인으로 인해 위장관 출혈이 발생했다는 연구가 있었다. 췌장 이식을 받은 환자에서 가성동맥류 형성은 드물며(0.3%), 이러한 환자들의 약 70%에서 pancreas allograft의 failure가 있었다. 가성동맥류의 원인으로는 mycotic aneurysm 또는 generalized septic condition 등의 감염, 췌장 생검 등의 iatrogenic cause, trauma, technical failure 등이 있다. 신장 이식 후 graft failure가 있는 환자들에서 가성동맥류가 생긴 증례들이 보고되어 있으며, graft failure 후 평균 수 주 이내에 발견되는 경우가 많았다. 가성동맥류와 거부반응과의 관련성에 대한 연구는 많지 않지만, 한 연구에 따르면 신장 이식을 받은 후 거부반응과 가성동맥류가 있는 경우, 공여자 신동맥 level에서 CD4 T-cell mediated 거부반응을 보였다. 그 외에도 거부반응으로 인한 이식편의 괴사 역시 문합부 혈관 주위의 감염성 또는 염증성 변화를 초래할 수 있으며, 이로 인해 인접한 혈관이 손상을 받아 가성동맥류가 발생할 수 있겠다.
Exocrine pancreas 문합에서 공여자의 십이지장과 수혜자의 소장을 문합하는 enteric drainage를 한 경우, 대량 위장관 출혈으로 발현한 환자에서 내시경적 진단이 어려운 경우가 많으며, 그 원인으로 가성동맥류 형성을 의심해 보아야 한다. 이러한 경우 CT 가 가성동맥류의 여부를 파악하는 데 도움이 될 수 있겠으며, 진단과 치료를 함께할 수 있는 혈관조영술이 treatment of choice로 여겨지고 있다. 과거 한 연구에 따르면, 췌장이식을 받은 환자에서 설명할 수 없는 저혈압, 빈맥, palpable mass, graft 주변의 bruit, hematoma, 위장관 출혈 등이 있으면 가성동맥류의 파열을 의심해 보아야 한다고 하였다. 따라서 췌장 이식을 받은 환자, 특히 거부반응이 있는 환자에서 GI 또는 복강 내 출혈이 있을 경우 인접한 혈관 문합부의 가성동맥류가 원인이 될 수 있으며, 이러한 경우 endovascular management로 성공적으로 치료할 수 있다.
참고문헌
1. Montenovo M, Vaidya S, Bakthavatsalam R, Halldorson J. Pseudoaneurysm After Combined Kidney/Pancreas Transplantation Presenting with Sentinel Bleeding: A Case Report and Review. Ann Transplant 2014;19: 317-319
2. Green BT, Tuttle-Newhall J, Suhocki P, Smith SR, O'Connor JB. Massive gastrointestinal hemorrhage due to rupture of a donor pancreatic artery pseudoaneurysm in a pancreas transplant patient. Clin Transplant 2004;18:108-111
3. Yadav K, Young S, Finger EB, et al. Significant arterial complications after pancreas transplantation-A single center experience and review of literature. Clin Transplant 2017;31
4. Lubezky N, Goykhman Y, Nakache R, et al. Early and late presentations of graft arterial pseudoaneurysm following pancreatic transplantation. World J Surg. 2013;37:1430-1437.
5. Veean S, Patel N, Lee D, Vo H, Rotem E. A long standing external iliac artery pseudoaneurysm in a patient with a history of a failed kidney transplant. Radiol Case Rep 2016;11:354-356
6. Bracale UM, Carbone, F, del Guercio L, et al. External iliac artery pseudoaneurysm complicating renal transplantation. Interact Cardiovasc Thorac Surg 2009;8:654-660
Citations
Citations to this article as recorded by
